Suppr超能文献

循环血液中肿瘤细胞的鉴别诊断。

The differential diagnosis of tumour cells in circulating blood.

作者信息

ALEXANDER R F, SPRIGGS A I

出版信息

J Clin Pathol. 1960 Sep;13(5):414-24. doi: 10.1136/jcp.13.5.414.

Abstract

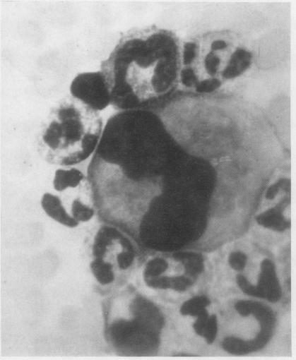
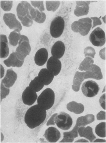
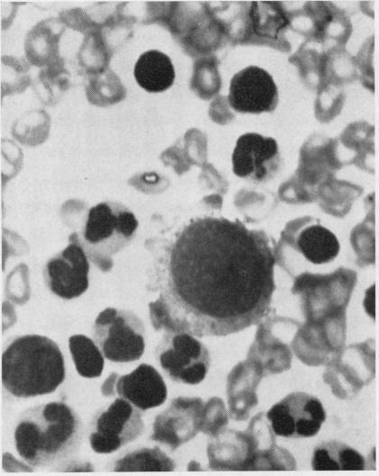
White-cell concentrates were made by a dextran sedimentation technique from the blood of 140 cases of malignant disease and 60 controls. The slides were searched for tumour cells and for other unusual cells with which they might be confused. Several million white cells were scanned in the slides from each case. Acceptable tumour cells were identified in the blood of seven patients, none of whom survived for more than a few months. These cells are illustrated, as well as various other cell types which may have been confused with malignant cells in the past. It is concluded that the cytology of white cell concentrates should be further explored before statistics about the occurrence of circulating tumour cells are accepted.

摘要

采用葡聚糖沉降技术从140例恶性疾病患者及60例对照者的血液中制备白细胞浓缩物。在玻片上查找肿瘤细胞以及可能与之混淆的其他异常细胞。对每个病例的玻片扫描数百万个白细胞。在7名患者的血液中鉴定出了可接受的肿瘤细胞,其中无一例存活超过几个月。文中展示了这些细胞以及过去可能与恶性细胞混淆的各种其他细胞类型。得出的结论是,在接受关于循环肿瘤细胞发生率的统计数据之前,应进一步探索白细胞浓缩物的细胞学。

https://cdn.ncbi.nlm.nih.gov/pmc/blobs/8b1b/480111/e96863c49e84/jclinpath00058-0048-a.jpg

引用本文的文献

2
Advances in Microfluidics for the Implementation of Liquid Biopsy in Clinical Routine.
Adv Exp Med Biol. 2022;1379:553-590. doi: 10.1007/978-3-031-04039-9_22.
3
Liquid Biopsy: A Distinctive Approach to the Diagnosis and Prognosis of Cancer.
Cancer Inform. 2022 Feb 7;21:11769351221076062. doi: 10.1177/11769351221076062. eCollection 2022.
4
Toward a New Era for the Management of Circulating Tumor Cells.
Adv Exp Med Biol. 2021;1286:125-134. doi: 10.1007/978-3-030-55035-6_9.
7
Circulating tumor cells in precision oncology: clinical applications in liquid biopsy and 3D organoid model.
Cancer Cell Int. 2019 Dec 18;19:341. doi: 10.1186/s12935-019-1067-8. eCollection 2019.
8
Liquid biopsy: one cell at a time.
NPJ Precis Oncol. 2019 Oct 2;3:23. doi: 10.1038/s41698-019-0095-0. eCollection 2019.
9
Cytology and cell-block immunohistochemistry of circulating tumour cells.
Cytopathology. 2019 Nov;30(6):620-627. doi: 10.1111/cyt.12770. Epub 2019 Oct 8.

本文引用的文献

2
Trophoblast in the circulating blood during pregnancy.
Am J Obstet Gynecol. 1959 Nov;78:960-73. doi: 10.1016/s0002-9378(16)36649-2.
3
Tumour cells in the blood with special reference to pre- and post-hepatic blood.
Br J Cancer. 1959 Mar;13(1):33-7. doi: 10.1038/bjc.1959.5.
5
Demonstration of carcinoma cells in the blood stream.
J Mt Sinai Hosp N Y. 1959 Mar-Apr;26(2):171-6.
6
Malignant cells in peripheral blood.
N Engl J Med. 1958 Dec 11;259(24):1161-4. doi: 10.1056/NEJM195812112592404.
7
Technique and results of isolation of cancer cells from the circulating blood.
AMA Arch Surg. 1958 Mar;76(3):334-46. doi: 10.1001/archsurg.1958.01280210004002.
8
Clinical and experimental observations of the occurrence and fate of tumor cells in the blood stream.
Ann Surg. 1957 Oct;146(4):580-7. doi: 10.1097/00000658-195710000-00005.

文献AI研究员

20分钟写一篇综述,助力文献阅读效率提升50倍。

立即体验

用中文搜PubMed

大模型驱动的PubMed中文搜索引擎

马上搜索

文档翻译

学术文献翻译模型,支持多种主流文档格式。

立即体验