• 文献检索
  • 文档翻译
  • 深度研究
  • 学术资讯
  • Suppr Zotero 插件Zotero 插件
  • 邀请有礼
  • 套餐&价格
  • 历史记录
应用&插件
Suppr Zotero 插件Zotero 插件浏览器插件Mac 客户端Windows 客户端微信小程序
定价
高级版会员购买积分包购买API积分包
服务
文献检索文档翻译深度研究API 文档MCP 服务
关于我们
关于 Suppr公司介绍联系我们用户协议隐私条款
关注我们

Suppr 超能文献

核心技术专利:CN118964589B侵权必究
粤ICP备2023148730 号-1Suppr @ 2026

文献检索

告别复杂PubMed语法,用中文像聊天一样搜索,搜遍4000万医学文献。AI智能推荐,让科研检索更轻松。

立即免费搜索

文件翻译

保留排版,准确专业,支持PDF/Word/PPT等文件格式,支持 12+语言互译。

免费翻译文档

深度研究

AI帮你快速写综述,25分钟生成高质量综述,智能提取关键信息,辅助科研写作。

立即免费体验

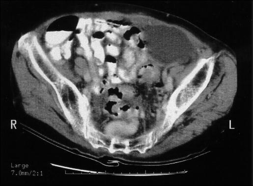
一名患有恶性腹水的患者在内镜下腹膜外腹股沟疝修补术后出现腹膜前积液。

Preperitoneal collection after endoscopic extraperitoneal inguinal hernioplasty in a patient with malignant ascites.

作者信息

Lau Hung

机构信息

Department of Surgery, University of Hong Kong Medical Center, Tung Wah Hospital, China.

出版信息

JSLS. 2003 Apr-Jun;7(2):173-5.

PMID:12856852
原文链接:https://pmc.ncbi.nlm.nih.gov/articles/PMC3015477/
Abstract

Painful preperitoneal collection is a rare complication following endoscopic totally extraperitoneal inguinal hemioplasty. Here we present the case of a woman who underwent endoscopic extraperitoneal inguinal hernioplasty for a left inguinal hernia. Her past health was good. During the dissection of the extraperitoneal space, clear ascitic fluid was noted upon breaching the peritoneum near the round ligament. Endoscopic stapling was used to close the peritoneal tear, and the procedure was completed uneventfully. The patient complained of left iliac pain after the operation. A physical examination showed no swelling over the left iliac fossa. Contrast computed tomography of the abdomen revealed preperitoneal fluid collection over the hernioplasty site and a small amount of ascites. Expectant treatment with pain control by oral analgesics was adopted. A follow-up CT scan 4 months after the operation showed resolution of the preperitoneal fluid collection but with increased ascites. Abdominal paracentesis with peritoneal fluid for cytology analysis found adenocarcinoma cells. The patient succumbed to a terminal malignancy a year after surgery. Conversion of endoscopic extraperitoneal inguinal hernioplasty to open repair should be considered upon intraoperative discovery of ascites. Painful preperitoneal collection is a possible sequela following endoscopic extraperitoneal hernioplasty in patients with malignant ascites.

摘要

疼痛性腹膜前积液是内镜下完全腹膜外腹股沟疝修补术后一种罕见的并发症。在此,我们报告一例接受内镜下腹膜外腹股沟疝修补术治疗左侧腹股沟疝的女性病例。她既往健康状况良好。在腹膜外间隙分离过程中,在靠近圆韧带处突破腹膜时发现清亮腹水。采用内镜下吻合器闭合腹膜撕裂口,手术顺利完成。术后患者诉左髂部疼痛。体格检查显示左髂窝无肿胀。腹部增强CT显示疝修补部位腹膜前积液及少量腹水。采取口服镇痛药控制疼痛的保守治疗。术后4个月的随访CT扫描显示腹膜前积液消失,但腹水增多。经腹穿刺抽取腹水进行细胞学分析发现腺癌细胞。患者术后一年死于终末期恶性肿瘤。术中发现腹水时应考虑将内镜下腹膜外腹股沟疝修补术转为开放修补。对于合并恶性腹水的患者,疼痛性腹膜前积液是内镜下腹膜外疝修补术后可能出现的后遗症。

https://cdn.ncbi.nlm.nih.gov/pmc/blobs/5a76/3015477/93001f25ec79/jsls-7-2-173-g02.jpg
https://cdn.ncbi.nlm.nih.gov/pmc/blobs/5a76/3015477/1654bb955eb0/jsls-7-2-173-g01.jpg
https://cdn.ncbi.nlm.nih.gov/pmc/blobs/5a76/3015477/93001f25ec79/jsls-7-2-173-g02.jpg
https://cdn.ncbi.nlm.nih.gov/pmc/blobs/5a76/3015477/1654bb955eb0/jsls-7-2-173-g01.jpg
https://cdn.ncbi.nlm.nih.gov/pmc/blobs/5a76/3015477/93001f25ec79/jsls-7-2-173-g02.jpg

相似文献

1
Preperitoneal collection after endoscopic extraperitoneal inguinal hernioplasty in a patient with malignant ascites.一名患有恶性腹水的患者在内镜下腹膜外腹股沟疝修补术后出现腹膜前积液。
JSLS. 2003 Apr-Jun;7(2):173-5.
2
Impact of previous appendectomy on the outcomes of endoscopic totally extraperitoneal inguinal hernioplasty.既往阑尾切除术对内镜下完全腹膜外腹股沟疝修补术结局的影响。
Surg Laparosc Endosc Percutan Tech. 2004 Oct;14(5):257-9. doi: 10.1097/00129689-200410000-00005.
3
Preperitoneal closed-system suction drainage after totally extraperitoneal hernioplasty in the prevention of early seroma formation: a prospective double-blind randomised controlled trial.完全腹膜外疝修补术后腹膜前封闭系统吸引引流预防早期血清肿形成:一项前瞻性双盲随机对照试验
Hernia. 2018 Jun;22(3):455-465. doi: 10.1007/s10029-018-1731-2. Epub 2018 Jan 13.
4
A prospective trial of analgesia following endoscopic totally extraperitoneal (TEP) inguinal hernioplasty.内镜下完全腹膜外(TEP)腹股沟疝修补术后镇痛的前瞻性试验。
Surg Endosc. 2002 Jan;16(1):159-62. doi: 10.1007/s00464-001-8106-x. Epub 2001 Oct 19.
5
Transabdominal preperitoneal versus totally extraperitoneal repair of inguinal hernia: a meta-analysis of randomized studies.经腹腹膜前修补术与完全腹膜外修补术治疗腹股沟疝的比较:随机研究的荟萃分析。
Am J Surg. 2013 Aug;206(2):245-252.e1. doi: 10.1016/j.amjsurg.2012.10.041. Epub 2013 Jun 12.
6
Needlescopic totally extraperitoneal hernioplasty for unilateral inguinal hernia in adult patients.经皮全腹膜外疝修补术治疗成人单侧腹股沟疝。
Asian J Surg. 2011 Jan;34(1):23-7. doi: 10.1016/S1015-9584(11)60014-6.
7
Management of peritoneal tear during endoscopic extraperitoneal inguinal hernioplasty.内镜下腹膜外腹股沟疝修补术中腹膜撕裂的处理
Surg Endosc. 2002 Oct;16(10):1474-7. doi: 10.1007/s00464-001-8299-z. Epub 2002 Jun 20.
8
Robotic transabdominal preperitoneal repair for recurrent inguinal hernia after Kugel hernioplasty: A case report.Kugel疝修补术后复发性腹股沟疝的机器人经腹腹膜前修补术:一例报告
Int J Surg Case Rep. 2024 May;118:109693. doi: 10.1016/j.ijscr.2024.109693. Epub 2024 Apr 24.
9
Unusual clinical presentation of a preperitoneal hernia following endoscopic totally extraperitoneal inguinoscrotal hernia repair.经腹腹膜前疝修补术后内镜腹股沟阴囊疝修补术后罕见的腹膜前疝临床表现。
Hernia. 2012 Oct;16(5):585-7. doi: 10.1007/s10029-010-0776-7. Epub 2011 Jan 12.
10
Acute pain after endoscopic totally extraperitoneal (TEP) inguinal hernioplasty: multivariate analysis of predictive factors.内镜完全腹膜外(TEP)腹股沟疝修补术后的急性疼痛:预测因素的多变量分析
Surg Endosc. 2004 Jan;18(1):92-6. doi: 10.1007/s00464-003-9068-y. Epub 2003 Nov 21.

引用本文的文献

1
Serious life-threatening complication 5 years after laparoscopic totally extraperitoneal hernia repair: case report and discussion of the literature.腹腔镜完全腹膜外疝修补术后 5 年发生严重危及生命的并发症:病例报告并文献复习。
Hernia. 2011 Aug;15(4):459-62. doi: 10.1007/s10029-010-0681-0. Epub 2010 May 30.
2
Pain following the repair of an abdominal hernia.腹部疝修补术后疼痛。
Surg Today. 2010;40(1):8-21. doi: 10.1007/s00595-009-4001-1. Epub 2009 Dec 29.
3
A rare complication following laparoscopic TEP repair: case report and discussion of the literature.

本文引用的文献

1
Pseudomyxoma peritonei in a hernia sac: analysis of 20 patients in whom mucoid fluid was found during a hernia repair.疝囊内腹膜假黏液瘤:对20例在疝修补术中发现黏液样液体患者的分析
Eur J Surg Oncol. 2001 Feb;27(1):54-8. doi: 10.1053/ejso.2000.1031.
2
Laparoscopic totally extraperitoneal inguinal hernioplasty: an audit of the early postoperative results of 100 consecutive repairs.腹腔镜完全腹膜外腹股沟疝修补术:对连续100例修补术的早期术后结果的审计
Ann Acad Med Singap. 2000 Sep;29(5):640-3.
3
Preoperative and postoperative assessment of laparoscopic inguinal hernia repair by dynamic MRI.
腹腔镜经腹膜前修补术后的一种罕见并发症:病例报告及文献讨论
Hernia. 2007 Oct;11(5):453-6. doi: 10.1007/s10029-007-0206-7. Epub 2007 Mar 6.
4
Is endoscopic totally extraperitoneal hernioplasty justified for the repair of groin hernia in female patients?内镜完全腹膜外疝修补术用于女性患者腹股沟疝修补是否合理?
Surg Endosc. 2005 Dec;19(12):1544-8. doi: 10.1007/s00464-005-0101-1. Epub 2005 Oct 24.
Invest Radiol. 2000 Nov;35(11):695-8. doi: 10.1097/00004424-200011000-00008.
4
Intraoperative and postoperative complications of totally extraperitoneal laparoscopic inguinal hernioplasty.完全腹膜外腹腔镜腹股沟疝修补术的术中及术后并发症
Surg Laparosc Endosc Percutan Tech. 2000 Feb;10(1):30-3.
5
Metastatic colon carcinoma found within an inguinal hernia sac: report of a case.腹股沟疝囊内发现转移性结肠癌:一例报告
Surg Today. 2000;30(1):74-7. doi: 10.1007/PL00010052.
6
Prospective audit of laparoscopic totally extraperitoneal inguinal hernia repair: a multicenter study of the Swiss Association for Laparoscopic and Thoracoscopic Surgery (SALTC).腹腔镜完全腹膜外腹股沟疝修补术的前瞻性审计:瑞士腹腔镜与胸腔镜外科学会(SALTC)的多中心研究
Surg Endosc. 1999 Nov;13(11):1115-20. doi: 10.1007/s004649901185.
7
Endoscopic totally extraperitoneal repair of bilateral inguinal hernias.双侧腹股沟疝的内镜完全腹膜外修补术
Br J Surg. 1999 Oct;86(10):1312-6. doi: 10.1046/j.1365-2168.1999.01225.x.
8
Laparoscopic extraperitoneal inguinal hernia repair with spinal anesthesia and nitrous oxide insufflation.
Surg Endosc. 1999 Oct;13(10):1026-9. doi: 10.1007/s004649901161.
9
Elective repair of abdominal wall hernias in decompensated cirrhosis.失代偿期肝硬化患者腹壁疝的择期修补术
Hepatogastroenterology. 1998 Sep-Oct;45(23):1516-8.
10
Endoscopic extraperitoneal herniorrhaphy. A 5-year experience.内镜下腹膜外疝修补术。5年经验总结。
Surg Endosc. 1998 Nov;12(11):1311-3. doi: 10.1007/s004649900847.