Suppr超能文献

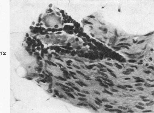
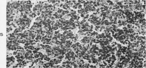
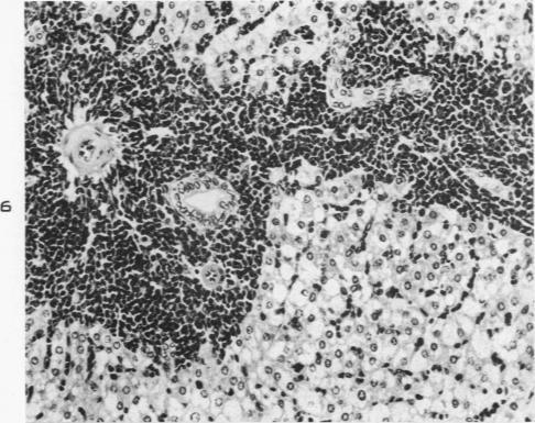
Leukemia in guinea-pigs.

作者信息

CONGDON C C, LORENZ E

出版信息

Am J Pathol. 1954 Mar-Apr;30(2):337-59.

Abstract
摘要
https://cdn.ncbi.nlm.nih.gov/pmc/blobs/712a/1942474/1525e968792e/amjpathol00702-0154-a.jpg

相似文献

引用本文的文献

1
Animal models of leukemia: any closer to the real thing?
Cancer Metastasis Rev. 2013 Jun;32(1-2):63-76. doi: 10.1007/s10555-012-9405-5.
2
Mysteries and miracles: personal recollections in clinical and diagnostic virology.
Clin Diagn Virol. 1995 Apr;3(Suppl 1):1-81. doi: 10.1016/0928-0197(95)80003-4.
4
Studies of leukemia L2C in guinea pigs.
Arch Gesamte Virusforsch. 1963;12:537-51. doi: 10.1007/BF01242160.
6
Serological studies of leukemia L2C in guinea pigs.
Arch Gesamte Virusforsch. 1962;11:621-7. doi: 10.1007/BF01241312.
7
In vitro gamma irradiation of leukemic cells in mice, rats, and guinea pigs.
Proc Natl Acad Sci U S A. 1980 Dec;77(12):7435-9. doi: 10.1073/pnas.77.12.7435.
10
Pathology of cavian viral leukemia.
Am J Pathol. 1967 Dec;51(6):1135-51.

文献AI研究员

20分钟写一篇综述,助力文献阅读效率提升50倍。

立即体验

用中文搜PubMed

大模型驱动的PubMed中文搜索引擎

马上搜索

文档翻译

学术文献翻译模型,支持多种主流文档格式。

立即体验