Suppr超能文献

引用本文的文献

1
Malaria-induced renal damage: facts and myths.
Pediatr Nephrol. 2007 May;22(5):626-37. doi: 10.1007/s00467-006-0332-y. Epub 2007 Jan 5.
4
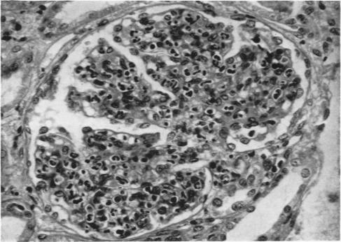
Acute post-streptococcal glomerulonephritis in an 8-month-old girl.
Pediatr Nephrol. 1993 Dec;7(6):737-8. doi: 10.1007/BF01213338.
6
Symptomless haematuria in childhood.
Br Med J. 1970 Jun 20;2(5711):687-92. doi: 10.1136/bmj.2.5711.687.
8
Childhood renal disorders in Nigeria.
Pediatr Nephrol. 1990 Jan;4(1):88-93. doi: 10.1007/BF00858449.
10
Segmental glomerulonephritis.
J Clin Pathol. 1975 Mar;28(3):167-75. doi: 10.1136/jcp.28.3.167.

本文引用的文献

1
THE SERUM ANTISTREPTOLYSIN TITER IN ACUTE GLOMERULONEPHRITIS.
J Clin Invest. 1938 Sep;17(5):631-9. doi: 10.1172/JCI100989.
2
THE ADDIS SEDIMENT COUNT IN SCARLET FEVER.
J Clin Invest. 1933 Jan;12(1):95-103. doi: 10.1172/JCI100498.
3
Antistreptolysin levels in normal infants and young children.
J Clin Pathol. 1961 Sep;14(5):525-7. doi: 10.1136/jcp.14.5.525.
4
Glomerulonephritis in Africans in Uganda.
Br Med J. 1960 Jun 25;1(5190):1930-8. doi: 10.1136/bmj.1.5190.1930.
6
A modified Silverman biopsy needle for use in children.
Lancet. 1962 Mar 31;1(7231):673. doi: 10.1016/s0140-6736(62)92886-6.
9
Observations on acute glomerulonephritis associated with impetigo.
J Pediatr. 1962 May;60:677-85. doi: 10.1016/s0022-3476(62)80093-6.
10
Renal disease in Uganda. A retrospective study.
Br Med J. 1962 Oct 6;2(5309):895-8. doi: 10.1136/bmj.2.5309.895.

文献AI研究员

20分钟写一篇综述,助力文献阅读效率提升50倍。

立即体验

用中文搜PubMed

大模型驱动的PubMed中文搜索引擎

马上搜索

文档翻译

学术文献翻译模型,支持多种主流文档格式。

立即体验