Suppr超能文献

kit配体的两种细胞相关形式KL-1和KL-2的差异表达与加工

Differential expression and processing of two cell associated forms of the kit-ligand: KL-1 and KL-2.

作者信息

Huang E J, Nocka K H, Buck J, Besmer P

机构信息

Program in Molecular Biology, Sloan Kettering Institute, New York, New York 10021.

出版信息

Mol Biol Cell. 1992 Mar;3(3):349-62. doi: 10.1091/mbc.3.3.349.

Abstract

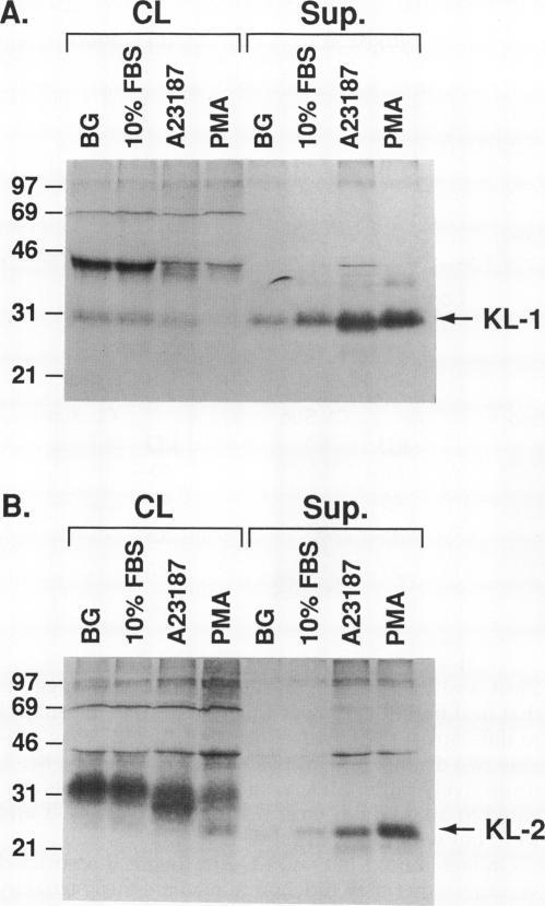
The c-kit ligand, KL, and its receptor, the proto-oncogene c-kit are encoded, respectively, at the steel (Sl) and white spotting (W) loci of the mouse. Both Sl and W mutations affect cellular targets in melanogenesis, gametogenesis, and hematopoiesis during development and in adult life. Although identified as a soluble protein, the predicted amino acid sequence of KL indicates that it is an integral transmembrane protein. We have investigated the relationship between the soluble and the cell associated forms of KL and the regulation of their expression. We show that the soluble form of KL is generated by efficient proteolytic cleavage from a transmembrane precursor, KL-1. An alternatively spliced version of KL-1, KL-2, in which the major proteolytic cleavage site is removed by splicing, is shown to produce a soluble biologically active form of KL as well, although with somewhat diminished efficiency. The protein kinase C inducer phorbol 12-myristate 13-acetate and the calcium ionophore A23187 were shown to induce the cleavage of both KL-1 and KL-2 at similar rates, suggesting that this process can be regulated differentially. Furthermore, proteolytic processing of both the KL-1 and KL-2 transmembrane protein products was shown to occur on the cell surface. The relative abundance of KL-1 and KL-2 is controlled in a tissue-specific manner. Sld, a viable steel allele, is shown to encode a biologically active secreted mutant KL protein. These results indicate an important function for both the soluble and the cell associate form of KL. The respective roles of the soluble and cell associated forms of KL in the proliferative and migratory functions of c-kit are discussed.

摘要

c-kit配体KL及其受体原癌基因c-kit分别由小鼠的钢(Sl)位点和白斑(W)位点编码。Sl和W突变均会影响发育过程及成年期黑色素生成、配子发生和造血过程中的细胞靶点。尽管KL被鉴定为一种可溶性蛋白,但其预测的氨基酸序列表明它是一种完整的跨膜蛋白。我们研究了KL的可溶性形式与细胞相关形式之间的关系及其表达调控。我们发现,KL的可溶性形式是由跨膜前体KL-1通过高效蛋白水解切割产生的。KL-1的一个可变剪接版本KL-2,其主要蛋白水解切割位点通过剪接被去除,也被证明能产生一种可溶性的生物活性KL形式,尽管效率有所降低。蛋白激酶C诱导剂佛波醇12-肉豆蔻酸酯13-乙酸酯和钙离子载体A23187被证明能以相似的速率诱导KL-1和KL-2的切割,这表明该过程可以受到不同的调控。此外,KL-1和KL-2跨膜蛋白产物的蛋白水解加工均发生在细胞表面。KL-1和KL-2的相对丰度以组织特异性方式受到控制。Sld是一个可行的钢等位基因,被证明能编码一种具有生物活性的分泌型突变KL蛋白。这些结果表明KL的可溶性形式和细胞相关形式都具有重要功能。文中还讨论了KL的可溶性形式和细胞相关形式在c-kit的增殖和迁移功能中的各自作用。

https://cdn.ncbi.nlm.nih.gov/pmc/blobs/6b9d/275535/fe9084a49a6a/mbc00061-0109-a.jpg

文献AI研究员

20分钟写一篇综述,助力文献阅读效率提升50倍。

立即体验

用中文搜PubMed

大模型驱动的PubMed中文搜索引擎

马上搜索

文档翻译

学术文献翻译模型,支持多种主流文档格式。

立即体验