Suppr超能文献

P物质在猴迷走神经节细胞和细胞周分支中的免疫细胞化学定位

Immunocytochemical localisation of substance P in vagal ganglion cells and pericellular arborisations in the monkey.

作者信息

Ling E A, Yick T Y, Ng G L, Wong W C

机构信息

Department of Anatomy, Faculty of Medicine, National University of Singapore.

出版信息

J Anat. 1992 Aug;181 ( Pt 1)(Pt 1):61-71.

Abstract

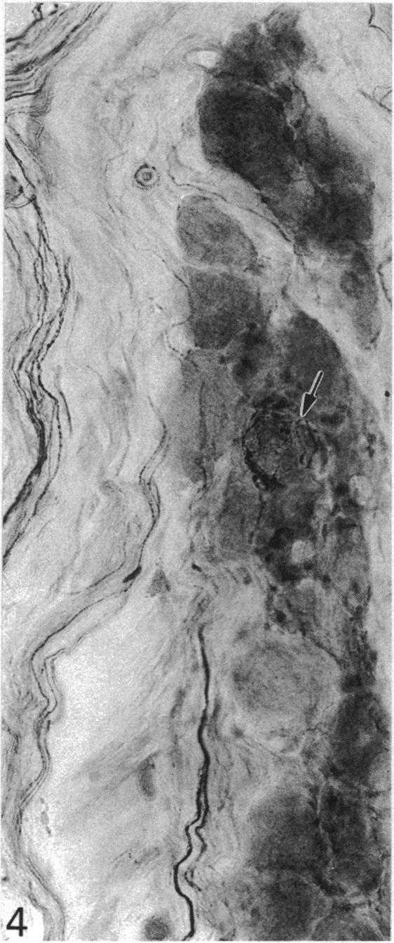
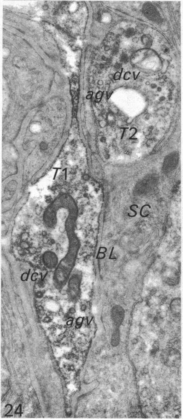
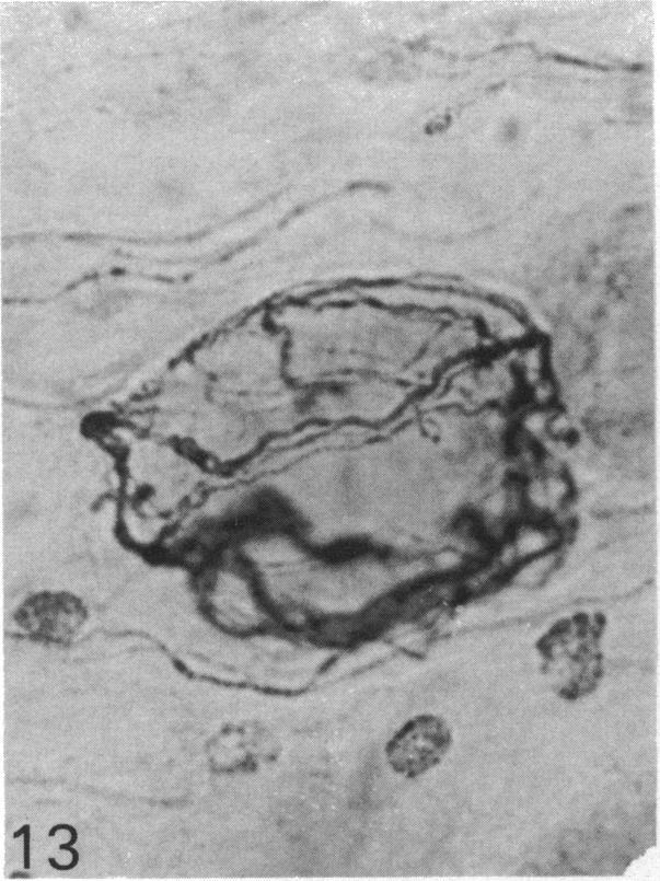
The quantitative cell count showed the presence of about 20,000 ganglion cells with associated satellite elements in the nodose ganglion in the monkey. Among these closely packed cells, at least one-third were substance P (SP) immunoreactive, ranging from faint or moderate to intense staining. Substance P immunoreactivity (SP-IR) was localised in the cell bodies and their long extending neurites. Ultrastructural study showed that SP-IR was not associated with any particular organelles or inclusions. A striking feature of the nodose ganglion was the occurrence of SP-positive pericellular arborisations associated with about 0.5% of the ganglion cells which were almost exclusively SP-negative. The pericellular arborisation displayed diverse morphological forms from a simple tortuous fibre to complex glomerular networks or plexuses encircling the soma of SP-negative ganglion cells. The varicose nerve fibres forming the pericellular arborisations appeared to terminate as 'boutons' contacting the soma of the ganglion cells. Electron microscopic study demonstrated the close spatial relation between the SP-IR profiles and the ganglion cell but there was no direct synaptic contact. In some instances, the SP-IR profiles containing agranular and dense-cored vesicles penetrated the cytoplasm of satellite cells, almost reaching the surface of the soma of the ganglion cell. The sources of origin of the nerve plexuses in the pericellular arborisation were either from the small and sparsely distributed jugular ganglion cells which were intensely SP-IR or from the intrinsic SP-IR nodose ganglion cells. The possibility that the efferent neurons in the dorsal motor nucleus of the vagus could also contribute to the pericellular arborisation was also considered. The function of the pericellular arborisations may be related to the modulation of the SP-deficient ganglion cells with which they associate through the release of SP and probably by way of the satellite cells.

摘要

定量细胞计数显示,猴子的结状神经节中存在约20,000个神经节细胞及相关的卫星细胞。在这些紧密排列的细胞中,至少三分之一对P物质(SP)呈免疫反应性,染色强度从微弱、中等至强烈不等。P物质免疫反应性(SP-IR)定位于细胞体及其长延伸的神经突。超微结构研究表明,SP-IR与任何特定的细胞器或内含物无关。结状神经节的一个显著特征是,约0.5%的神经节细胞周围出现SP阳性的树枝状分支,而这些神经节细胞几乎完全为SP阴性。细胞周围的树枝状分支呈现出多种形态,从简单的曲折纤维到复杂的肾小球样网络或围绕SP阴性神经节细胞胞体的丛状结构。形成细胞周围树枝状分支的曲张神经纤维似乎以“终扣”的形式终止于与神经节细胞胞体接触处。电子显微镜研究显示,SP-IR结构与神经节细胞之间存在紧密的空间关系,但没有直接的突触联系。在某些情况下,含有无颗粒和致密核心小泡的SP-IR结构穿透卫星细胞的细胞质,几乎到达神经节细胞胞体表面。细胞周围树枝状分支中的神经丛来源要么是来自强烈SP-IR的小而稀疏分布的颈静脉神经节细胞,要么是来自结状神经节内源性的SP-IR细胞。迷走神经背运动核中的传出神经元也可能参与细胞周围树枝状分支形成的可能性也被考虑在内。细胞周围树枝状分支的功能可能与其通过释放SP并可能通过卫星细胞对与之相关的SP缺乏神经节细胞的调节有关。

https://cdn.ncbi.nlm.nih.gov/pmc/blobs/1a3f/1259752/2a5d801a748f/janat00147-0065-a.jpg

文献检索

告别复杂PubMed语法,用中文像聊天一样搜索,搜遍4000万医学文献。AI智能推荐,让科研检索更轻松。

立即免费搜索

文件翻译

保留排版,准确专业,支持PDF/Word/PPT等文件格式,支持 12+语言互译。

免费翻译文档

深度研究

AI帮你快速写综述,25分钟生成高质量综述,智能提取关键信息,辅助科研写作。

立即免费体验