Suppr超能文献

严重急性呼吸综合征冠状病毒S糖蛋白:表达与功能特性

The SARS-CoV S glycoprotein: expression and functional characterization.

作者信息

Xiao Xiaodong, Chakraborti Samitabh, Dimitrov Anthony S, Gramatikoff Kosi, Dimitrov Dimiter S

机构信息

Laboratory of Experimental and Computational Biology, CCR, NCI-Frederick, NIH, Frederick, MD 21702-1201, USA.

出版信息

Biochem Biophys Res Commun. 2003 Dec 26;312(4):1159-64. doi: 10.1016/j.bbrc.2003.11.054.

Abstract

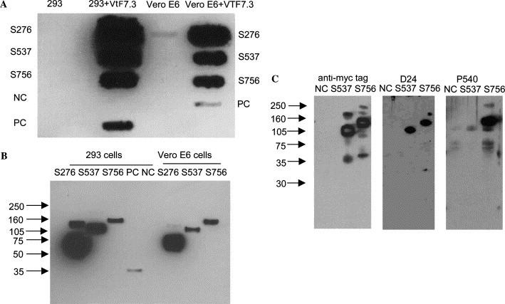
We have cloned, expressed, and characterized the full-length and various soluble fragments of the SARS-CoV (Tor2 isolate) S glycoprotein. Cells expressing S fused with receptor-expressing cells at neutral pH suggesting that the recombinant glycoprotein is functional, its membrane fusogenic activity does not require other viral proteins, and that low pH is not required for triggering membrane fusion; fusion was not observed at low receptor concentrations. S and its soluble ectodomain, S(e), were not cleaved to any significant degree. They ran at about 180-200kDa in SDS gels suggesting post-translational modifications as predicted by previous computer analysis and observed for other coronaviruses. Fragments containing the N-terminal amino acid residues 17-537 and 272-537 but not 17-276 bound specifically to Vero E6 cells and purified soluble receptor, ACE2, recently identified by M. Farzan and co-workers [Nature 426 (2003) 450-454]. Together with data for inhibition of binding by antibodies developed against peptides from S, these findings suggest that the receptor-binding domain is located between amino acid residues 303 and 537. These results also confirm that ACE2 is a functional receptor for the SARS virus and may help in the elucidation of the mechanisms of SARS-CoV entry and in the development of vaccine immunogens and entry inhibitors.

摘要

我们已经克隆、表达并鉴定了严重急性呼吸综合征冠状病毒(Tor2分离株)S糖蛋白的全长及各种可溶性片段。在中性pH条件下,表达S的细胞与表达受体的细胞融合,这表明重组糖蛋白具有功能,其膜融合活性不需要其他病毒蛋白,并且触发膜融合不需要低pH值;在低受体浓度下未观察到融合现象。S及其可溶性胞外域S(e)未发生明显程度的切割。它们在SDS凝胶中迁移至约180 - 200 kDa处,表明存在如先前计算机分析所预测并在其他冠状病毒中观察到的翻译后修饰。包含N端氨基酸残基17 - 537和272 - 537但不包含17 - 276的片段能特异性结合Vero E6细胞和纯化的可溶性受体血管紧张素转换酶2(ACE2),该受体最近由M. 法尔赞及其同事鉴定[《自然》426 (2003) 450 - 454]。结合针对S肽段产生的抗体对结合的抑制数据,这些发现表明受体结合域位于氨基酸残基303和537之间。这些结果还证实ACE2是SARS病毒的功能性受体,可能有助于阐明SARS-CoV进入细胞的机制以及疫苗免疫原和进入抑制剂的开发。

https://cdn.ncbi.nlm.nih.gov/pmc/blobs/db7c/7111010/c021d7d2e036/gr1.jpg

文献AI研究员

20分钟写一篇综述,助力文献阅读效率提升50倍。

立即体验

用中文搜PubMed

大模型驱动的PubMed中文搜索引擎

马上搜索

文档翻译

学术文献翻译模型,支持多种主流文档格式。

立即体验