Suppr超能文献

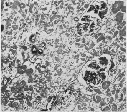
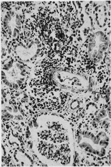
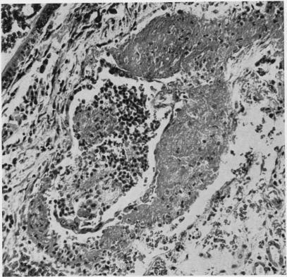
Distal tubular and proximal tubular necrosis in the kidneys of burned patients.

作者信息

SEVITT S

出版信息

J Clin Pathol. 1956 Nov;9(4):279-94. doi: 10.1136/jcp.9.4.279.

Abstract
摘要
https://cdn.ncbi.nlm.nih.gov/pmc/blobs/a79e/1023964/5a74d3f1b5af/jclinpath00037-0004-a.jpg

文献AI研究员

20分钟写一篇综述,助力文献阅读效率提升50倍。

立即体验

用中文搜PubMed

大模型驱动的PubMed中文搜索引擎

马上搜索

文档翻译

学术文献翻译模型,支持多种主流文档格式。

立即体验