Suppr超能文献

载脂蛋白AI突变Arg-60导致常染色体显性淀粉样变性。

Apolipoprotein AI mutation Arg-60 causes autosomal dominant amyloidosis.

作者信息

Soutar A K, Hawkins P N, Vigushin D M, Tennent G A, Booth S E, Hutton T, Nguyen O, Totty N F, Feest T G, Hsuan J J

机构信息

Department of Medicine, Royal Postgraduate Medical School, Hammersmith Hospital, London, United Kingdom.

出版信息

Proc Natl Acad Sci U S A. 1992 Aug 15;89(16):7389-93. doi: 10.1073/pnas.89.16.7389.

Abstract

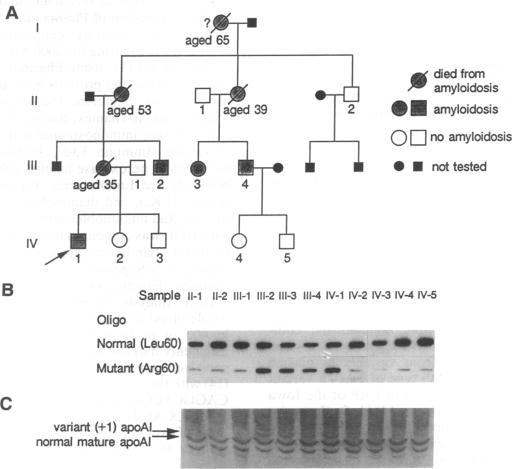
A mutation in the gene for apolipoprotein AI (apoAI) was identified in an English family with autosomal dominant non-neuropathic systemic amyloidosis. The plasma of all affected individuals contained a variant apoAI with one additional charge, as well as normal apoAI. The propositus was heterozygous; the coding region of his apoAI gene contained both the normal sequence and a single-base substitution changing the codon for residue 60 of the mature protein from CTG (leucine) to CGG (arginine). Allele-specific oligonucleotide hybridization showed that the other affected individuals were also heterozygotes and that there was concordance of the mutant allele with the presence of variant plasma apoAI. Amyloid fibrils isolated from the spleen of the propositus consisted of proteins that ran as a doublet with an apparent mass of approximately 10 kDa in SDS/PAGE and a trace band at 28 kDa. Electrospray mass spectrometry of the purified 10-kDa material revealed components with mass corresponding to the N-terminal 88, 92, 93, and 94 residues of apoAI each with substitution of arginine for leucine. These observations were confirmed by direct protein sequencing and laser desorption time-of-flight mass analysis. No material with the normal apoAI sequence was detected. The trace band at 28 kDa yielded the N-terminal sequence of mature apoAI, indicating that intact or minimally degraded apoAI was also present in the fibril preparation. Discovery of this mutation and the detailed characterization of the apoAI fragments that form the amyloid fibrils open additional avenues for investigation of amyloidogenesis.

摘要

在一个患有常染色体显性非神经性系统性淀粉样变性的英国家庭中,发现了载脂蛋白AI(apoAI)基因的一个突变。所有患病个体的血浆中都含有一种带一个额外电荷的变异apoAI以及正常的apoAI。先证者是杂合子;他的apoAI基因编码区同时包含正常序列和一个单碱基替换,该替换将成熟蛋白第60位残基的密码子从CTG(亮氨酸)变为CGG(精氨酸)。等位基因特异性寡核苷酸杂交显示,其他患病个体也是杂合子,并且突变等位基因与变异血浆apoAI的存在一致。从先证者脾脏分离出的淀粉样纤维由在SDS/PAGE中呈现约10 kDa双峰和28 kDa微量条带的蛋白质组成。对纯化的10 kDa物质进行电喷雾质谱分析,结果显示其成分的质量对应于apoAI的N端88、92、93和94位残基,每个残基的亮氨酸都被精氨酸取代。这些观察结果通过直接蛋白质测序和激光解吸飞行时间质谱分析得到证实。未检测到具有正常apoAI序列的物质。28 kDa的微量条带给出了成熟apoAI的N端序列,表明原纤维制剂中也存在完整或降解程度最低的apoAI。这一突变的发现以及形成淀粉样纤维的apoAI片段的详细特征为淀粉样变发生机制的研究开辟了新的途径。

https://cdn.ncbi.nlm.nih.gov/pmc/blobs/5af2/49715/63070ab02953/pnas01090-0112-a.jpg

文献检索

告别复杂PubMed语法,用中文像聊天一样搜索,搜遍4000万医学文献。AI智能推荐,让科研检索更轻松。

立即免费搜索

文件翻译

保留排版,准确专业,支持PDF/Word/PPT等文件格式,支持 12+语言互译。

免费翻译文档

深度研究

AI帮你快速写综述,25分钟生成高质量综述,智能提取关键信息,辅助科研写作。

立即免费体验