• 文献检索
  • 文档翻译
  • 深度研究
  • 学术资讯
  • Suppr Zotero 插件Zotero 插件
  • 邀请有礼
  • 套餐&价格
  • 历史记录
应用&插件
Suppr Zotero 插件Zotero 插件浏览器插件Mac 客户端Windows 客户端微信小程序
定价
高级版会员购买积分包购买API积分包
服务
文献检索文档翻译深度研究API 文档MCP 服务
关于我们
关于 Suppr公司介绍联系我们用户协议隐私条款
关注我们

Suppr 超能文献

核心技术专利:CN118964589B侵权必究
粤ICP备2023148730 号-1Suppr @ 2026

文献检索

告别复杂PubMed语法,用中文像聊天一样搜索,搜遍4000万医学文献。AI智能推荐,让科研检索更轻松。

立即免费搜索

文件翻译

保留排版,准确专业,支持PDF/Word/PPT等文件格式,支持 12+语言互译。

免费翻译文档

深度研究

AI帮你快速写综述,25分钟生成高质量综述,智能提取关键信息,辅助科研写作。

立即免费体验

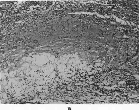
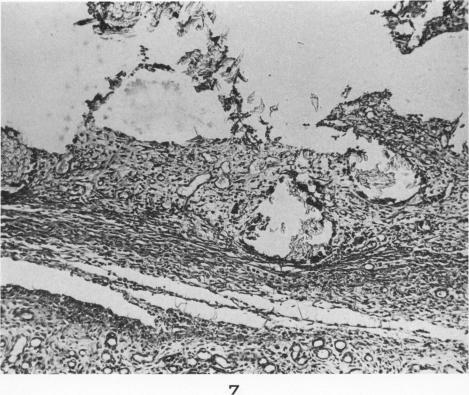
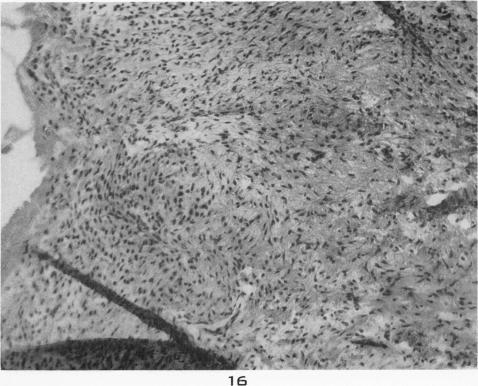
Lack of cortisone effect in the early stages of inflammation and repair.

作者信息

LATTES R, BLUNT J W, ROSE H M, JESSAR R A, DE VAILLANCOURT G, RAGAN C

出版信息

Am J Pathol. 1953 Jan-Feb;29(1):1-19.

PMID:13016779
原文链接:https://pmc.ncbi.nlm.nih.gov/articles/PMC1937429/
Abstract
摘要
https://cdn.ncbi.nlm.nih.gov/pmc/blobs/5b98/1937429/cb588aa4c293/amjpathol00480-0033-b.jpg
https://cdn.ncbi.nlm.nih.gov/pmc/blobs/5b98/1937429/c089792cad67/amjpathol00480-0019-a.jpg
https://cdn.ncbi.nlm.nih.gov/pmc/blobs/5b98/1937429/ac2a6ba82c04/amjpathol00480-0020-a.jpg
https://cdn.ncbi.nlm.nih.gov/pmc/blobs/5b98/1937429/d4c9f5a4997f/amjpathol00480-0021-a.jpg
https://cdn.ncbi.nlm.nih.gov/pmc/blobs/5b98/1937429/bccda43c064f/amjpathol00480-0021-b.jpg
https://cdn.ncbi.nlm.nih.gov/pmc/blobs/5b98/1937429/70ed8bdd1b0d/amjpathol00480-0022-a.jpg
https://cdn.ncbi.nlm.nih.gov/pmc/blobs/5b98/1937429/2d275ee24a29/amjpathol00480-0023-a.jpg
https://cdn.ncbi.nlm.nih.gov/pmc/blobs/5b98/1937429/55bedefe5c23/amjpathol00480-0023-b.jpg
https://cdn.ncbi.nlm.nih.gov/pmc/blobs/5b98/1937429/fc2d6909e23a/amjpathol00480-0024-a.jpg
https://cdn.ncbi.nlm.nih.gov/pmc/blobs/5b98/1937429/b8f197dfc1d3/amjpathol00480-0025-a.jpg
https://cdn.ncbi.nlm.nih.gov/pmc/blobs/5b98/1937429/aabc86e5967d/amjpathol00480-0025-b.jpg
https://cdn.ncbi.nlm.nih.gov/pmc/blobs/5b98/1937429/0b632cbcce61/amjpathol00480-0026-a.jpg
https://cdn.ncbi.nlm.nih.gov/pmc/blobs/5b98/1937429/7790f7cf0d77/amjpathol00480-0027-a.jpg
https://cdn.ncbi.nlm.nih.gov/pmc/blobs/5b98/1937429/a0e1aa07c9e1/amjpathol00480-0027-b.jpg
https://cdn.ncbi.nlm.nih.gov/pmc/blobs/5b98/1937429/22a39c2fa503/amjpathol00480-0028-a.jpg
https://cdn.ncbi.nlm.nih.gov/pmc/blobs/5b98/1937429/949cc9c2540f/amjpathol00480-0029-a.jpg
https://cdn.ncbi.nlm.nih.gov/pmc/blobs/5b98/1937429/2589951c0d97/amjpathol00480-0029-b.jpg
https://cdn.ncbi.nlm.nih.gov/pmc/blobs/5b98/1937429/852ee9310e40/amjpathol00480-0031-a.jpg
https://cdn.ncbi.nlm.nih.gov/pmc/blobs/5b98/1937429/92252bc0797d/amjpathol00480-0031-b.jpg
https://cdn.ncbi.nlm.nih.gov/pmc/blobs/5b98/1937429/c10502f8b750/amjpathol00480-0033-a.jpg
https://cdn.ncbi.nlm.nih.gov/pmc/blobs/5b98/1937429/cb588aa4c293/amjpathol00480-0033-b.jpg
https://cdn.ncbi.nlm.nih.gov/pmc/blobs/5b98/1937429/c089792cad67/amjpathol00480-0019-a.jpg
https://cdn.ncbi.nlm.nih.gov/pmc/blobs/5b98/1937429/ac2a6ba82c04/amjpathol00480-0020-a.jpg
https://cdn.ncbi.nlm.nih.gov/pmc/blobs/5b98/1937429/d4c9f5a4997f/amjpathol00480-0021-a.jpg
https://cdn.ncbi.nlm.nih.gov/pmc/blobs/5b98/1937429/bccda43c064f/amjpathol00480-0021-b.jpg
https://cdn.ncbi.nlm.nih.gov/pmc/blobs/5b98/1937429/70ed8bdd1b0d/amjpathol00480-0022-a.jpg
https://cdn.ncbi.nlm.nih.gov/pmc/blobs/5b98/1937429/2d275ee24a29/amjpathol00480-0023-a.jpg
https://cdn.ncbi.nlm.nih.gov/pmc/blobs/5b98/1937429/55bedefe5c23/amjpathol00480-0023-b.jpg
https://cdn.ncbi.nlm.nih.gov/pmc/blobs/5b98/1937429/fc2d6909e23a/amjpathol00480-0024-a.jpg
https://cdn.ncbi.nlm.nih.gov/pmc/blobs/5b98/1937429/b8f197dfc1d3/amjpathol00480-0025-a.jpg
https://cdn.ncbi.nlm.nih.gov/pmc/blobs/5b98/1937429/aabc86e5967d/amjpathol00480-0025-b.jpg
https://cdn.ncbi.nlm.nih.gov/pmc/blobs/5b98/1937429/0b632cbcce61/amjpathol00480-0026-a.jpg
https://cdn.ncbi.nlm.nih.gov/pmc/blobs/5b98/1937429/7790f7cf0d77/amjpathol00480-0027-a.jpg
https://cdn.ncbi.nlm.nih.gov/pmc/blobs/5b98/1937429/a0e1aa07c9e1/amjpathol00480-0027-b.jpg
https://cdn.ncbi.nlm.nih.gov/pmc/blobs/5b98/1937429/22a39c2fa503/amjpathol00480-0028-a.jpg
https://cdn.ncbi.nlm.nih.gov/pmc/blobs/5b98/1937429/949cc9c2540f/amjpathol00480-0029-a.jpg
https://cdn.ncbi.nlm.nih.gov/pmc/blobs/5b98/1937429/2589951c0d97/amjpathol00480-0029-b.jpg
https://cdn.ncbi.nlm.nih.gov/pmc/blobs/5b98/1937429/852ee9310e40/amjpathol00480-0031-a.jpg
https://cdn.ncbi.nlm.nih.gov/pmc/blobs/5b98/1937429/92252bc0797d/amjpathol00480-0031-b.jpg
https://cdn.ncbi.nlm.nih.gov/pmc/blobs/5b98/1937429/c10502f8b750/amjpathol00480-0033-a.jpg
https://cdn.ncbi.nlm.nih.gov/pmc/blobs/5b98/1937429/cb588aa4c293/amjpathol00480-0033-b.jpg

相似文献

1
Lack of cortisone effect in the early stages of inflammation and repair.在炎症和修复的早期阶段缺乏可的松效应。
Am J Pathol. 1953 Jan-Feb;29(1):1-19.
2
Effect of cortisone on inflammation in mice; minimum dose required to affect eosinophil count, inflammation, wound healing and size of spleen.可的松对小鼠炎症的影响;影响嗜酸性粒细胞计数、炎症、伤口愈合及脾脏大小所需的最小剂量。
Am J Clin Pathol. 1952 Oct;22(10):944-7. doi: 10.1093/ajcp/22.10.944.
3
The effect of local cortisone on wound healing in rabbit corneas.局部皮质醇对兔角膜伤口愈合的影响。
Am J Ophthalmol. 1955 Sep;40(3):344-53. doi: 10.1016/0002-9394(55)91868-7.
4
The effect of cortisone acetate on the wound healing phase of Triturus viridescens.醋酸可的松对绿螈伤口愈合阶段的影响。
Growth. 1955 Sep;19(3):169-75.
5
Cortisone and vitamin C in wound healing.
Int Z Vitaminforsch. 1952;24(3):318-29.
6
CORTISONE and wound healing.可的松与伤口愈合
Lancet. 1953 Apr 11;1(6763):733-4.
7
The effect of cortisone on wound healing, blood regeneration and growth.可的松对伤口愈合、血液再生及生长的影响。
Surg Forum. 1951:488-93.
8
The combined effect of cortisone and partial protein depletion on wound healing.可的松与部分蛋白质缺乏对伤口愈合的联合作用。
N Engl J Med. 1952 Apr 17;246(16):597-604. doi: 10.1056/NEJM195204172461601.
9
[The effect of endogenous corticoids on wound healing in rats].[内源性皮质激素对大鼠伤口愈合的影响]
Borgyogy Venerol Sz. 1953 May;7(3):79-84.
10
Observations on the effect of cortisone on wound healing and scar formation.关于可的松对伤口愈合和瘢痕形成影响的观察
Plast Reconstr Surg (1946). 1952 May;9(5):473-7. doi: 10.1097/00006534-195205000-00006.

引用本文的文献

1
Some inhibitors of histamine-induced and formaldehyde-induced inflammation in mice.一些小鼠体内组胺诱导和甲醛诱导炎症的抑制剂。
Br J Pharmacol Chemother. 1961 Apr;16(2):163-9. doi: 10.1111/j.1476-5381.1961.tb00309.x.
2
The effect of cortisone and antibiotic agents on experimental pulmonary aspergillosis.可的松和抗生素对实验性肺曲霉病的影响。
Am J Pathol. 1959 Jan-Feb;35(1):169-83.
3
[Mechanism of action of promoting or inhibiting factors in virus infections, with special reference to poliomyelitis].[病毒感染中促进或抑制因子的作用机制,特别参考脊髓灰质炎]

本文引用的文献

1
Effect of cortisone on experimental fractures in the rabbit.可的松对兔实验性骨折的影响。
Proc Soc Exp Biol Med. 1950 Apr;73(4):678-81. doi: 10.3181/00379727-73-17785.
2
Ester sulphuric acids in stroma connective tissue.基质结缔组织中的硫酸酯
Acta Radiol (Stockh). 1949 Jul 31;32(1):11-6. doi: 10.3109/00016924909135250.
3
Effect of cortisone on healing of corneal wounds.可的松对角膜伤口愈合的影响。
Acta Neuroveg (Wien). 1957;15(4-5):486-527. doi: 10.1007/BF01234622.
4
The association of metachromatic ground substance with fibroblastic activity in granulation tissue.异染性基质与肉芽组织中纤维母细胞活性的关联。
Am J Pathol. 1957 May-Jun;33(3):525-37.
5
Effect of cartilage and other tissue suspensions on reparative processes of cortisone-treated animals.软骨及其他组织悬液对经可的松处理动物修复过程的影响。
Am J Pathol. 1956 Sep-Oct;32(5):979-91.
6
The effect of cortisone on localized inflammation in the liver of rats.可的松对大鼠肝脏局部炎症的影响。
Am J Pathol. 1956 Jul-Aug;32(4):859-69.
7
Suppression of cortisone effect on repair in the presence of local bacterial infection.在局部细菌感染存在的情况下,可的松对修复作用的抑制。
Am J Pathol. 1954 Sep-Oct;30(5):901-5.
Br J Ophthalmol. 1951 Nov;35(11):708-17. doi: 10.1136/bjo.35.11.708.
4
The influence of cortisone on the repair of experimental fractures in the rabbit.
Br J Surg. 1951 Sep;39(154):172-8. doi: 10.1002/bjs.18003915411.
5
Delay of the early inflammatory response by cortisone.可的松对早期炎症反应的延迟作用。
Proc Soc Exp Biol Med. 1951 Apr;76(4):754-6. doi: 10.3181/00379727-76-18620.