Ares Mikko P S, Stollenwerk Maria, Olsson Anneli, Kallin Bengt, Jovinge Stefan, Nilsson Jan
Lund University, Wallenberg-laboratory, University Hospital MAS, S-20502 Malmö, Sweden.
BMC Immunol. 2002 Oct 6;3:13. doi: 10.1186/1471-2172-3-13.
Inflammation and immune responses are considered to be very important in the pathogenesis of atherosclerosis. Lipid accumulation in macrophages of the arterial intima is a characteristic feature of atherosclerosis which can influence the inflammatory potential of macrophages. We studied the effects of lipid loading on the regulation of TNF expression in human monocyte-derived macrophages.
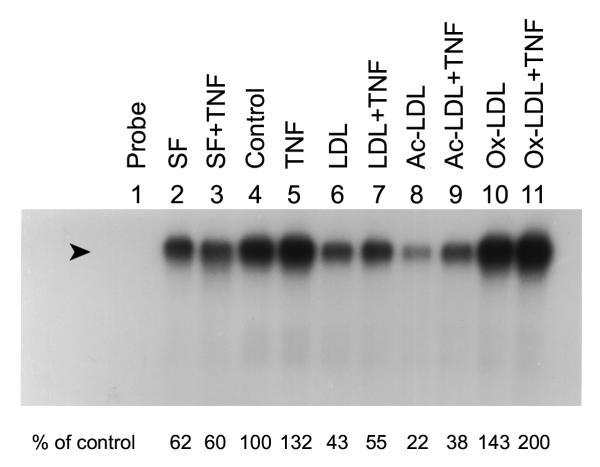
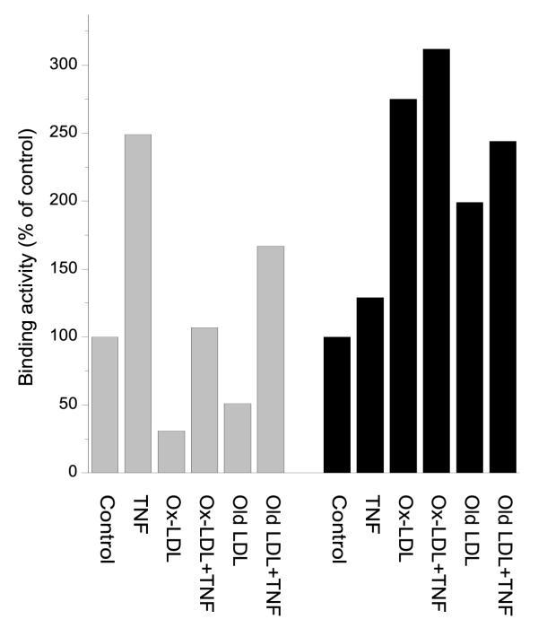
In macrophages incubated with acetylated low density lipoprotein (ac-LDL) for 2 days, mRNA expression of TNF in cells stimulated with TNF decreased by 75%. In cell cultures stimulated over night with IL-1beta, lipid loading decreased secretion of TNF into culture medium by 48%. These results suggest that lipid accumulation in macrophages makes them less responsive to inflammatory stimuli. Decreased basal activity and inducibility of transcription factor AP-1 was observed in lipid-loaded cells, suggesting a mechanism for the suppression of cytokine expression. NF-kappaB binding activity and inducibility were only marginally affected by ac-LDL. LDL and ac-LDL did not activate PPARgamma. In contrast, oxidized LDL stimulated AP-1 and PPARgamma but inhibited NF-kappaB, indicating that the effects of lipid loading with ac-LDL were not due to oxidation of lipids.
Accumulation of lipid, mainly cholesterol, results in down-regulation of TNF expression in macrophages. Since monocytes are known to be activated by cell adhesion, these results suggest that foam cells in atherosclerotic plaques may contribute less potently to an inflammatory reaction than newly arrived monocytes/macrophages.
炎症和免疫反应在动脉粥样硬化的发病机制中被认为非常重要。动脉内膜巨噬细胞中的脂质蓄积是动脉粥样硬化的一个特征性表现,它可影响巨噬细胞的炎症潜能。我们研究了脂质负荷对人单核细胞衍生巨噬细胞中肿瘤坏死因子(TNF)表达调控的影响。
在用乙酰化低密度脂蛋白(ac-LDL)孵育2天的巨噬细胞中,用TNF刺激的细胞中TNF的mRNA表达下降了75%。在过夜用白细胞介素-1β(IL-1β)刺激的细胞培养物中,脂质负荷使TNF分泌到培养基中的量减少了48%。这些结果表明巨噬细胞中的脂质蓄积使其对炎症刺激的反应性降低。在脂质负荷的细胞中观察到转录因子AP-1的基础活性和诱导性降低,提示了细胞因子表达受抑制的一种机制。NF-κB结合活性和诱导性仅受到ac-LDL的轻微影响。低密度脂蛋白(LDL)和ac-LDL未激活过氧化物酶体增殖物激活受体γ(PPARγ)。相反,氧化型LDL刺激AP-1和PPARγ,但抑制NF-κB,表明ac-LDL脂质负荷的作用并非由于脂质氧化所致。
脂质(主要是胆固醇)的蓄积导致巨噬细胞中TNF表达下调。由于已知单核细胞通过细胞黏附被激活,这些结果提示动脉粥样硬化斑块中的泡沫细胞对炎症反应的贡献可能不如新到达的单核细胞/巨噬细胞。