• 文献检索
  • 文档翻译
  • 深度研究
  • 学术资讯
  • Suppr Zotero 插件Zotero 插件
  • 邀请有礼
  • 套餐&价格
  • 历史记录
应用&插件
Suppr Zotero 插件Zotero 插件浏览器插件Mac 客户端Windows 客户端微信小程序
定价
高级版会员购买积分包购买API积分包
服务
文献检索文档翻译深度研究API 文档MCP 服务
关于我们
关于 Suppr公司介绍联系我们用户协议隐私条款
关注我们

Suppr 超能文献

核心技术专利:CN118964589B侵权必究
粤ICP备2023148730 号-1Suppr @ 2026

文献检索

告别复杂PubMed语法,用中文像聊天一样搜索,搜遍4000万医学文献。AI智能推荐,让科研检索更轻松。

立即免费搜索

文件翻译

保留排版,准确专业,支持PDF/Word/PPT等文件格式,支持 12+语言互译。

免费翻译文档

深度研究

AI帮你快速写综述,25分钟生成高质量综述,智能提取关键信息,辅助科研写作。

立即免费体验

衰老的Long Evans大鼠的皮肤肿瘤

Skin tumors in aging Long Evans rats.

作者信息

Esfandiari Adeleh, Loya Theresa, Lee Jeffrey L

机构信息

Department of Otolaryngology, Charles R. Drew University of Medicine and Science, King/Drew Medical Center, Los Angeles, CA 90059, USA.

出版信息

J Natl Med Assoc. 2002 Jun;94(6):506-10.

PMID:12078932
原文链接:https://pmc.ncbi.nlm.nih.gov/articles/PMC2594380/
Abstract

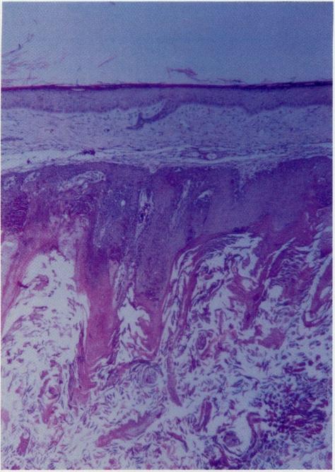
We report 25 cases of skin neoplasm observed among 30 Long Evans rats serving as controls in a psychosocial behavioral study conducted in the Vivarium at Charles R. Drew University, Los Angeles, CA. The animals were 10 weeks old at the beginning of the study. All the skin tumors developed at 18 to 26 months of age and slowly enlarged over a period of 9 months. Multiple nodules occurred in 8 males and 6 females. None of the tumors regressed. The tumors were located around the hind leg and dorso-medial area and measured 1 to 2 cm. Physical examination revealed firm well demarcated dermal masses. Most of the tumor nodules were intradermal, and some had a central ulcerated or keratin-filled core. Microscopic examination performed on some of the tumors showed findings of classic Keratoacanthoma, whereas others showed histologic features suggestive of squamous cell carcinoma. These findings indicate a high rate (83%) of spontaneous skin neoplasms among aging Long Evans rats. To our knowledge, such a high rate of skin neoplasms in aged rodents has not been described in the literature. Furthermore, further studies should be undertaken to confirm these findings and to assess whether these rodents might serve as a model for studying the alterations in the immune system with aging.

摘要

在加利福尼亚州洛杉矶市查尔斯·R·德鲁大学动物饲养所进行的一项社会行为学研究中,我们在30只作为对照的长 Evans 大鼠中观察到25例皮肤肿瘤。研究开始时这些动物为10周龄。所有皮肤肿瘤均在18至26个月龄时出现,并在9个月的时间里缓慢增大。8只雄性和6只雌性出现了多个结节。没有肿瘤消退。肿瘤位于后腿周围和背内侧区域,大小为1至2厘米。体格检查发现边界清晰的坚实皮肤肿块。大多数肿瘤结节位于真皮内,有些有中央溃疡或充满角蛋白的核心。对部分肿瘤进行的显微镜检查显示为典型的角化棘皮瘤表现,而其他肿瘤则显示出提示鳞状细胞癌的组织学特征。这些发现表明老年长 Evans 大鼠的自发性皮肤肿瘤发生率很高(83%)。据我们所知,文献中尚未描述老年啮齿动物如此高的皮肤肿瘤发生率。此外,应进行进一步研究以证实这些发现,并评估这些啮齿动物是否可作为研究衰老过程中免疫系统变化的模型。

https://cdn.ncbi.nlm.nih.gov/pmc/blobs/4b39/2594380/b3edfc5f4eea/jnma00323-0121-a.jpg
https://cdn.ncbi.nlm.nih.gov/pmc/blobs/4b39/2594380/28c948700f36/jnma00323-0119-a.jpg
https://cdn.ncbi.nlm.nih.gov/pmc/blobs/4b39/2594380/dfba2ea144aa/jnma00323-0120-a.jpg
https://cdn.ncbi.nlm.nih.gov/pmc/blobs/4b39/2594380/b3edfc5f4eea/jnma00323-0121-a.jpg
https://cdn.ncbi.nlm.nih.gov/pmc/blobs/4b39/2594380/28c948700f36/jnma00323-0119-a.jpg
https://cdn.ncbi.nlm.nih.gov/pmc/blobs/4b39/2594380/dfba2ea144aa/jnma00323-0120-a.jpg
https://cdn.ncbi.nlm.nih.gov/pmc/blobs/4b39/2594380/b3edfc5f4eea/jnma00323-0121-a.jpg

相似文献

1
Skin tumors in aging Long Evans rats.衰老的Long Evans大鼠的皮肤肿瘤
J Natl Med Assoc. 2002 Jun;94(6):506-10.
2
Spontaneous skin neoplasms in aged Sprague-Dawley rats.老年斯普拉格-道利大鼠的自发性皮肤肿瘤
Toxicol Pathol. 1992;20(3 Pt 1):327-40. doi: 10.1177/019262339202000303.
3
Keratoacanthoma: a clinically distinct variant of well differentiated squamous cell carcinoma.角化棘皮瘤:一种临床特征明显的高分化鳞状细胞癌变体。
Adv Anat Pathol. 1998 Sep;5(5):269-80.
4
Toxicology and carcinogenesis studies of 1-bromopropane (CAS No. 106-94-5) in F344/N rats and B6C3F1 mice (inhalation studies).1-溴丙烷(CAS编号:106-94-5)对F344/N大鼠和B6C3F1小鼠的毒理学和致癌性研究(吸入研究)
Natl Toxicol Program Tech Rep Ser. 2011 Aug(564):1-190.
5
Toxicology and carcinogenesis studies of pyrogallol (CAS No. 87-66-1) in F344/N rats and B6C3F1/N mice (dermal studies).连苯三酚(化学物质登记号87-66-1)在F344/N大鼠和B6C3F1/N小鼠中的毒理学及致癌性研究(皮肤研究)
Natl Toxicol Program Tech Rep Ser. 2013 Feb(574):1-167.
6
Keratoacanthoma: facts and controversies.角化棘皮瘤:事实与争议。
Clin Dermatol. 2010 May-Jun;28(3):254-61. doi: 10.1016/j.clindermatol.2009.06.010.
7
Giant cutaneous horn on the lower lip.下唇巨大皮肤角。
Dermatol Online J. 2011 Dec 15;17(12):10.
8
Verrucous cell carcinoma arising from an underlying giant keratoacanthoma.
Int J Low Extrem Wounds. 2012 Jun;11(2):85-7. doi: 10.1177/1534734612446641. Epub 2012 May 4.
9
Keratoacanthoma-type squamous cell carcinoma developing in a skin graft donor site after tumor extirpation at a distant site.在远处肿瘤切除术后皮肤移植供区发生的角化棘皮瘤型鳞状细胞癌。
Ear Nose Throat J. 2010 Apr;89(4):E11-3.
10
Expression of cell cycle and apoptosis regulatory proteins in keratoacanthoma and squamous cell carcinoma.细胞周期和凋亡调节蛋白在角化棘皮瘤和鳞状细胞癌中的表达
Pathol Res Pract. 2006;202(8):599-607. doi: 10.1016/j.prp.2006.04.004. Epub 2006 Jun 15.

引用本文的文献

1
Research-Relevant Conditions and Pathology of Laboratory Mice, Rats, Gerbils, Guinea Pigs, Hamsters, Naked Mole Rats, and Rabbits.实验小鼠、大鼠、沙鼠、豚鼠、仓鼠、裸鼹鼠和兔子的研究相关条件和病理学。
ILAR J. 2021 Dec 31;62(1-2):77-132. doi: 10.1093/ilar/ilab022.
2
Carcinoma-like vascular density in atypic keratoacanthoma suggests malignant progression.非典型性角化棘皮瘤中类似癌的血管密度提示恶性进展。
Br J Cancer. 2002 Nov 18;87(11):1301-7. doi: 10.1038/sj.bjc.6600622.

本文引用的文献

1
Spontaneous skin neoplasms in Long-Evans rats.长-伊文斯大鼠的自发性皮肤肿瘤
Toxicol Pathol. 1997 Sep-Oct;25(5):506-10. doi: 10.1177/019262339702500513.
2
The aging immune system: primer and prospectus.衰老的免疫系统:入门与展望
Science. 1996 Jul 5;273(5271):70-4. doi: 10.1126/science.273.5271.70.
3
Posttransplant skin cancer: a possible role for p53 gene mutation but not for oncogenic human papillomaviruses.移植后皮肤癌:p53基因突变可能起作用,但致癌性人乳头瘤病毒不起作用。
J Am Acad Dermatol. 1994 May;30(5 Pt 1):701-6. doi: 10.1016/s0190-9622(08)81498-3.
4
Cell mediated immunity changes in ageing, relative importance of cell subpopulation switches and of nutritional factors.衰老过程中细胞介导的免疫变化、细胞亚群转换的相对重要性及营养因素
Immunol Lett. 1994 Jun;40(3):235-42. doi: 10.1016/0165-2478(94)00062-x.
5
The histopathologic differentiation of keratoacanthoma and squamous cell carcinoma of the skin.
J Cutan Pathol. 1980 Oct;7(5):318-25. doi: 10.1111/j.1600-0560.1980.tb01202.x.
6
Immunologic studies of aging. V. Impaired proliferation of PHA responsive human lymphocytes in culture.衰老的免疫学研究。V. 体外培养中对PHA有反应的人淋巴细胞增殖受损。
J Immunol. 1980 Sep;125(3):1007-10.
7
Age-associated impairment of murine natural killer activity.与年龄相关的小鼠自然杀伤活性损伤。
Proc Natl Acad Sci U S A. 1983 Oct;80(20):6371-5. doi: 10.1073/pnas.80.20.6371.
8
Influence of dietary restriction and aging on natural killer cell activity in mice.饮食限制和衰老对小鼠自然杀伤细胞活性的影响。
J Immunol. 1983 Feb;130(2):993-6.
9
Phytomitogen responses of peripheral blood lymphocytes in young and older subjects.年轻和年长受试者外周血淋巴细胞的植物促细胞分裂剂反应
Clin Exp Immunol. 1974 Aug;17(4):657-64.
10
Effects on immune responses by chronic stress are modulated by aging.长期应激对免疫反应的影响会因衰老而受到调节。
Brain Behav Immun. 1987 Sep;1(3):204-15. doi: 10.1016/0889-1591(87)90023-7.