• 文献检索
  • 文档翻译
  • 深度研究
  • 学术资讯
  • Suppr Zotero 插件Zotero 插件
  • 邀请有礼
  • 套餐&价格
  • 历史记录
应用&插件
Suppr Zotero 插件Zotero 插件浏览器插件Mac 客户端Windows 客户端微信小程序
定价
高级版会员购买积分包购买API积分包
服务
文献检索文档翻译深度研究API 文档MCP 服务
关于我们
关于 Suppr公司介绍联系我们用户协议隐私条款
关注我们

Suppr 超能文献

核心技术专利:CN118964589B侵权必究
粤ICP备2023148730 号-1Suppr @ 2026

文献检索

告别复杂PubMed语法,用中文像聊天一样搜索,搜遍4000万医学文献。AI智能推荐,让科研检索更轻松。

立即免费搜索

文件翻译

保留排版,准确专业,支持PDF/Word/PPT等文件格式,支持 12+语言互译。

免费翻译文档

深度研究

AI帮你快速写综述,25分钟生成高质量综述,智能提取关键信息,辅助科研写作。

立即免费体验

多排螺旋CT在检测冠状动脉狭窄中的应用。

The utility of multi-detector row spiral CT for detection of coronary artery stenoses.

作者信息

Moon Jae-Youn, Chung Namsik, Choi Byoung Wook, Choe Kyu Ok, Seo Hye Sun, Ko Young-Guk, Kang Seok-Min, Ha Jong-Won, Rim Se-Joong, Jang Yangsoo, Shim Won-Heum, Cho Seung-Yun

机构信息

Cardiology Division, Yonsei Cardiovascular Hospital, Yonsei University College of Medicine, 134 Shinchon-dong, Seodaemun-gu, Seoul 120-752, Korea.

出版信息

Yonsei Med J. 2005 Feb 28;46(1):86-94. doi: 10.3349/ymj.2005.46.1.86.

DOI:10.3349/ymj.2005.46.1.86
PMID:15744810
原文链接:https://pmc.ncbi.nlm.nih.gov/articles/PMC2823063/
Abstract

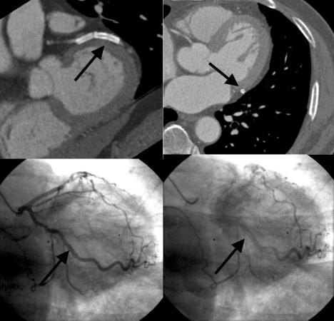
Contrast-enhanced multi-detector row spiral computed tomography (MDCT) was introduced as a promising noninvasive method for vascular imaging. This study examined the accuracy of this technique for detecting significant coronary artery stenoses. Both MDCT(Sensation 16, Siemens, Germany, 12x0.75 mm collimation and 0.42 sec rotation speed, 120 kV, 500 effective mA, and 2.7 mm/rotation table-feed) and invasive coronary angiography (CAG) were performed on 61 patients (mean age 59.2+/-10, 44 men) who were suspected of having coronary artery disease. All patients were treated with atenolol (25-50 mg) prior to imaging and the heart rate was maintained below 65 beats per minutes during image acquisition. The images were reconstructed in the diastole around TI-400 ms with a 0.5 mm increment and a 1.0 mm thickness. All coronary arteries with a diameter of 2.0 mm or more were assessed for the presence of a stenosis (>50% luminal narrowing). Two independent radiologists who were unaware of the results of the invasive CAG evaluated the MDCT data, and the results were compared with those from the invasive CAG (interval 1-27, mean 11 days). An evaluation of the CT coronary angiogram (CTCA) was possible in 58 of the 61 patients (95%). Image acquisition of the major coronary arteries including the left main trunk was available in 229 out of 244 arteries. Invasive CAG showed that 35 out of 58 patients had significant coronary artery stenoses by. patient analysis of those who could be evaluated showed that CT coronary angiography correctly classified 30 out of 35 patients as having at least 1 coronary stenosis (sensitivity 85.7%, specificity 91.3%, positive predictive value 93.8%, negative predictive value 80.8%). By analyzing each coronary artery, CAG found 62 stenotic coronary arteries in the 229 coronary arteries that could be evaluated. MDCT correctly detected 50 out of 62 stenotic coronary arteries and an absence of stenosis was correctly identified in 156 out of 167 normal coronary arteries (sensitivity 80.6%, specificity 93.4%, positive predictive value 81.9%, negative predictive value 92.8%). The non-invasive technique of MDCT for examining the coronary artery appears to be a useful method for detecting coronary artery stenoses with a high accuracy particularly with the proximal portion and large arteries.

摘要

对比增强型多排螺旋计算机断层扫描(MDCT)作为一种有前景的血管成像无创方法被引入。本研究检测了该技术检测显著冠状动脉狭窄的准确性。对61例疑似患有冠状动脉疾病的患者(平均年龄59.2±10岁,44例男性)同时进行了MDCT(德国西门子Sensation 16,准直12×0.75mm,转速0.42秒,120kV,有效毫安500,床进速度2.7mm/旋转)和有创冠状动脉造影(CAG)检查。所有患者在成像前均接受阿替洛尔(25 - 50mg)治疗,且在图像采集期间心率维持在每分钟65次以下。图像在舒张期TI - 400ms左右重建,增量为0.5mm,层厚为1.0mm。对所有直径2.0mm及以上的冠状动脉评估是否存在狭窄(管腔狭窄>50%)。两名不知有创CAG结果的独立放射科医生评估MDCT数据,并将结果与有创CAG的结果进行比较(间隔1 - 27天,平均11天)。61例患者中有58例(95%)可行CT冠状动脉造影(CTCA)评估。244支动脉中有229支获得了包括左主干在内的主要冠状动脉的图像采集。有创CAG显示,58例患者中有35例存在显著冠状动脉狭窄。对可评估患者的分析显示,CT冠状动脉造影将35例患者中的30例正确分类为至少有1处冠状动脉狭窄(敏感性85.7%,特异性91.3%,阳性预测值93.8%,阴性预测值80.8%)。通过分析每支冠状动脉,CAG在229支可评估的冠状动脉中发现62支狭窄冠状动脉。MDCT正确检测出62支狭窄冠状动脉中的50支,在167支正常冠状动脉中的156支正确识别出无狭窄(敏感性80.6%,特异性93.4%,阳性预测值81.9%,阴性预测值92.8%)。MDCT这种用于检查冠状动脉的无创技术似乎是一种检测冠状动脉狭窄的有用方法,尤其对于近端部分和大动脉具有较高的准确性。

https://cdn.ncbi.nlm.nih.gov/pmc/blobs/5806/2823063/bef2cf5bdd6d/ymj-46-86-g004.jpg
https://cdn.ncbi.nlm.nih.gov/pmc/blobs/5806/2823063/2dff01bec8ce/ymj-46-86-g001.jpg
https://cdn.ncbi.nlm.nih.gov/pmc/blobs/5806/2823063/696baeaf8e78/ymj-46-86-g002.jpg
https://cdn.ncbi.nlm.nih.gov/pmc/blobs/5806/2823063/6790191743b2/ymj-46-86-g003.jpg
https://cdn.ncbi.nlm.nih.gov/pmc/blobs/5806/2823063/bef2cf5bdd6d/ymj-46-86-g004.jpg
https://cdn.ncbi.nlm.nih.gov/pmc/blobs/5806/2823063/2dff01bec8ce/ymj-46-86-g001.jpg
https://cdn.ncbi.nlm.nih.gov/pmc/blobs/5806/2823063/696baeaf8e78/ymj-46-86-g002.jpg
https://cdn.ncbi.nlm.nih.gov/pmc/blobs/5806/2823063/6790191743b2/ymj-46-86-g003.jpg
https://cdn.ncbi.nlm.nih.gov/pmc/blobs/5806/2823063/bef2cf5bdd6d/ymj-46-86-g004.jpg

相似文献

1
The utility of multi-detector row spiral CT for detection of coronary artery stenoses.多排螺旋CT在检测冠状动脉狭窄中的应用。
Yonsei Med J. 2005 Feb 28;46(1):86-94. doi: 10.3349/ymj.2005.46.1.86.
2
Detection of coronary artery stenoses using multi-detector CT with 16 x 0.75 collimation and 375 ms rotation.使用具有16×0.75准直和375毫秒旋转的多探测器CT检测冠状动脉狭窄。
Eur Heart J. 2005 Oct;26(19):1978-86. doi: 10.1093/eurheartj/ehi326. Epub 2005 May 27.
3
Detection of coronary artery stenoses with thin-slice multi-detector row spiral computed tomography and multiplanar reconstruction.使用薄层多排螺旋计算机断层扫描和多平面重建检测冠状动脉狭窄。
Circulation. 2003 Feb 11;107(5):664-6. doi: 10.1161/01.cir.0000055738.31551.a9.
4
Clinical value of 16-slice multi-detector CT compared to invasive coronary angiography.16层多排螺旋CT与有创冠状动脉造影术相比的临床价值。
Int J Cardiovasc Intervent. 2005;7(1):21-8. doi: 10.1080/14628840510011207.
5
ECG-gated 16-MDCT of the coronary arteries: assessment of image quality and accuracy in detecting stenoses.冠状动脉的心电图门控16层螺旋CT:图像质量评估及狭窄检测的准确性
AJR Am J Roentgenol. 2005 May;184(5):1413-9. doi: 10.2214/ajr.184.5.01841413.
6
Heart imaging: the accuracy of the 64-MSCT in the detection of coronary artery disease.心脏成像:64层螺旋CT检测冠状动脉疾病的准确性
Eur Rev Med Pharmacol Sci. 2009 May-Jun;13(3):163-71.
7
Accuracy of 16-row multidetector computed tomography for the assessment of coronary artery stenosis.16排多层螺旋计算机断层扫描评估冠状动脉狭窄的准确性
JAMA. 2006 Jul 26;296(4):403-11. doi: 10.1001/jama.296.4.403.
8
Non-invasive assessment of coronary artery bypass graft with retrospectively ECG-gated four-row multi-detector spiral computed tomography.回顾性心电图门控四排多探测器螺旋计算机断层扫描对冠状动脉旁路移植术的无创评估
Eur Radiol. 2004 Aug;14(8):1353-62. doi: 10.1007/s00330-004-2323-3. Epub 2004 Apr 22.
9
[Value and limitations of multislice spiral CT in diagnosing coronary artery stenoses].多层螺旋CT在诊断冠状动脉狭窄中的价值与局限性
Zhonghua Xin Xue Guan Bing Za Zhi. 2008 Nov;36(11):989-93.
10
Diagnostic accuracy of noninvasive coronary imaging using 16-detector slice spiral computed tomography with 188 ms temporal resolution.使用具有188毫秒时间分辨率的16层螺旋计算机断层扫描进行无创冠状动脉成像的诊断准确性。
J Am Coll Cardiol. 2005 Jan 4;45(1):123-7. doi: 10.1016/j.jacc.2004.10.050.

引用本文的文献

1
Methodological quality of diagnostic accuracy studies on non-invasive coronary CT angiography: influence of QUADAS (Quality Assessment of Diagnostic Accuracy Studies included in systematic reviews) items on sensitivity and specificity.非侵入性冠状动脉 CT 血管造影术的诊断准确性研究的方法学质量:QUADAS(系统评价中包含的诊断准确性研究质量评估)项目对敏感性和特异性的影响。
Eur Radiol. 2013 Jun;23(6):1603-22. doi: 10.1007/s00330-012-2763-0. Epub 2013 Jan 16.
2
Use of 3x2 tables with an intention to diagnose approach to assess clinical performance of diagnostic tests: meta-analytical evaluation of coronary CT angiography studies.采用意向诊断方法评估诊断试验临床性能的 3x2 表的应用:冠状动脉 CT 血管造影研究的荟萃分析评估。
BMJ. 2012 Oct 24;345:e6717. doi: 10.1136/bmj.e6717.
3

本文引用的文献

1
Imaging of coronary artery stents using multislice computed tomography: in vitro evaluation.使用多层螺旋计算机断层扫描对冠状动脉支架进行成像:体外评估
Eur Radiol. 2003 Apr;13(4):830-5. doi: 10.1007/s00330-002-1651-4. Epub 2002 Sep 7.
2
Detection of coronary artery stenoses with thin-slice multi-detector row spiral computed tomography and multiplanar reconstruction.使用薄层多排螺旋计算机断层扫描和多平面重建检测冠状动脉狭窄。
Circulation. 2003 Feb 11;107(5):664-6. doi: 10.1161/01.cir.0000055738.31551.a9.
3
Non-invasive coronary angiography with high resolution multidetector-row computed tomography. Results in 102 patients.
Influence of coronary artery disease prevalence on predictive values of coronary CT angiography: a meta-regression analysis.冠状动脉疾病患病率对冠状动脉 CT 血管造影预测值的影响:一项荟萃回归分析。
Eur Radiol. 2011 Sep;21(9):1904-13. doi: 10.1007/s00330-011-2142-2. Epub 2011 May 20.
4
Off-pump coronary artery bypass grafting in moyamoya disease.烟雾病的非体外循环冠状动脉搭桥术
Yonsei Med J. 2007 Oct 31;48(5):876-8. doi: 10.3349/ymj.2007.48.5.876.
5
Diagnostic value of 16-slice multidetector computed tomography in symptomatic patients with suspected significant obstructive coronary artery disease.16层螺旋计算机断层扫描对疑似严重阻塞性冠状动脉疾病的有症状患者的诊断价值
Heart Vessels. 2006 Sep;21(5):278-84. doi: 10.1007/s00380-005-0903-z. Epub 2006 Sep 29.
Eur Heart J. 2002 Nov;23(21):1714-25. doi: 10.1053/euhj.2002.3264.
4
Reliable noninvasive coronary angiography with fast submillimeter multislice spiral computed tomography.利用快速亚毫米多层螺旋计算机断层扫描进行可靠的无创冠状动脉造影。
Circulation. 2002 Oct 15;106(16):2051-4. doi: 10.1161/01.cir.0000037222.58317.3d.
5
Noninvasive coronary angiography using computed tomography: ready to kick it up another notch?
Circulation. 2002 Oct 15;106(16):2036-8. doi: 10.1161/01.cir.0000037740.97150.43.
6
Computed tomography and magnetic resonance imaging for noninvasive coronary angiography and plaque imaging: current and potential future concepts.用于无创冠状动脉造影和斑块成像的计算机断层扫描和磁共振成像:当前及未来潜在概念
Circulation. 2002 Oct 8;106(15):2026-34. doi: 10.1161/01.cir.0000034392.34211.fc.
7
Noninvasive visualization of coronary arteries using contrast-enhanced multidetector CT: influence of heart rate on image quality and stenosis detection.使用对比增强型多排CT对冠状动脉进行无创可视化:心率对图像质量和狭窄检测的影响。
AJR Am J Roentgenol. 2002 Oct;179(4):911-6. doi: 10.2214/ajr.179.4.1790911.
8
Techniques for the detection of coronary atherosclerosis: multi-detector row CT coronary angiography.
Radiology. 2002 Apr;223(1):212-20. doi: 10.1148/radiol.2231010515.
9
Influence of heart rate on vessel visibility in noninvasive coronary angiography using new multislice computed tomography: experience in 94 patients.心率对采用新型多层计算机断层扫描技术的无创冠状动脉造影中血管显影的影响:94例患者的经验
Clin Imaging. 2002 Mar-Apr;26(2):106-11. doi: 10.1016/s0899-7071(01)00371-0.
10
Usefulness of multislice spiral computed tomography angiography for determination of coronary artery stenoses.多层螺旋计算机断层扫描血管造影术在确定冠状动脉狭窄方面的实用性。
Am J Cardiol. 2001 Nov 15;88(10):1191-4. doi: 10.1016/s0002-9149(01)02060-4.