• 文献检索
  • 文档翻译
  • 深度研究
  • 学术资讯
  • Suppr Zotero 插件Zotero 插件
  • 邀请有礼
  • 套餐&价格
  • 历史记录
应用&插件
Suppr Zotero 插件Zotero 插件浏览器插件Mac 客户端Windows 客户端微信小程序
定价
高级版会员购买积分包购买API积分包
服务
文献检索文档翻译深度研究API 文档MCP 服务
关于我们
关于 Suppr公司介绍联系我们用户协议隐私条款
关注我们

Suppr 超能文献

核心技术专利:CN118964589B侵权必究
粤ICP备2023148730 号-1Suppr @ 2026

文献检索

告别复杂PubMed语法,用中文像聊天一样搜索,搜遍4000万医学文献。AI智能推荐,让科研检索更轻松。

立即免费搜索

文件翻译

保留排版,准确专业,支持PDF/Word/PPT等文件格式,支持 12+语言互译。

免费翻译文档

深度研究

AI帮你快速写综述,25分钟生成高质量综述,智能提取关键信息,辅助科研写作。

立即免费体验

贝专纳兰保护地巴克韦纳保护区的地方性梅毒:大规模检查与治疗报告

Endemic syphilis in the Bakwena Reserve of the Bechuanaland protectorate: a report on mass examination and treatment.

作者信息

MURRAY J F, MERRIWEATHER A M, FREEDMAN M L

出版信息

Bull World Health Organ. 1956;15(6):975-1039.

PMID:13404470
原文链接:https://pmc.ncbi.nlm.nih.gov/articles/PMC2538181/
Abstract

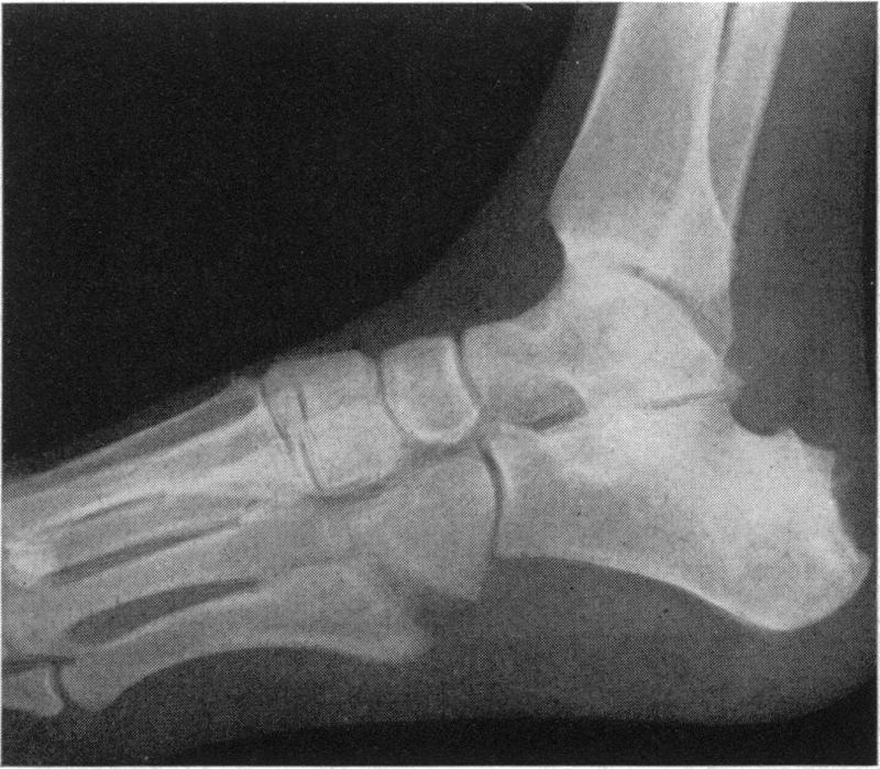
A form of endemic syphilis exists in the Bakwena Reserve of the Bechuanaland Protectorate known by the local name of "dichuchwa". It is similar to bejel, njovera and the endemic syphilis reported elsewhere in the world. The Government of the Protectorate, with the assistance of WHO and UNICEF, began in November 1953 a mass campaign in the Reserve to control this disease and, at the same time, to study its epidemiological, clinical, social and therapeutic aspects. The seropositivity rate in the Reserve was found to be 37%.Dichuchwa is a childhood and family disease, usually spread non-venereally. The early lesions are similar to secondary lesions of sporadic venereal syphilis, and are often followed by tertiary lesions affecting mainly the skin, nasopharynx and long bones. Primary lesions are rare but may occur under certain epidemiological conditions if the inoculum is sufficiently large; thus a mother may develop primary sores on the nipples through suckling an infected infant. Lesions of the cardiovascular and central nervous systems and congenital syphilis are also rare. Superinfection of an already infected and allergic host is probably the chief reason for the frequency of the tertiary lesions.Treatment of the disease with penicillin is very effective, and the authors believe that mass treatment of cases and contacts combined with an improvement in the standards of hygiene could eradicate the disease.

摘要

在贝专纳兰保护地的巴克韦纳保护区存在一种地方性梅毒,当地称之为“迪楚瓦病”。它与非性病性梅毒、恩乔韦拉病以及世界其他地方报道的地方性梅毒相似。在世界卫生组织和联合国儿童基金会的协助下,保护地政府于1953年11月在该保护区发起了一场大规模防治这种疾病的运动,同时研究其流行病学、临床、社会和治疗方面的情况。发现该保护区的血清阳性率为37%。迪楚瓦病是一种儿童和家庭疾病,通常通过非性途径传播。早期损害类似于散发性性病梅毒的二期损害,随后常出现三期损害,主要影响皮肤、鼻咽和长骨。一期损害很少见,但在某些流行病学条件下,如果接种量足够大,也可能发生;例如,母亲在哺乳感染婴儿时,乳头可能出现一期溃疡。心血管和中枢神经系统损害以及先天性梅毒也很少见。已经感染且过敏的宿主发生重复感染可能是三期损害常见的主要原因。用青霉素治疗这种疾病非常有效,作者认为对病例和接触者进行大规模治疗并提高卫生标准可以根除这种疾病。

https://cdn.ncbi.nlm.nih.gov/pmc/blobs/b77a/2538181/3c430ebd894a/bullwho00534-0140-d.jpg
https://cdn.ncbi.nlm.nih.gov/pmc/blobs/b77a/2538181/bdffbf517bcb/bullwho00534-0141-a.jpg
https://cdn.ncbi.nlm.nih.gov/pmc/blobs/b77a/2538181/508c62c07830/bullwho00534-0141-b.jpg
https://cdn.ncbi.nlm.nih.gov/pmc/blobs/b77a/2538181/9ca718727c06/bullwho00534-0141-c.jpg
https://cdn.ncbi.nlm.nih.gov/pmc/blobs/b77a/2538181/b44b4ef74026/bullwho00534-0141-d.jpg
https://cdn.ncbi.nlm.nih.gov/pmc/blobs/b77a/2538181/f781d19fa903/bullwho00534-0145-a.jpg
https://cdn.ncbi.nlm.nih.gov/pmc/blobs/b77a/2538181/0fd972712223/bullwho00534-0145-b.jpg
https://cdn.ncbi.nlm.nih.gov/pmc/blobs/b77a/2538181/da151db92b65/bullwho00534-0145-c.jpg
https://cdn.ncbi.nlm.nih.gov/pmc/blobs/b77a/2538181/2f4ca1462466/bullwho00534-0122-a.jpg
https://cdn.ncbi.nlm.nih.gov/pmc/blobs/b77a/2538181/5609779d4883/bullwho00534-0122-b.jpg
https://cdn.ncbi.nlm.nih.gov/pmc/blobs/b77a/2538181/a77f5810eed2/bullwho00534-0122-c.jpg
https://cdn.ncbi.nlm.nih.gov/pmc/blobs/b77a/2538181/fdc0934ef7b2/bullwho00534-0127-a.jpg
https://cdn.ncbi.nlm.nih.gov/pmc/blobs/b77a/2538181/f80bc9c7ff5f/bullwho00534-0127-b.jpg
https://cdn.ncbi.nlm.nih.gov/pmc/blobs/b77a/2538181/c4abbcb5cbce/bullwho00534-0127-c.jpg
https://cdn.ncbi.nlm.nih.gov/pmc/blobs/b77a/2538181/9f4c3fdf74c6/bullwho00534-0136-a.jpg
https://cdn.ncbi.nlm.nih.gov/pmc/blobs/b77a/2538181/8b220b30af10/bullwho00534-0136-b.jpg
https://cdn.ncbi.nlm.nih.gov/pmc/blobs/b77a/2538181/e5b55cb060e6/bullwho00534-0136-c.jpg
https://cdn.ncbi.nlm.nih.gov/pmc/blobs/b77a/2538181/19662ee59e27/bullwho00534-0124-a.jpg
https://cdn.ncbi.nlm.nih.gov/pmc/blobs/b77a/2538181/808b4db95664/bullwho00534-0124-b.jpg
https://cdn.ncbi.nlm.nih.gov/pmc/blobs/b77a/2538181/9e0733ecd92f/bullwho00534-0124-c.jpg
https://cdn.ncbi.nlm.nih.gov/pmc/blobs/b77a/2538181/6787a40c29ba/bullwho00534-0126-a.jpg
https://cdn.ncbi.nlm.nih.gov/pmc/blobs/b77a/2538181/8376da589acc/bullwho00534-0126-b.jpg
https://cdn.ncbi.nlm.nih.gov/pmc/blobs/b77a/2538181/743abe0fbf6f/bullwho00534-0126-c.jpg
https://cdn.ncbi.nlm.nih.gov/pmc/blobs/b77a/2538181/564c6a5d09cb/bullwho00534-0132-a.jpg
https://cdn.ncbi.nlm.nih.gov/pmc/blobs/b77a/2538181/ea30bd01cb7a/bullwho00534-0132-b.jpg
https://cdn.ncbi.nlm.nih.gov/pmc/blobs/b77a/2538181/379cc94f55ba/bullwho00534-0132-c.jpg
https://cdn.ncbi.nlm.nih.gov/pmc/blobs/b77a/2538181/a532d46026d9/bullwho00534-0138-a.jpg
https://cdn.ncbi.nlm.nih.gov/pmc/blobs/b77a/2538181/95fad78b3352/bullwho00534-0138-b.jpg
https://cdn.ncbi.nlm.nih.gov/pmc/blobs/b77a/2538181/ce7e53bcf550/bullwho00534-0138-c.jpg
https://cdn.ncbi.nlm.nih.gov/pmc/blobs/b77a/2538181/0a7fae703cfe/bullwho00534-0138-d.jpg
https://cdn.ncbi.nlm.nih.gov/pmc/blobs/b77a/2538181/ccfa1819d0e0/bullwho00534-0139-a.jpg
https://cdn.ncbi.nlm.nih.gov/pmc/blobs/b77a/2538181/02ae3b6d6780/bullwho00534-0139-b.jpg
https://cdn.ncbi.nlm.nih.gov/pmc/blobs/b77a/2538181/a177cdddf863/bullwho00534-0139-c.jpg
https://cdn.ncbi.nlm.nih.gov/pmc/blobs/b77a/2538181/180df6409d33/bullwho00534-0133-a.jpg
https://cdn.ncbi.nlm.nih.gov/pmc/blobs/b77a/2538181/82744ffd99f2/bullwho00534-0133-b.jpg
https://cdn.ncbi.nlm.nih.gov/pmc/blobs/b77a/2538181/09cc40b67141/bullwho00534-0133-c.jpg
https://cdn.ncbi.nlm.nih.gov/pmc/blobs/b77a/2538181/738708a02e17/bullwho00534-0137-a.jpg
https://cdn.ncbi.nlm.nih.gov/pmc/blobs/b77a/2538181/3dfa59074d40/bullwho00534-0137-b.jpg
https://cdn.ncbi.nlm.nih.gov/pmc/blobs/b77a/2538181/c4cf7e620b0f/bullwho00534-0137-c.jpg
https://cdn.ncbi.nlm.nih.gov/pmc/blobs/b77a/2538181/c2e312a35401/bullwho00534-0129-a.jpg
https://cdn.ncbi.nlm.nih.gov/pmc/blobs/b77a/2538181/0000f377f5df/bullwho00534-0129-b.jpg
https://cdn.ncbi.nlm.nih.gov/pmc/blobs/b77a/2538181/848fd9578109/bullwho00534-0125-a.jpg
https://cdn.ncbi.nlm.nih.gov/pmc/blobs/b77a/2538181/e903e875033d/bullwho00534-0140-a.jpg
https://cdn.ncbi.nlm.nih.gov/pmc/blobs/b77a/2538181/3c430ebd894a/bullwho00534-0140-d.jpg
https://cdn.ncbi.nlm.nih.gov/pmc/blobs/b77a/2538181/bdffbf517bcb/bullwho00534-0141-a.jpg
https://cdn.ncbi.nlm.nih.gov/pmc/blobs/b77a/2538181/508c62c07830/bullwho00534-0141-b.jpg
https://cdn.ncbi.nlm.nih.gov/pmc/blobs/b77a/2538181/9ca718727c06/bullwho00534-0141-c.jpg
https://cdn.ncbi.nlm.nih.gov/pmc/blobs/b77a/2538181/b44b4ef74026/bullwho00534-0141-d.jpg
https://cdn.ncbi.nlm.nih.gov/pmc/blobs/b77a/2538181/f781d19fa903/bullwho00534-0145-a.jpg
https://cdn.ncbi.nlm.nih.gov/pmc/blobs/b77a/2538181/0fd972712223/bullwho00534-0145-b.jpg
https://cdn.ncbi.nlm.nih.gov/pmc/blobs/b77a/2538181/da151db92b65/bullwho00534-0145-c.jpg
https://cdn.ncbi.nlm.nih.gov/pmc/blobs/b77a/2538181/2f4ca1462466/bullwho00534-0122-a.jpg
https://cdn.ncbi.nlm.nih.gov/pmc/blobs/b77a/2538181/5609779d4883/bullwho00534-0122-b.jpg
https://cdn.ncbi.nlm.nih.gov/pmc/blobs/b77a/2538181/a77f5810eed2/bullwho00534-0122-c.jpg
https://cdn.ncbi.nlm.nih.gov/pmc/blobs/b77a/2538181/fdc0934ef7b2/bullwho00534-0127-a.jpg
https://cdn.ncbi.nlm.nih.gov/pmc/blobs/b77a/2538181/f80bc9c7ff5f/bullwho00534-0127-b.jpg
https://cdn.ncbi.nlm.nih.gov/pmc/blobs/b77a/2538181/c4abbcb5cbce/bullwho00534-0127-c.jpg
https://cdn.ncbi.nlm.nih.gov/pmc/blobs/b77a/2538181/9f4c3fdf74c6/bullwho00534-0136-a.jpg
https://cdn.ncbi.nlm.nih.gov/pmc/blobs/b77a/2538181/8b220b30af10/bullwho00534-0136-b.jpg
https://cdn.ncbi.nlm.nih.gov/pmc/blobs/b77a/2538181/e5b55cb060e6/bullwho00534-0136-c.jpg
https://cdn.ncbi.nlm.nih.gov/pmc/blobs/b77a/2538181/19662ee59e27/bullwho00534-0124-a.jpg
https://cdn.ncbi.nlm.nih.gov/pmc/blobs/b77a/2538181/808b4db95664/bullwho00534-0124-b.jpg
https://cdn.ncbi.nlm.nih.gov/pmc/blobs/b77a/2538181/9e0733ecd92f/bullwho00534-0124-c.jpg
https://cdn.ncbi.nlm.nih.gov/pmc/blobs/b77a/2538181/6787a40c29ba/bullwho00534-0126-a.jpg
https://cdn.ncbi.nlm.nih.gov/pmc/blobs/b77a/2538181/8376da589acc/bullwho00534-0126-b.jpg
https://cdn.ncbi.nlm.nih.gov/pmc/blobs/b77a/2538181/743abe0fbf6f/bullwho00534-0126-c.jpg
https://cdn.ncbi.nlm.nih.gov/pmc/blobs/b77a/2538181/564c6a5d09cb/bullwho00534-0132-a.jpg
https://cdn.ncbi.nlm.nih.gov/pmc/blobs/b77a/2538181/ea30bd01cb7a/bullwho00534-0132-b.jpg
https://cdn.ncbi.nlm.nih.gov/pmc/blobs/b77a/2538181/379cc94f55ba/bullwho00534-0132-c.jpg
https://cdn.ncbi.nlm.nih.gov/pmc/blobs/b77a/2538181/a532d46026d9/bullwho00534-0138-a.jpg
https://cdn.ncbi.nlm.nih.gov/pmc/blobs/b77a/2538181/95fad78b3352/bullwho00534-0138-b.jpg
https://cdn.ncbi.nlm.nih.gov/pmc/blobs/b77a/2538181/ce7e53bcf550/bullwho00534-0138-c.jpg
https://cdn.ncbi.nlm.nih.gov/pmc/blobs/b77a/2538181/0a7fae703cfe/bullwho00534-0138-d.jpg
https://cdn.ncbi.nlm.nih.gov/pmc/blobs/b77a/2538181/ccfa1819d0e0/bullwho00534-0139-a.jpg
https://cdn.ncbi.nlm.nih.gov/pmc/blobs/b77a/2538181/02ae3b6d6780/bullwho00534-0139-b.jpg
https://cdn.ncbi.nlm.nih.gov/pmc/blobs/b77a/2538181/a177cdddf863/bullwho00534-0139-c.jpg
https://cdn.ncbi.nlm.nih.gov/pmc/blobs/b77a/2538181/180df6409d33/bullwho00534-0133-a.jpg
https://cdn.ncbi.nlm.nih.gov/pmc/blobs/b77a/2538181/82744ffd99f2/bullwho00534-0133-b.jpg
https://cdn.ncbi.nlm.nih.gov/pmc/blobs/b77a/2538181/09cc40b67141/bullwho00534-0133-c.jpg
https://cdn.ncbi.nlm.nih.gov/pmc/blobs/b77a/2538181/738708a02e17/bullwho00534-0137-a.jpg
https://cdn.ncbi.nlm.nih.gov/pmc/blobs/b77a/2538181/3dfa59074d40/bullwho00534-0137-b.jpg
https://cdn.ncbi.nlm.nih.gov/pmc/blobs/b77a/2538181/c4cf7e620b0f/bullwho00534-0137-c.jpg
https://cdn.ncbi.nlm.nih.gov/pmc/blobs/b77a/2538181/c2e312a35401/bullwho00534-0129-a.jpg
https://cdn.ncbi.nlm.nih.gov/pmc/blobs/b77a/2538181/0000f377f5df/bullwho00534-0129-b.jpg
https://cdn.ncbi.nlm.nih.gov/pmc/blobs/b77a/2538181/848fd9578109/bullwho00534-0125-a.jpg
https://cdn.ncbi.nlm.nih.gov/pmc/blobs/b77a/2538181/e903e875033d/bullwho00534-0140-a.jpg
https://cdn.ncbi.nlm.nih.gov/pmc/blobs/b77a/2538181/3c430ebd894a/bullwho00534-0140-d.jpg

相似文献

1
Endemic syphilis in the Bakwena Reserve of the Bechuanaland protectorate: a report on mass examination and treatment.贝专纳兰保护地巴克韦纳保护区的地方性梅毒:大规模检查与治疗报告
Bull World Health Organ. 1956;15(6):975-1039.
2
Endemic syphilis; dichuchwa; in the Bechuanaland Protectorate.地方性梅毒;迪楚瓦病;在贝专纳兰保护地。
Cent Afr J Med. 1959 Apr;5(4):181-5.
3
Endemic syphilis and yaws.地方性梅毒和雅司病。
Bull World Health Organ. 1956;15(6):959-73.
4
A case illustrating the bone lesions seen in cases of extra-venereal treponematosis in the Bechuanaland protectorate.一例说明在贝专纳兰保护地非性病性梅毒病例中所见骨损害的病例。
Trans R Soc Trop Med Hyg. 1953 May;47(3):242-5. doi: 10.1016/0035-9203(53)90011-x.
5
[CONTRIBUTION TO THE STUDY OF VENEREAL AND CUTANEOUS DISEASES AT ADDIS-ABABA].[对亚的斯亚贝巴性病与皮肤病研究的贡献]
Dermatol Trop Ecol Geogr. 1964 Jul-Sep;30:139-51.
6
Outcome of maternal syphilis at Rajavithi Hospital on offsprings.拉贾维蒂医院母婴梅毒对后代的影响。
J Med Assoc Thai. 2005 Nov;88(11):1519-25.
7
Venereal disease and treponematoses--the epidemiological situation and WHO's control programme.性病与密螺旋体病——流行病学形势及世界卫生组织的防控规划
WHO Chron. 1973 Oct;27(10):410-7.
8
Endemic non-venereal syphilis (bejel) in Saudi Arabia.沙特阿拉伯的地方性非性病性梅毒(比杰尔病)。
Br J Vener Dis. 1984 Oct;60(5):293-7. doi: 10.1136/sti.60.5.293.
9
[Treponemal infection among children in Ramotswa, Botswana. A serological study].[博茨瓦纳拉莫茨瓦儿童梅毒螺旋体感染情况。一项血清学研究]
Ugeskr Laeger. 1995 Jul 17;157(29):4134-6.
10
Congenital syphilis in California.加利福尼亚州的先天性梅毒
Calif Med. 1953 Apr;78(4):293-8.

引用本文的文献

1
[THE TREATMENT OF ENDEMIC SYPHILIS IN UNDERDEVELOPED COUNTRIES].[发展中国家地方性梅毒的治疗]
Arch Klin Exp Dermatol. 1964 Jun 25;219:211-27.
2
[THE CONTROL OF ENDEMIC SYPHILIS IN UNDERDEVELOPED COUNTRIES].[发展中国家地方性梅毒的控制]
Arch Klin Exp Dermatol. 1964 Jun 25;219:194-211.
3
ON THE ORIGIN OF THE HUMAN TREPONEMATOSES (PINTA, YAWS, ENDEMIC SYPHILIS AND VENEREAL SYPHILIS).论人类密螺旋体病(品他病、雅司病、地方性梅毒和性病性梅毒)的起源

本文引用的文献

1
Syphilis Insontium in Palestine.巴勒斯坦的潜伏梅毒
Br J Vener Dis. 1934 Jan;10(1):33-50. doi: 10.1136/sti.10.1.33.
2
Witkop (whitehead) a syphilitic affection of the scalp.维特科普(白头)病,一种头皮的梅毒感染。
S Afr Med J. 1949 Sep 17;23(38):783-5.
3
Is bejel syphilis?非性病性梅毒是梅毒吗?
Bull World Health Organ. 1963;29(1):7-41.
4
Treatment of early venereal syphilis with antibiotics.用抗生素治疗早期性病性梅毒。
Br J Vener Dis. 1962 Sep;38(3):109-25. doi: 10.1136/sti.38.3.109.
5
Involvement of the aortic valve and ascending aorta in congenital syphilis. A review.
Br J Vener Dis. 1961 Dec;37(4):257-67. doi: 10.1136/sti.37.4.257.
6
Evolutionary cycle of the treponematoses.密螺旋体病的进化周期。
Br J Vener Dis. 1960 Jun;36(2):78-91. doi: 10.1136/sti.36.2.78.
7
Some epidemiological aspects of yaws eradication.雅司病根除的一些流行病学方面
Bull World Health Organ. 1960;23(6):739-61.
8
Prevention of venereal infections.预防性病感染。
Bull World Health Organ. 1958;19(3):405-26.
9
Changing patterns of treponemal disease.梅毒疾病模式的变化。
Br J Vener Dis. 1974 Jun;50(3):169-78. doi: 10.1136/sti.50.3.169.
10
Sexually transmitted diseases in Botswana.博茨瓦纳的性传播疾病
Genitourin Med. 1985 Dec;61(6):409-10. doi: 10.1136/sti.61.6.409.
Br J Vener Dis. 1949 Sep;25(3):115-23. doi: 10.1136/sti.25.3.115.
4
Asexual syphilis in children.儿童无性梅毒
J Vener Dis Inf. 1949 Jan;30(1):7-11.
5
Survey of venereal diseases in Afghanistan.
Bull World Health Organ. 1950;2(4):689-703.
6
Treponemal disease control in underdeveloped countries: Experiences in mass therapy.欠发达国家的梅毒螺旋体病控制:群体治疗经验
Am J Syph Gonorrhea Vener Dis. 1952 Sep;36(5):424-32.
7
Ascorbic acid content of the milk of Tswana women.茨瓦纳族女性乳汁中的抗坏血酸含量。
Trans R Soc Trop Med Hyg. 1952 Jan;46(1):95-8. doi: 10.1016/0035-9203(52)90011-4.
8
The primary sore in bejel.非性病性梅毒的原发性溃疡。
Trans R Soc Trop Med Hyg. 1952 Jan;46(1):77-80. doi: 10.1016/0035-9203(52)90008-4.
9
The African child.非洲儿童。
Trans R Soc Trop Med Hyg. 1952 Jan;46(1):13-46. doi: 10.1016/0035-9203(52)90002-3.
10
Repository penicillin therapy of pinta in the Mexican peasant; a clinical and serologic survey.墨西哥农民品他病的青霉素储存疗法;临床与血清学调查。
J Invest Dermatol. 1952 Feb;18(2):137-45. doi: 10.1038/jid.1952.17.