Suppr超能文献

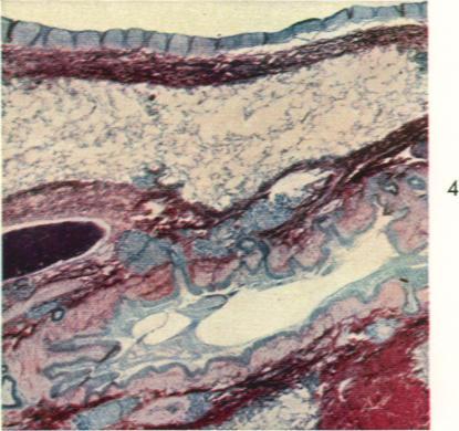
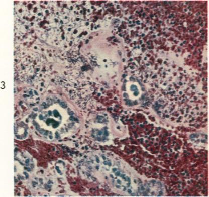
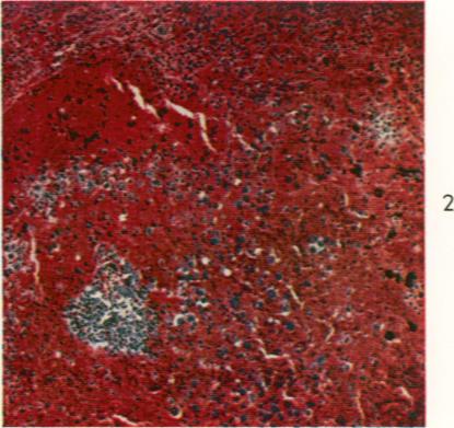
Human inhalation anthrax. A report of three fatal cases.

作者信息

ALBRINK W S, BROOKS S M, BIRON R E, KOPEL M

出版信息

Am J Pathol. 1960 Apr;36(4):457-71.

Abstract
摘要
https://cdn.ncbi.nlm.nih.gov/pmc/blobs/da5f/1942218/f7d025b7e69c/amjpathol00353-0110-a.jpg

文献AI研究员

20分钟写一篇综述,助力文献阅读效率提升50倍。

立即体验

用中文搜PubMed

大模型驱动的PubMed中文搜索引擎

马上搜索

文档翻译

学术文献翻译模型,支持多种主流文档格式。

立即体验