Ni X, Zhang W, Huang K-C, Wang Y, Ng S-K, Mok S C, Berkowitz R S, Ng S-W
Laboratory of Gynecologic Oncology, Division of Gynecologic Oncology, Brigham and Women's Hospital, Boston, MA 02115, USA.
Br J Cancer. 2004 Aug 16;91(4):725-31. doi: 10.1038/sj.bjc.6602041.
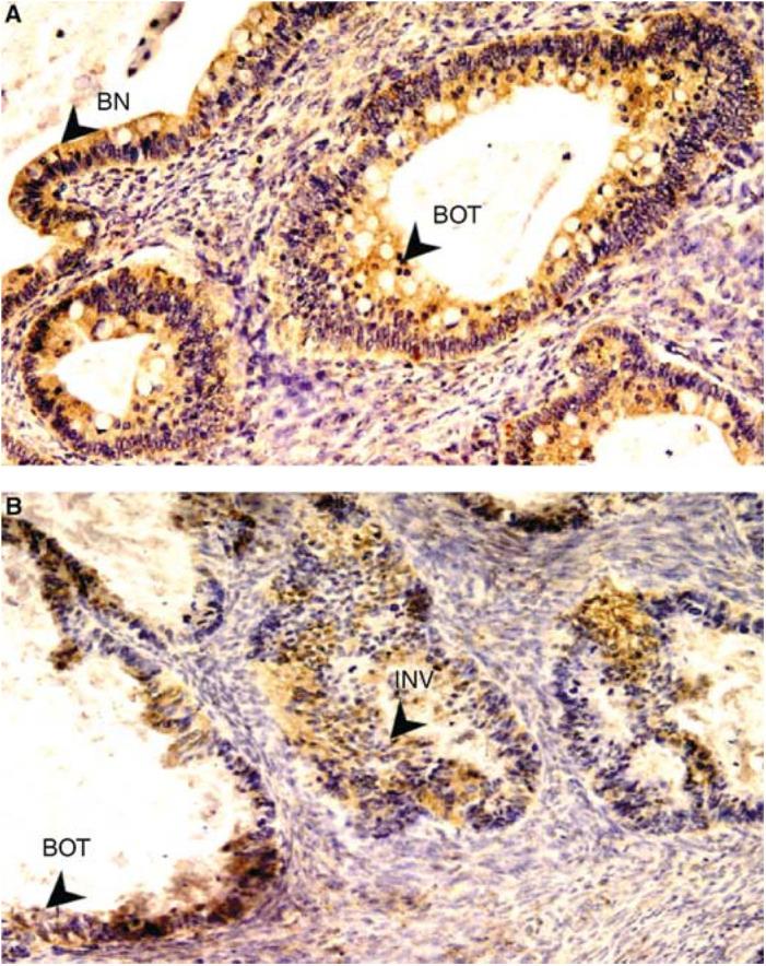
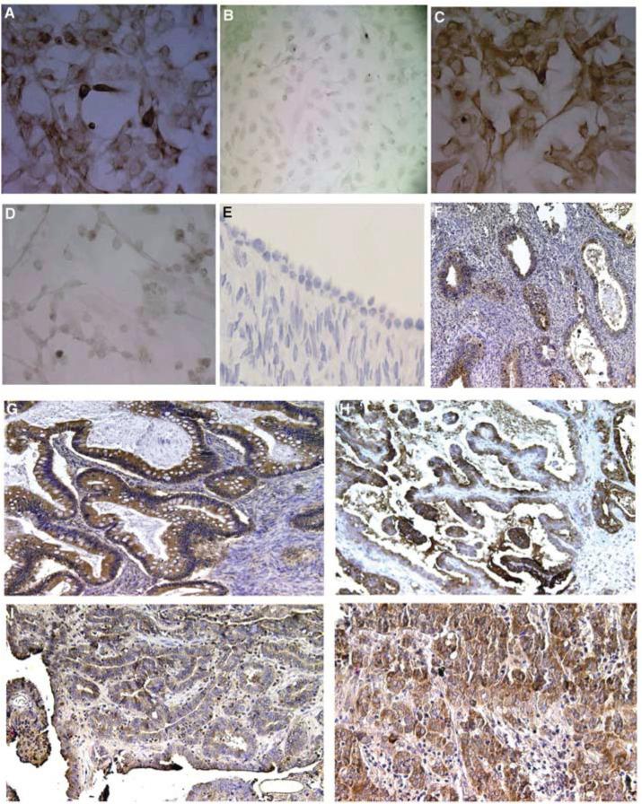
Kallikrein 6 (hK6, also known as protease M/zyme/neurosin) is a member of the human kallikrein gene family. We have previously cloned the cDNA for this gene by differential display and shown the overexpression of the mRNA in breast and ovarian primary tumour tissues and cell lines. To thoroughly characterise the expression of this kallikrein in ovarian cancer, we have developed a novel monoclonal antibody specific to hK6 and employed it in immunohistochemistry with a wide range of ovarian tumour samples. The expression was found elevated in 67 of 80 cases of ovarian tumour samples and there was a significant difference in the expression levels between normal and benign ovarian tissues and the borderline and invasive tumours (P<0.001). There was no difference of expression level between different subtypes of tumours. More significantly, high level of kallikrein 6 expression was found in many early-stage and low-grade tumours, and elevated hK6 proteins were found in benign epithelia coexisting with borderline and invasive tissues, suggesting that overexpression of hK6 is an early phenomenon in the development of ovarian cancer. Quantitative real-time reverse transcription-polymerase chain reactions also showed elevated kallikrein 6 mRNA expression in ovarian tumours. Genomic Southern analysis of 19 ovarian tumour samples suggested that gene amplification is one mechanism for the overexpression of hK6 in ovarian cancer.
激肽释放酶6(hK6,也称为蛋白酶M/酶/神经氨酸酶)是人类激肽释放酶基因家族的成员。我们之前通过差异显示克隆了该基因的cDNA,并证明其mRNA在乳腺和卵巢原发性肿瘤组织及细胞系中过表达。为了全面表征这种激肽释放酶在卵巢癌中的表达情况,我们开发了一种针对hK6的新型单克隆抗体,并将其用于对多种卵巢肿瘤样本的免疫组织化学研究。在80例卵巢肿瘤样本中,有67例的表达升高,正常和良性卵巢组织与交界性和浸润性肿瘤之间的表达水平存在显著差异(P<0.001)。不同肿瘤亚型之间的表达水平没有差异。更重要的是,在许多早期和低级别肿瘤中发现了高水平的激肽释放酶6表达,并且在与交界性和浸润性组织共存的良性上皮中发现了hK6蛋白升高,这表明hK6的过表达是卵巢癌发生发展过程中的早期现象。定量实时逆转录-聚合酶链反应也显示卵巢肿瘤中激肽释放酶6 mRNA表达升高。对19例卵巢肿瘤样本的基因组Southern分析表明,基因扩增是hK6在卵巢癌中过表达的一种机制。