Suppr超能文献

脑梗死作为肾病综合征的一种并发症:一例病例报告并文献复习

Cerebral infarction as a complication of nephrotic syndrome: a case report with a review of the literature.

作者信息

Yun Yeo Wook, Chung Sungjin, You Sun-Jin, Lee Dong Kyu, Lee Kyu-Yong, Han Sang-Woong, Jee Heng Ok, Kim Ho-Jung

机构信息

Department of Internal Medicine, Hanyang University, Seoul, Korea.

出版信息

J Korean Med Sci. 2004 Apr;19(2):315-9. doi: 10.3346/jkms.2004.19.2.315.

Abstract

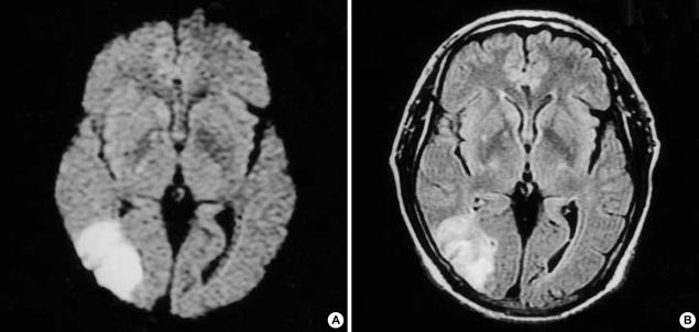
Arterial thrombosis is relatively rare compared with venous thrombosis in nephrotic syndrome. However, the assessment of its pathogenesis and risk factors in individual patient with nephrotic syndrome is necessary to allow appropriate prophylactic management because it is a potentially serious problem. Hereby, with review of the literature, we report a case of a 53 yr-old man with cerebral infarction associated with nephrotic syndrome due to focal segmental glomerulosclerosis during the course of treatments with diuretics and steroid. It reveals that the hypercoagulable state in nephrotic syndrome can be associated with cerebral infarction in adults. Prophylactic anticoagulants can be considered to reduce the risk of serious cerebral infarction in nephrotic patients with risk factors such as severe hypoalbuminemia and on diuretics or steroid treatment, even in young patients regardless of types of underlying glomerular diseases.

摘要

与肾病综合征中的静脉血栓形成相比,动脉血栓形成相对少见。然而,对于肾病综合征个体患者的发病机制和危险因素进行评估是必要的,以便进行适当的预防性治疗,因为这是一个潜在的严重问题。在此,通过文献回顾,我们报告一例53岁男性患者,在使用利尿剂和类固醇治疗过程中,因局灶节段性肾小球硬化导致肾病综合征并发脑梗死。这表明肾病综合征中的高凝状态可能与成人脑梗死有关。对于有严重低白蛋白血症等危险因素且正在使用利尿剂或类固醇治疗的肾病患者,即使是年轻患者,无论潜在肾小球疾病的类型如何,都可考虑使用预防性抗凝剂以降低严重脑梗死的风险。

https://cdn.ncbi.nlm.nih.gov/pmc/blobs/9873/2822321/aec8aae812be/jkms-19-315-g001.jpg

文献检索

告别复杂PubMed语法,用中文像聊天一样搜索,搜遍4000万医学文献。AI智能推荐,让科研检索更轻松。

立即免费搜索

文件翻译

保留排版,准确专业,支持PDF/Word/PPT等文件格式,支持 12+语言互译。

免费翻译文档

深度研究

AI帮你快速写综述,25分钟生成高质量综述,智能提取关键信息,辅助科研写作。

立即免费体验