Suppr超能文献

大鼠大脑表达二氢吡啶敏感的L型钙通道α2亚基的一种选择性剪接形式。

Rat brain expresses an alternatively spliced form of the dihydropyridine-sensitive L-type calcium channel alpha 2 subunit.

作者信息

Kim H L, Kim H, Lee P, King R G, Chin H

机构信息

Laboratory of Molecular Biology, National Institute of Neurological Disorders and Stroke, National Institutes of Health, Bethesda, MD 20892.

出版信息

Proc Natl Acad Sci U S A. 1992 Apr 15;89(8):3251-5. doi: 10.1073/pnas.89.8.3251.

Abstract

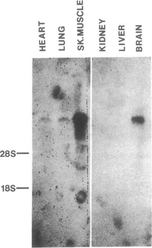
We have cloned and sequenced a cDNA (rB-alpha 2) encoding an alpha 2 subunit of the voltage-sensitive L-type calcium channel (dihydropyridine receptor) of rat brain. The cDNA (3823 base pairs) encodes a protein of 1091 amino acids with a Mr of 123,822. The deduced amino acid sequence of rB-alpha 2 cDNA is highly similar (95% amino acid identity) to that of rabbit skeletal muscle alpha 2 subunit. The rB-alpha 2 protein is distinct from the previously cloned skeletal muscle alpha 2-subunit protein [Ellis, S. B., Williams, M. E., Ways, N. R., Brenner, R., Sharp, A. H., Leung, A. T., Campbell, K. P., McKenna, E., Koch, W., Hui, A., Schwartz, A. & Harpold, M. M. (1988) Science 241, 1661-1664] because it contains an insertion of 7 amino acid residues and a deletion of a 19-amino acid segment between putative transmembrane domains 1 and 2. We show that the rB-alpha 2 and skeletal muscle alpha 2-subunit transcripts are the variants produced by alternative splicing of the primary transcript and that they are differentially expressed in brain and skeletal muscle, respectively.

摘要

我们已经克隆并测序了一个编码大鼠脑电压敏感性L型钙通道(二氢吡啶受体)α2亚基的cDNA(rB-α2)。该cDNA(3823个碱基对)编码一个由1091个氨基酸组成、分子量为123,822的蛋白质。rB-α2 cDNA推导的氨基酸序列与兔骨骼肌α2亚基的氨基酸序列高度相似(氨基酸同一性为95%)。rB-α2蛋白与先前克隆的骨骼肌α2亚基蛋白不同[埃利斯,S.B.,威廉姆斯,M.E.,韦尔斯,N.R.,布伦纳,R.,夏普,A.H.,梁,A.T.,坎贝尔,K.P.,麦肯纳,E.,科赫,W.,许,A.,施瓦茨,A.和哈波尔德,M.M.(1988年)《科学》241,1661 - 1664],因为它在假定的跨膜结构域1和2之间包含一个7个氨基酸残基的插入和一个19个氨基酸片段的缺失。我们表明,rB-α2和骨骼肌α2亚基转录本是初级转录本通过可变剪接产生的变体,并且它们分别在脑和骨骼肌中差异表达。

https://cdn.ncbi.nlm.nih.gov/pmc/blobs/cb4e/48844/652446fa125b/pnas01082-0099-a.jpg

文献AI研究员

20分钟写一篇综述,助力文献阅读效率提升50倍。

立即体验

用中文搜PubMed

大模型驱动的PubMed中文搜索引擎

马上搜索

文档翻译

学术文献翻译模型,支持多种主流文档格式。

立即体验