Suppr超能文献

用于检测肝细胞癌的超顺磁性氧化铁增强磁共振成像的最佳脉冲序列:使用七种脉冲序列的比较研究

Optimal pulse sequence for ferumoxides-enhanced MR imaging used in the detection of hepatocellular carcinoma: a comparative study using seven pulse sequences.

作者信息

Kim Seung Hoon, Choi Dongil, Lim Jae Hoon, Lee Won Jae, Jang Hyun Jung, Lim Hyo Keun, Lee Soon Jin, Cho Jae Min, Kim Seung Kwon, Kim Gab Chul

机构信息

Department of Radiology, Samsung Medical Center, Sungkyunkwan University School of Medicine, Seoul, Korea.

出版信息

Korean J Radiol. 2002 Apr-Jun;3(2):87-97. doi: 10.3348/kjr.2002.3.2.87.

Abstract

OBJECTIVE

To identify the optimal pulse sequence for ferumoxides-enhanced magnetic resonance (MR) imaging in the detection of hepatocelluar carcinomas (HCCs).

MATERIALS AND METHODS

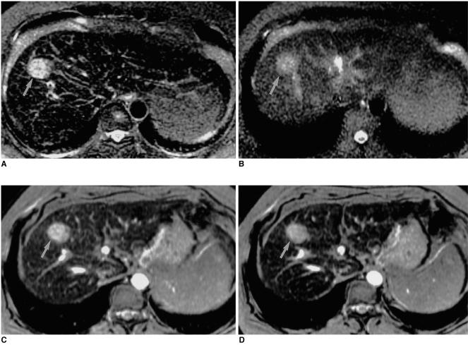
Sixteen patients with 25 HCCs underwent MR imaging following intravenous infusion of ferumoxides. All MR studies were performed on a 1.5-T MR system, using a phased-array coil. Ferumoxides (Feridex IV) at a dose of 15 micromol/Kg was slowly infused intravenously, and axial images of seven sequences were obtained 30 minutes after the end of infusion. The MR protocol included fast spin-echo (FSE) with two echo times (TR3333-8571/TE18 and 90-117), singleshot FSE (SSFSE) with two echo times (TRinfinity/TE39 and 98), T2*-weighted gradient- recalled acquisition in the steady state (GRASS) (TR216/TE20), T2*-weighted fast multiplanar GRASS (FMPGR) (TR130/TE8.4-9.5), and T2*-weighted fast multiplanar spoiled GRASS (FMPSPGR) (TR130/TE8.4-9.5). Contrast-to-noise ratios (CNRs) of HCCs determined during the imaging sequences formed the basis of quantitative analysis, and images were qualitatively assessed in terms of lesion conspicuity and image artifacts. The diagnostic accuracy of all sequences was assessed using receiver operating characteristic (ROC) analysis.

RESULTS

Quantitative analysis revealed that the CNRs of T2*-weighted FMPGR and T2*-weighted FMPSPGR were significantly higher than those of the other sequences, while qualitative analysis showed that image artifacts were prominent at T2*-weighted GRASS imaging. Lesion conspicuity was statistically significantly less clear at SSFSE imaging. In term of lesion detection, T2*-weighted FMPGR, T2*- weighted FMPSPGR, and proton density FSE imaging were statistically superior to the others.

CONCLUSION

T2*-weighted FMPGR, T2*- weighted FMPSPGR, and proton density FSE appear to be the optimal pulse sequences for ferumoxidesenhanced MR imaging in the detection of HCCs.

摘要

目的

确定超顺磁性氧化铁增强磁共振(MR)成像检测肝细胞癌(HCC)的最佳脉冲序列。

材料与方法

16例患有25个HCC的患者在静脉输注超顺磁性氧化铁后接受MR成像。所有MR检查均在1.5-T MR系统上使用相控阵线圈进行。以15 μmol/Kg的剂量缓慢静脉输注超顺磁性氧化铁(Feridex IV),输注结束30分钟后获取7个序列的轴位图像。MR检查方案包括具有两个回波时间(TR3333 - 8571/TE18和90 - 117)的快速自旋回波(FSE)、具有两个回波时间(TR无穷大/TE39和98)的单次激发FSE(SSFSE)、稳态下的T2加权梯度回波采集(GRASS)(TR216/TE20)、T2加权快速多平面GRASS(FMPGR)(TR130/TE8.4 - 9.5)以及T2*加权快速多平面扰相GRASS(FMPSPGR)(TR130/TE8.4 - 9.5)。成像序列中测定的HCC的对比噪声比(CNR)构成定量分析的基础,并根据病变清晰度和图像伪影对图像进行定性评估。使用受试者操作特征(ROC)分析评估所有序列的诊断准确性。

结果

定量分析显示,T2加权FMPGR和T2加权FMPSPGR的CNR显著高于其他序列,而定性分析表明T2加权GRASS成像时图像伪影明显。SSFSE成像时病变清晰度在统计学上明显较差。在病变检测方面,T2加权FMPGR、T2*加权FMPSPGR和质子密度FSE成像在统计学上优于其他成像。

结论

T2加权FMPGR、T2加权FMPSPGR和质子密度FSE似乎是超顺磁性氧化铁增强MR成像检测HCC的最佳脉冲序列。

https://cdn.ncbi.nlm.nih.gov/pmc/blobs/d062/2713841/19a10ab761ec/kjr-3-87-g001.jpg

文献AI研究员

20分钟写一篇综述,助力文献阅读效率提升50倍。

立即体验

用中文搜PubMed

大模型驱动的PubMed中文搜索引擎

马上搜索

文档翻译

学术文献翻译模型,支持多种主流文档格式。

立即体验