Suppr超能文献

细胞周期蛋白A和细胞周期蛋白D1作为结直肠癌患者重要的预后标志物。

Cyclin A and cyclin D1 as significant prognostic markers in colorectal cancer patients.

作者信息

Bahnassy Abeer A, Zekri Abdel-Rahman N, El-Houssini Soumaya, El-Shehaby Amal M R, Mahmoud Moustafa Raafat, Abdallah Samira, El-Serafi Mostafa

机构信息

Pathology Department, National Cancer Institute, Cairo University, Cairo, Egypt.

出版信息

BMC Gastroenterol. 2004 Sep 23;4:22. doi: 10.1186/1471-230X-4-22.

Abstract

BACKGROUND

Colorectal cancer is a common cancer all over the world. Aberrations in the cell cycle checkpoints have been shown to be of prognostic significance in colorectal cancer.

METHODS

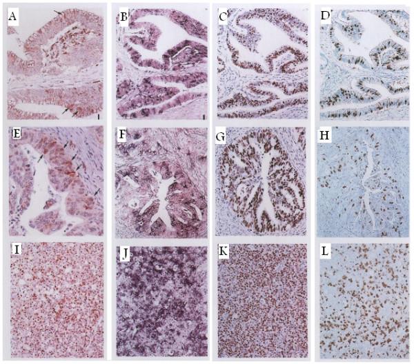
The expression of cyclin D1, cyclin A, histone H3 and Ki-67 was examined in 60 colorectal cancer cases for co-regulation and impact on overall survival using immunohistochemistry, southern blot and in situ hybridization techniques. Immunoreactivity was evaluated semi quantitatively by determining the staining index of the studied proteins.

RESULTS

There was a significant correlation between cyclin D1 gene amplification and protein overexpression (concordance = 63.6%) and between Ki-67 and the other studied proteins. The staining index for Ki-67, cyclin A and D1 was higher in large, poorly differentiated tumors. The staining index of cyclin D1 was significantly higher in cases with deeply invasive tumors and nodal metastasis. Overexpression of cyclin A and D1 and amplification of cyclin D1 were associated with reduced overall survival. Multivariate analysis shows that cyclin D1 and A are two independent prognostic factors in colorectal cancer patients.

CONCLUSIONS

Loss of cell cycle checkpoints control is common in colorectal cancer. Cyclin A and D1 are superior independent indicators of poor prognosis in colorectal cancer patients. Therefore, they may help in predicting the clinical outcome of those patients on an individual basis and could be considered important therapeutic targets.

摘要

背景

结直肠癌是全球常见的癌症。细胞周期检查点的异常在结直肠癌中已显示出具有预后意义。

方法

采用免疫组织化学、Southern印迹和原位杂交技术,检测60例结直肠癌病例中细胞周期蛋白D1、细胞周期蛋白A、组蛋白H3和Ki-67的表达,以研究它们的共同调节及其对总生存期的影响。通过测定所研究蛋白质的染色指数对免疫反应性进行半定量评估。

结果

细胞周期蛋白D1基因扩增与蛋白过表达之间存在显著相关性(一致性=63.6%),Ki-67与其他所研究蛋白质之间也存在显著相关性。在大的、低分化肿瘤中,Ki-67、细胞周期蛋白A和D1的染色指数较高。在深部浸润性肿瘤和有淋巴结转移的病例中,细胞周期蛋白D1的染色指数显著更高。细胞周期蛋白A和D1的过表达以及细胞周期蛋白D1的扩增与总生存期缩短相关。多变量分析显示,细胞周期蛋白D1和A是结直肠癌患者的两个独立预后因素。

结论

细胞周期检查点控制的丧失在结直肠癌中很常见。细胞周期蛋白A和D1是结直肠癌患者预后不良的优良独立指标。因此,它们可能有助于预测这些患者的个体临床结局,并可被视为重要的治疗靶点。

https://cdn.ncbi.nlm.nih.gov/pmc/blobs/08ed/524166/b2955de36822/1471-230X-4-22-1.jpg

文献AI研究员

20分钟写一篇综述,助力文献阅读效率提升50倍。

立即体验

用中文搜PubMed

大模型驱动的PubMed中文搜索引擎

马上搜索

文档翻译

学术文献翻译模型,支持多种主流文档格式。

立即体验