• 文献检索
  • 文档翻译
  • 深度研究
  • 学术资讯
  • Suppr Zotero 插件Zotero 插件
  • 邀请有礼
  • 套餐&价格
  • 历史记录
应用&插件
Suppr Zotero 插件Zotero 插件浏览器插件Mac 客户端Windows 客户端微信小程序
定价
高级版会员购买积分包购买API积分包
服务
文献检索文档翻译深度研究API 文档MCP 服务
关于我们
关于 Suppr公司介绍联系我们用户协议隐私条款
关注我们

Suppr 超能文献

核心技术专利:CN118964589B侵权必究
粤ICP备2023148730 号-1Suppr @ 2026

文献检索

告别复杂PubMed语法,用中文像聊天一样搜索,搜遍4000万医学文献。AI智能推荐,让科研检索更轻松。

立即免费搜索

文件翻译

保留排版,准确专业,支持PDF/Word/PPT等文件格式,支持 12+语言互译。

免费翻译文档

深度研究

AI帮你快速写综述,25分钟生成高质量综述,智能提取关键信息,辅助科研写作。

立即免费体验

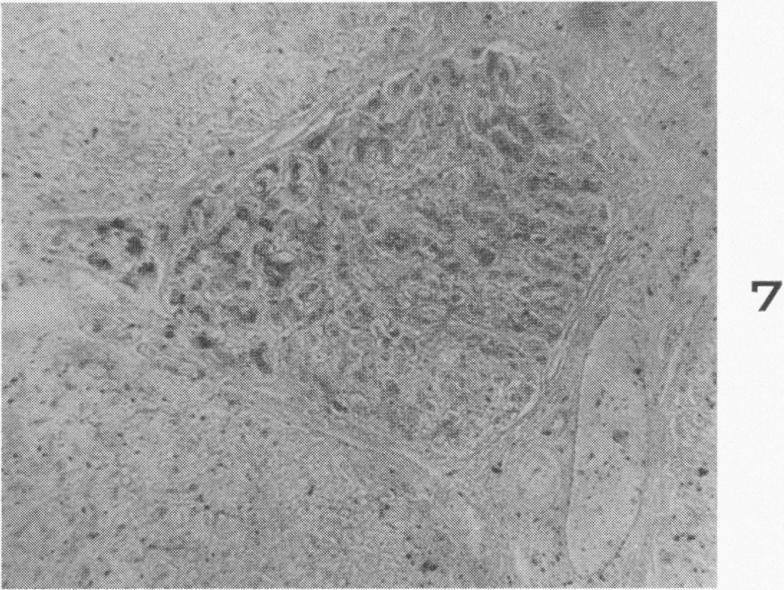
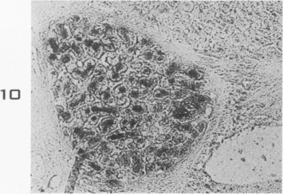
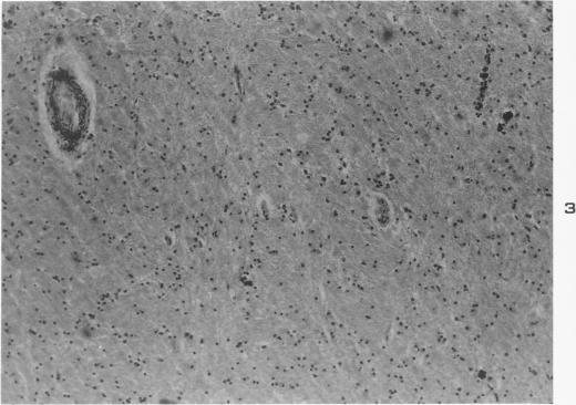
Histochemical demonstration of copper in a case of hepatolenticular degeneration.

作者信息

GREEN C L

出版信息

Am J Pathol. 1955 May-Jun;31(3):545-53.

PMID:14376512
原文链接:https://pmc.ncbi.nlm.nih.gov/articles/PMC1942672/
Abstract
摘要
https://cdn.ncbi.nlm.nih.gov/pmc/blobs/24af/1942672/5c71faed838e/amjpathol00697-0164-h.jpg
https://cdn.ncbi.nlm.nih.gov/pmc/blobs/24af/1942672/3f47165764a8/amjpathol00697-0162-a.jpg
https://cdn.ncbi.nlm.nih.gov/pmc/blobs/24af/1942672/435b73087ff0/amjpathol00697-0162-b.jpg
https://cdn.ncbi.nlm.nih.gov/pmc/blobs/24af/1942672/ee164b3ee049/amjpathol00697-0162-c.jpg
https://cdn.ncbi.nlm.nih.gov/pmc/blobs/24af/1942672/5f0cccabd265/amjpathol00697-0164-a.jpg
https://cdn.ncbi.nlm.nih.gov/pmc/blobs/24af/1942672/33ee0b677051/amjpathol00697-0164-b.jpg
https://cdn.ncbi.nlm.nih.gov/pmc/blobs/24af/1942672/ca9293f3f5f5/amjpathol00697-0164-c.jpg
https://cdn.ncbi.nlm.nih.gov/pmc/blobs/24af/1942672/e20942386586/amjpathol00697-0164-d.jpg
https://cdn.ncbi.nlm.nih.gov/pmc/blobs/24af/1942672/da2564255427/amjpathol00697-0164-e.jpg
https://cdn.ncbi.nlm.nih.gov/pmc/blobs/24af/1942672/338fab499621/amjpathol00697-0164-f.jpg
https://cdn.ncbi.nlm.nih.gov/pmc/blobs/24af/1942672/c951532c6ad3/amjpathol00697-0164-g.jpg
https://cdn.ncbi.nlm.nih.gov/pmc/blobs/24af/1942672/5c71faed838e/amjpathol00697-0164-h.jpg
https://cdn.ncbi.nlm.nih.gov/pmc/blobs/24af/1942672/3f47165764a8/amjpathol00697-0162-a.jpg
https://cdn.ncbi.nlm.nih.gov/pmc/blobs/24af/1942672/435b73087ff0/amjpathol00697-0162-b.jpg
https://cdn.ncbi.nlm.nih.gov/pmc/blobs/24af/1942672/ee164b3ee049/amjpathol00697-0162-c.jpg
https://cdn.ncbi.nlm.nih.gov/pmc/blobs/24af/1942672/5f0cccabd265/amjpathol00697-0164-a.jpg
https://cdn.ncbi.nlm.nih.gov/pmc/blobs/24af/1942672/33ee0b677051/amjpathol00697-0164-b.jpg
https://cdn.ncbi.nlm.nih.gov/pmc/blobs/24af/1942672/ca9293f3f5f5/amjpathol00697-0164-c.jpg
https://cdn.ncbi.nlm.nih.gov/pmc/blobs/24af/1942672/e20942386586/amjpathol00697-0164-d.jpg
https://cdn.ncbi.nlm.nih.gov/pmc/blobs/24af/1942672/da2564255427/amjpathol00697-0164-e.jpg
https://cdn.ncbi.nlm.nih.gov/pmc/blobs/24af/1942672/338fab499621/amjpathol00697-0164-f.jpg
https://cdn.ncbi.nlm.nih.gov/pmc/blobs/24af/1942672/c951532c6ad3/amjpathol00697-0164-g.jpg
https://cdn.ncbi.nlm.nih.gov/pmc/blobs/24af/1942672/5c71faed838e/amjpathol00697-0164-h.jpg

相似文献

1
Histochemical demonstration of copper in a case of hepatolenticular degeneration.肝豆状核变性病例中铜的组织化学显示
Am J Pathol. 1955 May-Jun;31(3):545-53.
2
The intrahepatic distribution of copper in relation to the pathogenesis of hepatolenticular degeneration.
AMA Arch Pathol. 1957 Oct;64(4):464-79.
3
[The content of copper in the tissues of patients with hepatolenticular degeneration].[肝豆状核变性患者组织中的铜含量]
Zh Nevropatol Psikhiatr Im S S Korsakova. 1960;60:1141-5.
4
[Copper in hepatolenticular degeneration (H.L.D.)].[肝豆状核变性(H.L.D.)中的铜]
Acta Gastroenterol Latinoam. 1971 Jan-Mar;3(1):27-8.
5
The effect of drugs upon the copper metabolism in hepatolenticular degeneration and in normal subjects.药物对肝豆状核变性患者及正常受试者铜代谢的影响。
J Lab Clin Med. 1954 May;43(5):774-84.
6
[Hepatolenticular degeneration. Present status of chemical pathology and treatment. I. Normal metabolism of copper and disorder of copper metabolism in hepatolenticular degeneration].
Presse Med (1893). 1962 Apr 28;70:1027-30.
7
[Morpholine-dithiocarbamat: a new histochemical method for the demonstration of copper in tissue in Morbus Wilson (author's transl)].
Mikroskopie. 1977 Oct;33(7-8):185-9.
8
[The behavior of serum copper and p-polyphenoloxydase activity in clinical and subclinical forms of hepatolenticular diseases].[肝豆状核变性临床及亚临床形式中血清铜及对-多酚氧化酶活性的表现]
Wien Z Nervenheilkd Grenzgeb. 1954;9(3):312-9.
9
Studies on the pathogenesis of hepatolenticular degeneration. II. Cytochemical methods for the localization of copper.肝豆状核变性发病机制的研究。II. 铜定位的细胞化学方法。
Arch Pathol. 1969 Apr;87(4):370-9.
10
Studies on copper metabolism. XIII. Hepatolenticular degeneration.铜代谢研究。十三。肝豆状核变性。
J Clin Invest. 1954 Nov;33(11):1487-501. doi: 10.1172/JCI103027.

引用本文的文献

1
Fluorescent sensors for measuring metal ions in living systems.用于测量生物系统中金属离子的荧光传感器。
Chem Rev. 2014 Apr 23;114(8):4564-601. doi: 10.1021/cr400546e. Epub 2014 Mar 3.
2
In situ imaging of metals in cells and tissues.细胞和组织中金属的原位成像。
Chem Rev. 2009 Oct;109(10):4780-827. doi: 10.1021/cr900223a.
3
[A histochemical contribution to metal deposition in the Kayser--Fleischer corneal ring].[关于凯泽-弗莱舍尔角膜环中金属沉积的组织化学研究贡献]
Albrecht Von Graefes Arch Ophthalmol. 1961;164:220-30. doi: 10.1007/BF00682393.
4
[Inflammatory cerebral sclerosis with adrenal cortex insufficiency. With a contribution to the histochemistry of copper deposits in the liver].
Dtsch Z Nervenheilkd. 1960;180:654-64.
5
Some remarks on the morphology and histochemistry of the so-called Opalski cells.
Acta Neuropathol. 1965 Jul 1;4(6):659-68. doi: 10.1007/BF00691216.
6
A highly sensitive method for the histochemical demonstration of copper in normal rat tissues.一种用于正常大鼠组织中铜的组织化学显示的高灵敏度方法。
Histochemistry. 1986;85(4):349-52. doi: 10.1007/BF00493488.
7
Histochemical demonstration of copper in normal rat brain and spinal cord. Evidence of localization in glial cells.正常大鼠脑和脊髓中铜的组织化学显示。铜在神经胶质细胞中的定位证据。
Histochemistry. 1986;85(4):341-7. doi: 10.1007/BF00493487.