Suppr超能文献

CD44调节骨形态发生蛋白-7(BMP-7)信号通路中的Smad1激活。

CD44 modulates Smad1 activation in the BMP-7 signaling pathway.

作者信息

Peterson Richard S, Andhare Roma A, Rousche Kathleen T, Knudson Warren, Wang Weihua, Grossfield Jami B, Thomas Raymond O, Hollingsworth Robert E, Knudson Cheryl B

机构信息

Dept. of Biochemistry, Rush Medical College, Rush University Medical Center, 1653 West Congress Parkway, Chicago, IL 60612, USA.

出版信息

J Cell Biol. 2004 Sep 27;166(7):1081-91. doi: 10.1083/jcb.200402138.

Abstract

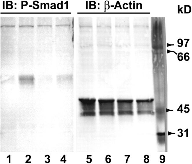
Bone morphogenetic protein 7 (BMP-7) regulates cellular metabolism in embryonic and adult tissues. Signal transduction occurs through the activation of intracellular Smad proteins. In this paper, using a yeast two-hybrid screen, Smad1 was found to interact with the cytoplasmic domain of CD44, a receptor for the extracellular matrix macromolecule hyaluronan. Coimmunoprecipitation experiments confirmed the interaction of Smad1 with full-length CD44-interactions that did not occur when CD44 receptors truncated within the cytoplasmic domain were tested. Chondrocytes overexpressing a truncated CD44 on a background of endogenous full-length CD44 no longer exhibited Smad1 nuclear translocation upon BMP-7 stimulation. Further, pretreatment of chondrocytes with Streptomyces hyaluronidase to disrupt extracellular hyaluronan-cell interactions inhibited BMP-7-mediated Smad1 phosphorylation, nuclear translocation of Smad1 or Smad4, and SBE4-luciferase reporter activation. These results support a functional link between the BMP signaling cascade and CD44. Thus, changes in hyaluronan-cell interactions may serve as a means to modulate cellular responsiveness to BMP.

摘要

骨形态发生蛋白7(BMP - 7)调节胚胎组织和成年组织中的细胞代谢。信号转导通过细胞内Smad蛋白的激活来发生。在本文中,利用酵母双杂交筛选发现,Smad1与细胞外基质大分子透明质酸的受体CD44的胞质结构域相互作用。免疫共沉淀实验证实了Smad1与全长CD44的相互作用,而当测试胞质结构域内截短的CD44受体时,这种相互作用并未发生。在内源性全长CD44背景上过表达截短型CD44的软骨细胞在BMP - 7刺激后不再表现出Smad1核转位。此外,用透明质酸酶预处理软骨细胞以破坏细胞外透明质酸 - 细胞相互作用,可抑制BMP - 7介导的Smad1磷酸化、Smad1或Smad4的核转位以及SBE4 - 荧光素酶报告基因的激活。这些结果支持了BMP信号级联与CD44之间的功能联系。因此,透明质酸 - 细胞相互作用的变化可能作为一种调节细胞对BMP反应性的手段。

https://cdn.ncbi.nlm.nih.gov/pmc/blobs/79bb/2172010/12253bbd808a/200402138f1.jpg

文献AI研究员

20分钟写一篇综述,助力文献阅读效率提升50倍。

立即体验

用中文搜PubMed

大模型驱动的PubMed中文搜索引擎

马上搜索

文档翻译

学术文献翻译模型,支持多种主流文档格式。

立即体验