Suppr超能文献

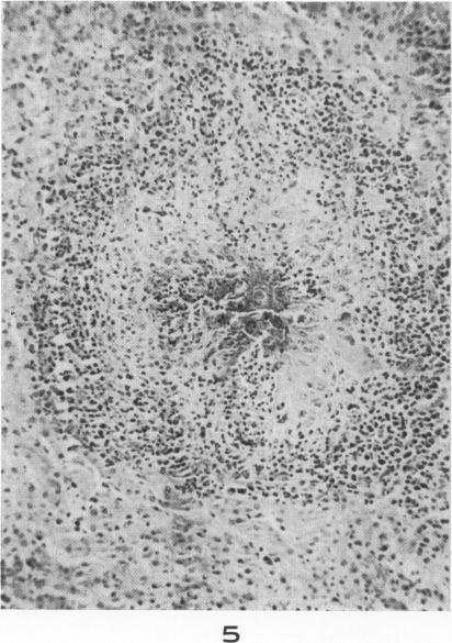
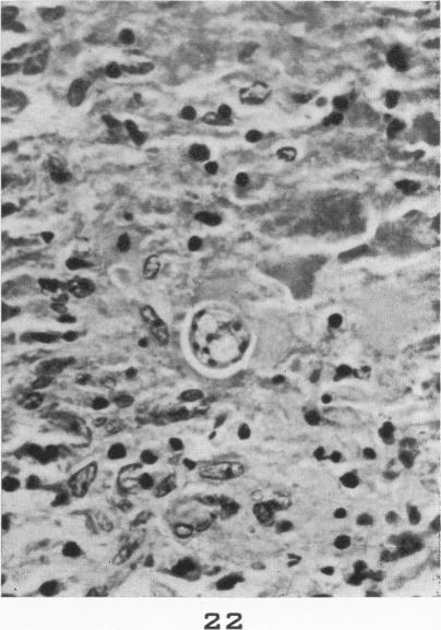
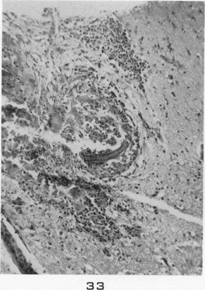
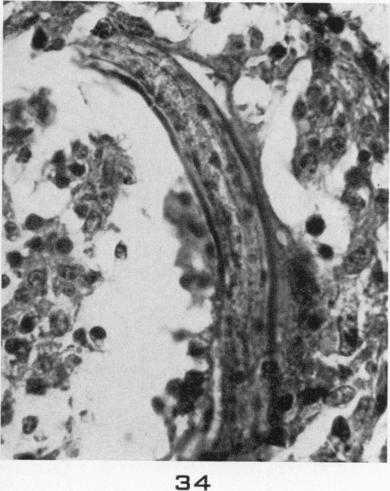
Visceral larva migrans; with a case report.

作者信息

DENT J H, NICHOLS R L, BEAVER P C, CARRERA G M, STAGGERS R J

出版信息

Am J Pathol. 1956 Jul-Aug;32(4):777-803.

Abstract
摘要
https://cdn.ncbi.nlm.nih.gov/pmc/blobs/63ea/1942706/22d3b360dfd5/amjpathol00692-0136-a.jpg

相似文献

1
Visceral larva migrans; with a case report.
Am J Pathol. 1956 Jul-Aug;32(4):777-803.
7
[Larva migrans visceralis].
Ned Tijdschr Geneeskd. 1960 Jun 4;104:1104-7.
8
Visceral larva migrans.
Acta Paediatr (Stockh). 1957 Jan;46(1):64-73. doi: 10.1111/j.1651-2227.1957.tb08632.x.
9
VISCERAL LARVA MIGRANS.
Indian J Pediatr. 1963 Dec;30:388-9.
10
[Visceral larva migrans infections caused by toxocara species (author's transl)].
Dtsch Med Wochenschr. 1980 May 30;105(22):796-9. doi: 10.1055/s-2008-1070755.

引用本文的文献

1
Toxocariasis as a Rare Parasitic Complication of a Transthoracic Spine Surgery Procedure.
Medicina (Kaunas). 2021 Dec 3;57(12):1328. doi: 10.3390/medicina57121328.
2
Diagnosis of Ocular Toxocariasis by Serum and Aqueous Humor IgG ELISA.
Transl Vis Sci Technol. 2021 Jul 1;10(8):33. doi: 10.1167/tvst.10.8.33.
3
The Clinicopathological Profile of Eosinophilic Myocarditis.
Cureus. 2018 Dec 3;10(12):e3677. doi: 10.7759/cureus.3677.
4
Clinical and Magnetic Resonance Imaging Findings of Neurotoxocariasis.
Front Neurol. 2018 Feb 8;9:53. doi: 10.3389/fneur.2018.00053. eCollection 2018.
5
Update on pathology of ocular parasitic disease.
Indian J Ophthalmol. 2016 Nov;64(11):794-802. doi: 10.4103/0301-4738.195590.
6
Neurotoxocariasis: a systematic literature review.
Infection. 2016 Oct;44(5):565-74. doi: 10.1007/s15010-016-0889-8. Epub 2016 Mar 23.
7
Analysis of the course and treatment of toxocariasis in children-a long-term observation.
Parasitol Res. 2012 Jun;110(6):2363-71. doi: 10.1007/s00436-011-2772-y. Epub 2011 Dec 29.
8
Larval granulomata in the liver.
Gut. 1962 Dec;3(4):289-94. doi: 10.1136/gut.3.4.289.
10
HYPERCALCEMIC STATES.
Indian J Pediatr. 1963 Dec;30:386-8.

本文引用的文献

文献AI研究员

20分钟写一篇综述,助力文献阅读效率提升50倍。

立即体验

用中文搜PubMed

大模型驱动的PubMed中文搜索引擎

马上搜索

文档翻译

学术文献翻译模型,支持多种主流文档格式。

立即体验