• 文献检索
  • 文档翻译
  • 深度研究
  • 学术资讯
  • Suppr Zotero 插件Zotero 插件
  • 邀请有礼
  • 套餐&价格
  • 历史记录
应用&插件
Suppr Zotero 插件Zotero 插件浏览器插件Mac 客户端Windows 客户端微信小程序
定价
高级版会员购买积分包购买API积分包
服务
文献检索文档翻译深度研究API 文档MCP 服务
关于我们
关于 Suppr公司介绍联系我们用户协议隐私条款
关注我们

Suppr 超能文献

核心技术专利:CN118964589B侵权必究
粤ICP备2023148730 号-1Suppr @ 2026

文献检索

告别复杂PubMed语法,用中文像聊天一样搜索,搜遍4000万医学文献。AI智能推荐,让科研检索更轻松。

立即免费搜索

文件翻译

保留排版,准确专业,支持PDF/Word/PPT等文件格式,支持 12+语言互译。

免费翻译文档

深度研究

AI帮你快速写综述,25分钟生成高质量综述,智能提取关键信息,辅助科研写作。

立即免费体验

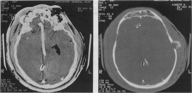
Inadvertent intracranial placement of a nasogastric tube in a patient with severe head trauma.

作者信息

Adler J S, Graeb D A, Nugent R A

机构信息

Department of Radiology, Vancouver General Hospital, BC.

出版信息

CMAJ. 1992 Sep 1;147(5):668-9.

PMID:1521212
原文链接:https://pmc.ncbi.nlm.nih.gov/articles/PMC1336388/
Abstract
摘要
https://cdn.ncbi.nlm.nih.gov/pmc/blobs/8370/1336388/d365c8ec1901/cmaj00258-0107-a.jpg
https://cdn.ncbi.nlm.nih.gov/pmc/blobs/8370/1336388/1e3bb4947d0e/cmaj00258-0106-a.jpg
https://cdn.ncbi.nlm.nih.gov/pmc/blobs/8370/1336388/9d82bf11c926/cmaj00258-0106-b.jpg
https://cdn.ncbi.nlm.nih.gov/pmc/blobs/8370/1336388/d365c8ec1901/cmaj00258-0107-a.jpg
https://cdn.ncbi.nlm.nih.gov/pmc/blobs/8370/1336388/1e3bb4947d0e/cmaj00258-0106-a.jpg
https://cdn.ncbi.nlm.nih.gov/pmc/blobs/8370/1336388/9d82bf11c926/cmaj00258-0106-b.jpg
https://cdn.ncbi.nlm.nih.gov/pmc/blobs/8370/1336388/d365c8ec1901/cmaj00258-0107-a.jpg

相似文献

1
Inadvertent intracranial placement of a nasogastric tube in a patient with severe head trauma.在一名重度颅脑外伤患者中鼻胃管意外置入颅内。
CMAJ. 1992 Sep 1;147(5):668-9.
2
[Unusual head injuries].[特殊头部损伤]
Med Welt. 1971 Oct 16;42:1643-6.
3
A "piggy-back" bullet wound of the head.头部的“骑跨式”枪伤。
Am J Roentgenol Radium Ther Nucl Med. 1974 Nov;122(3):576-9. doi: 10.2214/ajr.122.3.576.
4
Stud guns revisited: report of a suicide and literature review.再谈射钉枪:一例自杀报告及文献综述
J Forensic Sci. 1984 Apr;29(2):670-8.
5
The radiology of missile head wounds.弹头伤的放射学
Clin Radiol. 1971 Jul;22(3):312-20. doi: 10.1016/s0009-9260(71)80079-x.
6
Intracranial insertion of a nasogastric tube in a case of homicidal head trauma.一例因他杀性头部创伤而行鼻胃管颅内置入术。
Am J Forensic Med Pathol. 1998 Dec;19(4):329-34. doi: 10.1097/00000433-199812000-00007.
7
[Application of roentgenography to medicolegal diagnosis. I. Gunshot wounds].[X线摄影在法医学诊断中的应用。I. 枪伤]
Nihon Hoigaku Zasshi. 1983 Apr;37(2):115-20.
8
Penetrating craniocerebral injuries: observations in the Iraqi Iranian War.
Mil Med. 1987 Feb;152(2):76-9.
9
Inadvertent intracranial placement of a nasogastric tube in patients with head injuries.
Surg Neurol. 1999 Oct;52(4):426-7.
10
[Intracranial insertion of a nasogastric tube in a patient with severe head injuries].[在一名重度颅脑损伤患者中经鼻插入胃管至颅内]
Ann Fr Anesth Reanim. 1994;13(6):843-5. doi: 10.1016/s0750-7658(05)80922-0.

引用本文的文献

1
Complicated placement of a nasogastric tube in the gastric mucosa: A case report and literature review.鼻胃管在胃黏膜中的复杂放置:一例病例报告及文献综述。
Nurs Crit Care. 2025 May;30(3):e13178. doi: 10.1111/nicc.13178. Epub 2024 Oct 11.
2
Traumatic epistaxis: Skull base defects, intracranial complications and neurosurgical considerations.创伤性鼻出血:颅底缺损、颅内并发症及神经外科相关考量
Int J Surg Case Rep. 2013;4(8):656-61. doi: 10.1016/j.ijscr.2013.04.033. Epub 2013 May 21.
3
Nasogastric tube placement.鼻胃管置入

本文引用的文献

1
Intracranial placement of a nasogastric tube.鼻胃管颅内放置
AJNR Am J Neuroradiol. 1989 Mar-Apr;10(2):443-4.
2
Inadvertent intracranial introduction of a nasogastric tube, a complication of severe maxillofacial trauma.
Anesthesiology. 1975 Jan;42(1):100-2. doi: 10.1097/00000542-197501000-00016.
3
A complication of nasogastric intubation: intracranial penetration.鼻胃管插管的一种并发症:颅内穿透。
J Trauma. 1978 Dec;18(12):823-4. doi: 10.1097/00005373-197812000-00010.
CMAJ. 1992 Dec 15;147(12):1756.