• 文献检索
  • 文档翻译
  • 深度研究
  • 学术资讯
  • Suppr Zotero 插件Zotero 插件
  • 邀请有礼
  • 套餐&价格
  • 历史记录
应用&插件
Suppr Zotero 插件Zotero 插件浏览器插件Mac 客户端Windows 客户端微信小程序
定价
高级版会员购买积分包购买API积分包
服务
文献检索文档翻译深度研究API 文档MCP 服务
关于我们
关于 Suppr公司介绍联系我们用户协议隐私条款
关注我们

Suppr 超能文献

核心技术专利:CN118964589B侵权必究
粤ICP备2023148730 号-1Suppr @ 2026

文献检索

告别复杂PubMed语法,用中文像聊天一样搜索,搜遍4000万医学文献。AI智能推荐,让科研检索更轻松。

立即免费搜索

文件翻译

保留排版,准确专业,支持PDF/Word/PPT等文件格式,支持 12+语言互译。

免费翻译文档

深度研究

AI帮你快速写综述,25分钟生成高质量综述,智能提取关键信息,辅助科研写作。

立即免费体验

先天性神经母细胞瘤

CONGENITAL NEUROBLASTOMA.

作者信息

EVANS A R

出版信息

J Clin Pathol. 1965 Jan;18(1):54-62. doi: 10.1136/jcp.18.1.54.

DOI:10.1136/jcp.18.1.54
PMID:14247705
原文链接:https://pmc.ncbi.nlm.nih.gov/articles/PMC472833/
Abstract

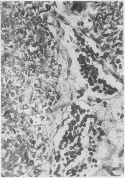
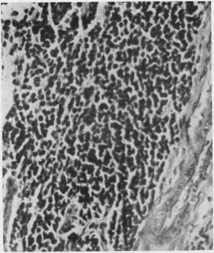
The clinical histories and post-mortem findings in five cases of neuroblastoma are described, and an account given of the microscopic characteristics of the tumours. In four of the cases the tumour was present at birth and was probably so in the fifth case. In only one case was the presence of the malignant tumour a significant factor in causing death. The differential diagnosis of such tumours is discussed.The accumulated evidence of many recorded cases suggests that neuroblastoma, becoming manifest in the early months or weeks of life, and congenital tumour, would be included in such a group, and has an appreciably better prognosis than has this same tumour when it becomes manifest in later childhood. The literature is briefly reviewed to illustrate this aspect of prognosis and possible reasons for it are indicated.

摘要

本文描述了5例神经母细胞瘤的临床病史和尸检结果,并阐述了肿瘤的微观特征。其中4例肿瘤在出生时就已存在,第5例可能也是如此。只有1例中,恶性肿瘤的存在是导致死亡的重要因素。文中讨论了此类肿瘤的鉴别诊断。许多已记录病例的累积证据表明,在生命最初几个月或几周内出现症状的神经母细胞瘤以及先天性肿瘤,应归为同一组,其预后明显优于在儿童后期出现症状的同类型肿瘤。本文简要回顾了相关文献以说明预后的这一方面,并指出了可能的原因。

https://cdn.ncbi.nlm.nih.gov/pmc/blobs/2bf1/472833/005b6877d6d4/jclinpath00354-0066-a.jpg
https://cdn.ncbi.nlm.nih.gov/pmc/blobs/2bf1/472833/b407ff629017/jclinpath00354-0061-a.jpg
https://cdn.ncbi.nlm.nih.gov/pmc/blobs/2bf1/472833/07d77596d96e/jclinpath00354-0061-b.jpg
https://cdn.ncbi.nlm.nih.gov/pmc/blobs/2bf1/472833/c9e81a491ee1/jclinpath00354-0061-c.jpg
https://cdn.ncbi.nlm.nih.gov/pmc/blobs/2bf1/472833/40ca71c846e8/jclinpath00354-0062-a.jpg
https://cdn.ncbi.nlm.nih.gov/pmc/blobs/2bf1/472833/1a3ce7a2f977/jclinpath00354-0062-b.jpg
https://cdn.ncbi.nlm.nih.gov/pmc/blobs/2bf1/472833/195fa6de0653/jclinpath00354-0062-c.jpg
https://cdn.ncbi.nlm.nih.gov/pmc/blobs/2bf1/472833/322f9f29259c/jclinpath00354-0062-d.jpg
https://cdn.ncbi.nlm.nih.gov/pmc/blobs/2bf1/472833/164804487511/jclinpath00354-0063-a.jpg
https://cdn.ncbi.nlm.nih.gov/pmc/blobs/2bf1/472833/5bc66fef8d5c/jclinpath00354-0064-a.jpg
https://cdn.ncbi.nlm.nih.gov/pmc/blobs/2bf1/472833/2f6b219a84b1/jclinpath00354-0065-a.jpg
https://cdn.ncbi.nlm.nih.gov/pmc/blobs/2bf1/472833/005b6877d6d4/jclinpath00354-0066-a.jpg
https://cdn.ncbi.nlm.nih.gov/pmc/blobs/2bf1/472833/b407ff629017/jclinpath00354-0061-a.jpg
https://cdn.ncbi.nlm.nih.gov/pmc/blobs/2bf1/472833/07d77596d96e/jclinpath00354-0061-b.jpg
https://cdn.ncbi.nlm.nih.gov/pmc/blobs/2bf1/472833/c9e81a491ee1/jclinpath00354-0061-c.jpg
https://cdn.ncbi.nlm.nih.gov/pmc/blobs/2bf1/472833/40ca71c846e8/jclinpath00354-0062-a.jpg
https://cdn.ncbi.nlm.nih.gov/pmc/blobs/2bf1/472833/1a3ce7a2f977/jclinpath00354-0062-b.jpg
https://cdn.ncbi.nlm.nih.gov/pmc/blobs/2bf1/472833/195fa6de0653/jclinpath00354-0062-c.jpg
https://cdn.ncbi.nlm.nih.gov/pmc/blobs/2bf1/472833/322f9f29259c/jclinpath00354-0062-d.jpg
https://cdn.ncbi.nlm.nih.gov/pmc/blobs/2bf1/472833/164804487511/jclinpath00354-0063-a.jpg
https://cdn.ncbi.nlm.nih.gov/pmc/blobs/2bf1/472833/5bc66fef8d5c/jclinpath00354-0064-a.jpg
https://cdn.ncbi.nlm.nih.gov/pmc/blobs/2bf1/472833/2f6b219a84b1/jclinpath00354-0065-a.jpg
https://cdn.ncbi.nlm.nih.gov/pmc/blobs/2bf1/472833/005b6877d6d4/jclinpath00354-0066-a.jpg

相似文献

1
CONGENITAL NEUROBLASTOMA.先天性神经母细胞瘤
J Clin Pathol. 1965 Jan;18(1):54-62. doi: 10.1136/jcp.18.1.54.
2
CONGENITAL NEUROBLASTOMA INVOLVING THE PLACENTA. REPORTS OF TWO CASES.累及胎盘的先天性神经母细胞瘤。两例报告。
Pediatrics. 1964 Jul;34:23-31.
3
Congenital suprarenal neuroblastoma.先天性肾上腺神经母细胞瘤。
Acta Med Philipp. 1952 Jul-Sep;9(1):85-91.
4
[ON ADRENAL SYMPATHICOBLASTOMAS IN CHILDHOOD].[论儿童肾上腺交感神经母细胞瘤]
Pediatriia. 1964 May;43:94-7.
5
[ON A CASE OF EMBRYONAL SYMPATHOMA OF THE PEPPER TYPE].[关于一例辣椒型胚胎性交感神经瘤病例]
Pediatria (Napoli). 1963;71:1002-12.
6
[An isolated fetal kidney cyst as a sign of congenital neuroblastoma. A case report and overview of the literature].[孤立性胎儿肾囊肿作为先天性神经母细胞瘤的体征。病例报告及文献综述]
Geburtshilfe Frauenheilkd. 1995 Jun;55(6):347-50. doi: 10.1055/s-2007-1023331.
7
Disseminated intravascular coagulation and congenital neuroblastoma.弥散性血管内凝血与先天性神经母细胞瘤
Acta Paediatr Scand. 1975 Jul;64(4):667-70. doi: 10.1111/j.1651-2227.1975.tb03901.x.
8
[2 cases of congenital neuroblastoma].
Arch Ital Anat Istol Patol. 1969;42(5):409-28.
9
The different features of congenital neuroblastomas: report about the sonographic diagnosis of three cases.先天性神经母细胞瘤的不同特征:三例超声诊断报告。
Ultraschall Med. 2007 Jun;28(3):313-20. doi: 10.1055/s-2006-927020. Epub 2007 Jan 29.
10
Congenital neuroblastoma with liver metastasis presenting with Hashimoto Pritzker disease.伴有桥本-普利茨克病表现的先天性神经母细胞瘤伴肝转移。
Indian J Pathol Microbiol. 2009 Jul-Sep;52(3):374-6. doi: 10.4103/0377-4929.54998.

引用本文的文献

1
Le cancer chez l'enfant.儿童癌症。
Can Fam Physician. 1975 Jan;21(1):149-51.
2
Congenital intraspinal neuroblastoma with intraspinal calcification in the neonatal period: report of a case with a 32-year follow-up.新生儿期先天性脊髓内神经母细胞瘤伴脊髓内钙化:1例32年随访报告
Pediatr Radiol. 1983;13(6):335-8. doi: 10.1007/BF01625961.
3
Congenital neuroblastoma in a fetus with multiple malformations. Metastasis in the umbilical cord as a cause of intrauterin death.患有多种畸形的胎儿中的先天性神经母细胞瘤。脐带转移作为宫内死亡的原因。

本文引用的文献

1
The Transformation of a Malignant Paravertebral Sympathicoblastoma into a Benign Ganglioneuroma.恶性椎旁交感神经母细胞瘤向良性神经节神经瘤的转变。
Am J Pathol. 1927 May;3(3):203-216.7.
2
Roentgen therapy in neuroblastoma; a review of seventy three cases.
Radiology. 1950 May;54(5):679-88. doi: 10.1148/54.5.679.
3
Neuroblastoma; review of the literature and report of six-year cure by roentgen therapy.神经母细胞瘤;文献综述及X线治疗六年治愈报告
AMA Am J Dis Child. 1951 Sep;82(3):325-34.
Virchows Arch A Pathol Anat Histopathol. 1983;400(2):219-22. doi: 10.1007/BF00585503.
4
CT localization of occult secretory tumors in children.
Pediatr Radiol. 1982;12(2):67-71. doi: 10.1007/BF00972434.
5
Combined therapy of neuroblastoma.神经母细胞瘤的联合治疗
Ann Surg. 1968 Jun;167(6):856-66. doi: 10.1097/00000658-196806000-00006.
6
Epidemiological investigations on neuroblastomas in Denmark 1943-1980.1943 - 1980年丹麦神经母细胞瘤的流行病学调查。
Br J Cancer. 1986 Dec;54(6):977-88. doi: 10.1038/bjc.1986.270.
4
MATURATION OF CONGENITAL EXTRA-ADRENAL NEUROBLASTOMA.先天性肾上腺外神经母细胞瘤的成熟
Arch Pathol. 1963 Aug;76:121-5.
5
Studies of catecholamine excretion by children with neural tumors.
J Clin Endocrinol Metab. 1962 Feb;22:126-33. doi: 10.1210/jcem-22-2-126.
6
Neuroblastoma and related tumors.神经母细胞瘤及相关肿瘤。
AMA Arch Pathol. 1957 May;63(5):451-9.
7
Neuroblastoma in childhood; an evaluation of surgical management.儿童神经母细胞瘤;手术治疗评估
Pediatrics. 1955 Nov;16(5):652-7.