• 文献检索
  • 文档翻译
  • 深度研究
  • 学术资讯
  • Suppr Zotero 插件Zotero 插件
  • 邀请有礼
  • 套餐&价格
  • 历史记录
应用&插件
Suppr Zotero 插件Zotero 插件浏览器插件Mac 客户端Windows 客户端微信小程序
定价
高级版会员购买积分包购买API积分包
服务
文献检索文档翻译深度研究API 文档MCP 服务
关于我们
关于 Suppr公司介绍联系我们用户协议隐私条款
关注我们

Suppr 超能文献

核心技术专利:CN118964589B侵权必究
粤ICP备2023148730 号-1Suppr @ 2026

文献检索

告别复杂PubMed语法,用中文像聊天一样搜索,搜遍4000万医学文献。AI智能推荐,让科研检索更轻松。

立即免费搜索

文件翻译

保留排版,准确专业,支持PDF/Word/PPT等文件格式,支持 12+语言互译。

免费翻译文档

深度研究

AI帮你快速写综述,25分钟生成高质量综述,智能提取关键信息,辅助科研写作。

立即免费体验

初诊时,不到10%的鼻型NK/T细胞淋巴瘤患者骨髓受累。

Bone marrow is involved in less than 10% of patients with nasal-type NK/T cell lymphoma at initial diagnosis.

作者信息

Sung Chang Okh, Ko Young Hyeh

机构信息

Department of Pathology, Samsung Medical Center, Sungkyunkwan University, School of Medicine, Seoul, Korea.

出版信息

J Korean Med Sci. 2004 Apr;19(2):229-33. doi: 10.3346/jkms.2004.19.2.229.

DOI:10.3346/jkms.2004.19.2.229
PMID:15082896
原文链接:https://pmc.ncbi.nlm.nih.gov/articles/PMC2822304/
Abstract

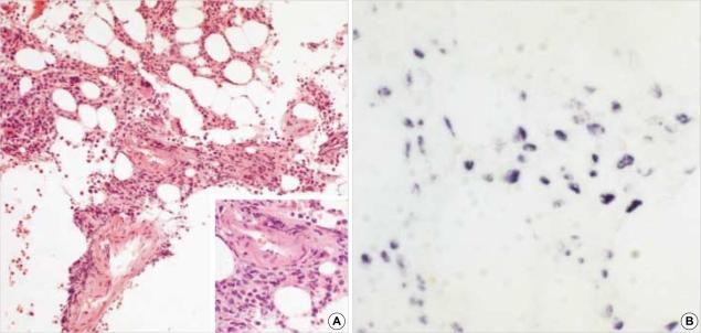
To evaluate the frequency of bone marrow involvement by nasal-type NK/T cell lymphoma, we retrospectively studied biopsy specimens from 40 patients by EBV in situ hybridization (ISH). Three patients had marrow involvement at initial diagnosis (7.5%). In one patient (1/40, 2.5%), the disease in bone marrow was recognized by routine morphological assessment, while two other patients had minimal involvement of lymphoma cells which was recognized only by EBV in situ hybridization (2/40, 5%). Two patients had a disseminated disease at diagnosis and died 6 days and 214 days after diagnosis. One patient had diffuse colonic lesion and died 82 days later. In conclusion, marrow involvement in nasal NK/T cell lymphoma is infrequent at initial diagnosis, and EBV ISH is a useful technique for identifying the minor subgroup of patients which have easily overlooked neoplastic involvement.

摘要

为评估鼻型NK/T细胞淋巴瘤骨髓受累的频率,我们通过EBV原位杂交(ISH)对40例患者的活检标本进行了回顾性研究。3例患者在初诊时出现骨髓受累(7.5%)。1例患者(1/40,2.5%)通过常规形态学评估诊断出骨髓疾病,而另外2例患者仅有少量淋巴瘤细胞受累,仅通过EBV原位杂交才能识别(2/40,5%)。2例患者在诊断时已有播散性疾病,分别在诊断后6天和214天死亡。1例患者有弥漫性结肠病变,82天后死亡。总之,鼻型NK/T细胞淋巴瘤初诊时骨髓受累并不常见,EBV原位杂交是识别易被忽视的肿瘤受累患者小亚组的有用技术。

https://cdn.ncbi.nlm.nih.gov/pmc/blobs/a713/2822304/b0fab22c8620/jkms-19-229-g002.jpg
https://cdn.ncbi.nlm.nih.gov/pmc/blobs/a713/2822304/87f16ff6946a/jkms-19-229-g001.jpg
https://cdn.ncbi.nlm.nih.gov/pmc/blobs/a713/2822304/b0fab22c8620/jkms-19-229-g002.jpg
https://cdn.ncbi.nlm.nih.gov/pmc/blobs/a713/2822304/87f16ff6946a/jkms-19-229-g001.jpg
https://cdn.ncbi.nlm.nih.gov/pmc/blobs/a713/2822304/b0fab22c8620/jkms-19-229-g002.jpg

相似文献

1
Bone marrow is involved in less than 10% of patients with nasal-type NK/T cell lymphoma at initial diagnosis.初诊时,不到10%的鼻型NK/T细胞淋巴瘤患者骨髓受累。
J Korean Med Sci. 2004 Apr;19(2):229-33. doi: 10.3346/jkms.2004.19.2.229.
2
Bone marrow that is positive for Epstein-Barr virus encoded RNA-1 by in situ hybridization is related with a poor prognosis in patients with extranodal natural killer/T-cell lymphoma, nasal type.通过原位杂交检测到爱泼斯坦-巴尔病毒编码RNA-1呈阳性的骨髓与鼻型结外自然杀伤/T细胞淋巴瘤患者的不良预后相关。
Haematologica. 2005 Aug;90(8):1063-9.
3
Bone marrow involvement by nasal NK cell lymphoma at diagnosis is uncommon.鼻型NK细胞淋巴瘤诊断时骨髓受累并不常见。
Am J Clin Pathol. 2001 Feb;115(2):266-70. doi: 10.1309/E5PR-6A9R-Q02N-8QVW.
4
Nasal natural killer/T-cell lymphoma and its association with type "i"/XhoI loss strain Epstein-Barr virus in Chile.智利的鼻型自然杀伤/T细胞淋巴瘤及其与I型/XhoI缺失株爱泼斯坦-巴尔病毒的关联。
J Clin Pathol. 2007 Jun;60(6):656-60. doi: 10.1136/jcp.2005.034199. Epub 2006 Jun 14.
5
Nodal presentation of nasal-type NK/T-cell lymphoma. Report of two cases with fine needle aspiration cytology findings.鼻型NK/T细胞淋巴瘤的结内表现。两例细针穿刺细胞学检查结果报告。
Acta Cytol. 2003 Nov-Dec;47(6):1063-8. doi: 10.1159/000326648.
6
Effect of positive bone marrow EBV in situ hybridization in staging and survival of localized extranodal natural killer/T-cell lymphoma, nasal-type.阳性骨髓EBV原位杂交在局限性结外鼻型自然杀伤/T细胞淋巴瘤分期及生存中的作用
Clin Cancer Res. 2007 Jun 1;13(11):3250-4. doi: 10.1158/1078-0432.CCR-06-2373.
7
Classification of cell lineage and anatomical site, and prognosis of extranodal T-cell lymphoma -- natural killer cell, cytotoxic T lymphocyte, and non-NK/CTL types.结外T细胞淋巴瘤——自然杀伤细胞、细胞毒性T淋巴细胞及非NK/CTL型的细胞谱系、解剖部位分类及预后
Virchows Arch. 2002 Apr;440(4):425-35. doi: 10.1007/s00428-001-0545-1. Epub 2001 Dec 6.
8
Flow cytometric immunophenotyping is of great value to diagnosis of natural killer cell neoplasms involving bone marrow and peripheral blood.流式细胞免疫表型分析对涉及骨髓和外周血的自然杀伤细胞肿瘤的诊断具有重要价值。
Ann Hematol. 2013 Jan;92(1):89-96. doi: 10.1007/s00277-012-1574-3. Epub 2012 Sep 20.
9
Nodal T/NK-cell lymphoma of nasal type: a clinicopathological study of six cases.鼻型结外T/NK细胞淋巴瘤:6例临床病理研究
Histopathology. 2008 Apr;52(5):585-96. doi: 10.1111/j.1365-2559.2008.02997.x.
10
T-cell and T/natural killer-cell lymphomas involving ocular and ocular adnexal tissues: a clinicopathologic, immunohistochemical, and molecular study of seven cases.累及眼及眼附属器组织的T细胞和T/自然杀伤细胞淋巴瘤:7例临床病理、免疫组化及分子研究
Ophthalmology. 1999 Nov;106(11):2109-20. doi: 10.1016/S0161-6420(99)90492-X.

引用本文的文献

1
Genetic and clinical distinction between aggressive NK-cell leukemia and extranodal NK/T-cell lymphoma with bone marrow involvement.侵袭性NK细胞白血病与累及骨髓的结外NK/T细胞淋巴瘤的遗传学及临床鉴别
Sci Rep. 2025 Jul 1;15(1):21621. doi: 10.1038/s41598-025-05843-y.
2
Diagnostic and prognostic value of pretreatment PET/CT in extranodal natural killer/T-cell lymphoma: a retrospective multicenter study.术前 PET/CT 对结外 NK/T 细胞淋巴瘤的诊断和预后价值:一项回顾性多中心研究。
J Cancer Res Clin Oncol. 2023 Sep;149(11):8863-8875. doi: 10.1007/s00432-023-04828-6. Epub 2023 May 6.
3
Aggressive natural killer cell leukemia or extranodal NK/T cell lymphoma? a case with nasal involvement.

本文引用的文献

1
Natural killer cell malignancies: clinicopathologic and molecular features.自然杀伤细胞恶性肿瘤:临床病理及分子特征
Histol Histopathol. 2002 Apr;17(2):539-54. doi: 10.14670/HH-17.539.
2
Nasal natural killer cell/T-cell lymphoma showing cellular morphology mimicking normal lymphocytes.
Arch Pathol Lab Med. 2002 May;126(5):602-5. doi: 10.5858/2002-126-0602-NNKCTC.
3
Bone marrow involvement by nasal NK cell lymphoma at diagnosis is uncommon.鼻型NK细胞淋巴瘤诊断时骨髓受累并不常见。
侵袭性自然杀伤细胞白血病还是结外NK/T细胞淋巴瘤?1例鼻腔受累病例。
Diagn Pathol. 2017 Jun 17;12(1):46. doi: 10.1186/s13000-017-0636-1.
4
Involvement of bone marrow in lymphoma: pathological investigation in a single-center from northern China.淋巴瘤骨髓受累情况:来自中国北方单中心的病理研究
Int J Clin Exp Pathol. 2015 Jun 1;8(6):7102-11. eCollection 2015.
5
Extranodal NK/T-cell lymphoma, nasal type extensively involving the bone marrow.结外NK/T细胞淋巴瘤,鼻型,广泛累及骨髓。
Int J Clin Exp Pathol. 2011;4(7):713-7. Epub 2011 Oct 10.
6
Clinicopathological study on peripheral T-cell non-Hodgkin lymphoma with bone marrow involvement: a retrospective analysis from China.伴有骨髓累及的外周 T 细胞非霍奇金淋巴瘤的临床病理研究:来自中国的回顾性分析。
Int J Hematol. 2009 Oct;90(3):303-310. doi: 10.1007/s12185-009-0390-6. Epub 2009 Sep 2.
7
Epstein-Barr virus-positivity in tumor has no correlation with the clinical outcomes of patients with angioimmunoblastic T-cell lymphoma.肿瘤中爱泼斯坦-巴尔病毒阳性与血管免疫母细胞性T细胞淋巴瘤患者的临床结局无关。
Korean J Intern Med. 2008 Mar;23(1):30-6. doi: 10.3904/kjim.2008.23.1.30.
Am J Clin Pathol. 2001 Feb;115(2):266-70. doi: 10.1309/E5PR-6A9R-Q02N-8QVW.
4
Clinicopathologic and genotypic study of extranodal nasal-type natural killer/T-cell lymphoma and natural killer precursor lymphoma among Koreans.韩国人结外鼻型自然杀伤/T细胞淋巴瘤和自然杀伤前体细胞淋巴瘤的临床病理及基因分型研究
Cancer. 2000 Nov 15;89(10):2106-16. doi: 10.1002/1097-0142(20001115)89:10<2106::aid-cncr11>3.0.co;2-g.
5
Histological and immunophenotypic profile of nasal NK/T cell lymphomas from Peru: high prevalence of p53 overexpression.秘鲁鼻NK/T细胞淋巴瘤的组织学和免疫表型特征:p53过表达的高发生率
Hum Pathol. 1999 Jul;30(7):849-55. doi: 10.1016/s0046-8177(99)90147-8.
6
Primary non-Hodgkin's lymphoma of the nose and nasopharynx: clinical features, tumor immunophenotype, and treatment outcome in 113 patients.鼻及鼻咽原发性非霍奇金淋巴瘤:113例患者的临床特征、肿瘤免疫表型及治疗结果
J Clin Oncol. 1998 Jan;16(1):70-7. doi: 10.1200/JCO.1998.16.1.70.
7
CD56+ NK lymphomas: clinicopathological features and prognosis.
Br J Haematol. 1997 Jun;97(4):821-9. doi: 10.1046/j.1365-2141.1997.1462962.x.
8
A clinical evaluation of the International Lymphoma Study Group classification of non-Hodgkin's lymphoma. The Non-Hodgkin's Lymphoma Classification Project.国际淋巴瘤研究组非霍奇金淋巴瘤分类的临床评估。非霍奇金淋巴瘤分类项目。
Blood. 1997 Jun 1;89(11):3909-18.
9
A study of the possible etiologic association of Epstein-Barr virus with reactive hemophagocytic syndrome in Hong Kong Chinese.一项关于香港华人中爱泼斯坦-巴尔病毒与反应性噬血细胞综合征可能病因关联的研究。
Hum Pathol. 1996 Nov;27(11):1239-42. doi: 10.1016/s0046-8177(96)90321-4.
10
Detection of Epstein-Barr viral RNA in malignant lymphomas of the upper aerodigestive tract.
Am J Surg Pathol. 1994 Sep;18(9):938-46. doi: 10.1097/00000478-199409000-00009.