Suppr超能文献

再支配大鼠骨骼肌中的肌-肌连接

Myomuscular junctions in re-innervated rat skeletal muscle.

作者信息

Bormioli S P, Schiaffino S

出版信息

J Anat. 1977 Nov;124(Pt 2):359-70.

Abstract

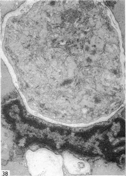
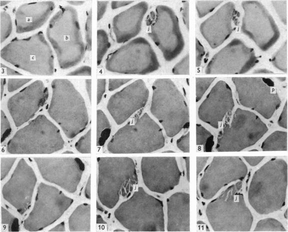
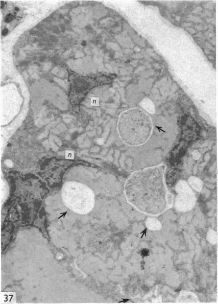
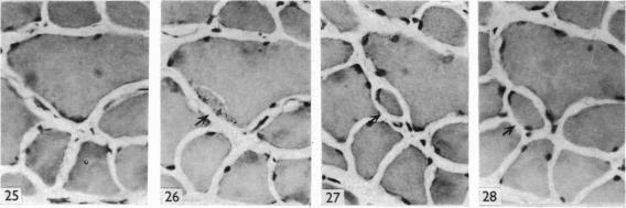
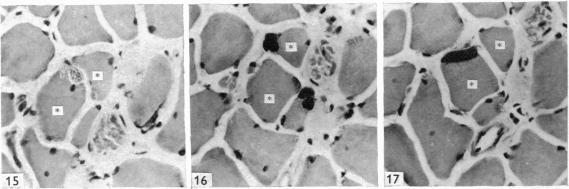
Re-innervated extensor digitorum longus, soleus and plantaris muscles of the rat were studied after denervation performed at various postnatal ages. The muscle fibres, which normally run from tendon to tendon as independent units, were found to be very frequently connected by myomuscular junctions, both in the form of terminal insertions of one fibre into another and of lateral bridges which may join two or more muscle fibres at one or more levels. Positive reaction for AChE activity was demonstrated at the level of the junctions. Incubation for myosin ATPase activity showed that myomuscular junctions are only found between fibres of the same histochemical type, which in re-innervated muscles are usually aggregated in 'type groupings'. Ultrastructural features were similar in both forms of myomuscular junctions. The appearance is that of an interdigitation of muscle projections from neighbouring fibres, each projection being covered by a basement membrane with attached collagen fibrils. The finger-like projections at their endings contain vesicles and elongated cisternae filled with granular dense material. It is postulated that the synchronous activity of neighbouring fibres within the compact motor units of reinnervated muscles is a causal factor initiating the formation of myomuscular junctions.

摘要

在不同出生后年龄进行去神经支配后,对大鼠重新神经支配的趾长伸肌、比目鱼肌和跖肌进行了研究。通常作为独立单元从肌腱延伸至肌腱的肌纤维,被发现经常通过肌-肌连接相连,其形式既有一根纤维末端插入另一根纤维,也有横向桥接,横向桥接可在一个或多个水平连接两根或更多肌纤维。在连接部位检测到乙酰胆碱酯酶(AChE)活性呈阳性反应。肌球蛋白ATP酶活性孵育显示,肌-肌连接仅在相同组织化学类型的纤维之间发现,在重新神经支配的肌肉中,这些纤维通常聚集形成“类型分组”。两种形式的肌-肌连接的超微结构特征相似。外观呈现为相邻纤维的肌肉突起相互交错,每个突起被带有附着胶原纤维的基底膜覆盖。指状突起的末端含有囊泡和充满颗粒状致密物质的伸长池。据推测,重新神经支配肌肉的紧密运动单位内相邻纤维的同步活动是引发肌-肌连接形成的一个因果因素。

https://cdn.ncbi.nlm.nih.gov/pmc/blobs/d4c1/1234840/46b8f518d462/janat00363-0092-a.jpg

文献AI研究员

20分钟写一篇综述,助力文献阅读效率提升50倍。

立即体验

用中文搜PubMed

大模型驱动的PubMed中文搜索引擎

马上搜索

文档翻译

学术文献翻译模型,支持多种主流文档格式。

立即体验