Suppr超能文献

用皮质类固醇、甲硝唑和万古霉素治疗的类固醇难治性溃疡性结肠炎:病例报告

Steroid-refractory ulcerative colitis treated with corticosteroids, metronidazole and vancomycin: a case report.

作者信息

Miner Jonathan, Gillan M Monem, Alex Philip, Centola Michael

机构信息

University of Oklahoma Health Sciences Center, Oklahoma City, OK 73104, USA.

出版信息

BMC Gastroenterol. 2005 Jan 24;5:3. doi: 10.1186/1471-230X-5-3.

Abstract

BACKGROUND

Increasing evidence elucidating the pathogenic mechanisms of ulcerative colitis (UC) has accumulated and the disease is widely assumed to be the consequence of genetic susceptibility and an abnormal immune response to commensal bacteria. However evidence regarding an infectious etiology in UC remains elusive.

CASE PRESENTATION

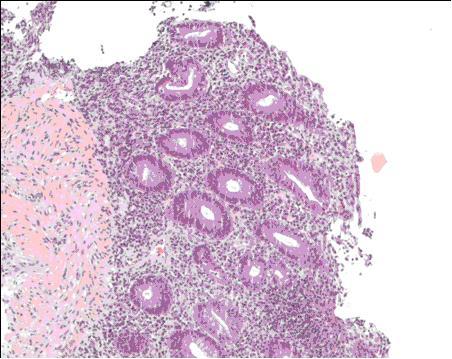
We report a provocative case of UC with profound rheumatologic involvement directly preceded by Clostridium difficile infection and accompanying fever, vomiting, bloody diarrhea, and arthritis. Colonic biopsy revealed a histopathology suggestive of UC. Antibiotic treatment eliminated detectable levels of enteric pathogens but did not abate symptoms. Resolution of symptoms was procurable with oral prednisone, but tapering of corticosteroids was only achievable in combination therapy with vancomycin and metronidazole.

CONCLUSIONS

An infectious pathogen may have both precipitated and exacerbated autoimmune disease attributes in UC, symptoms of which could be resolved only with a combination of corticosteroids, vancomycin and metronidazole. This may warrant the need for more perceptive scrutiny of C. difficile and the like in patients with UC.

摘要

背景

阐明溃疡性结肠炎(UC)致病机制的证据越来越多,人们普遍认为该病是遗传易感性和对共生菌异常免疫反应的结果。然而,关于UC感染病因的证据仍然难以捉摸。

病例报告

我们报告了一例具有严重风湿性病变的UC激发病例,该病例在艰难梭菌感染后直接出现,并伴有发热、呕吐、血性腹泻和关节炎。结肠活检显示组织病理学提示为UC。抗生素治疗消除了可检测到的肠道病原体水平,但并未减轻症状。口服泼尼松可使症状缓解,但只有在与万古霉素和甲硝唑联合治疗时才能逐渐减少皮质类固醇的用量。

结论

感染性病原体可能既引发又加剧了UC的自身免疫性疾病属性,其症状只有通过皮质类固醇、万古霉素和甲硝唑联合使用才能得到缓解。这可能需要对UC患者中的艰难梭菌等进行更敏锐的检查。

https://cdn.ncbi.nlm.nih.gov/pmc/blobs/97ca/548304/94b13f413301/1471-230X-5-3-1.jpg

文献AI研究员

20分钟写一篇综述,助力文献阅读效率提升50倍。

立即体验

用中文搜PubMed

大模型驱动的PubMed中文搜索引擎

马上搜索

文档翻译

学术文献翻译模型,支持多种主流文档格式。

立即体验