• 文献检索
  • 文档翻译
  • 深度研究
  • 学术资讯
  • Suppr Zotero 插件Zotero 插件
  • 邀请有礼
  • 套餐&价格
  • 历史记录
应用&插件
Suppr Zotero 插件Zotero 插件浏览器插件Mac 客户端Windows 客户端微信小程序
定价
高级版会员购买积分包购买API积分包
服务
文献检索文档翻译深度研究API 文档MCP 服务
关于我们
关于 Suppr公司介绍联系我们用户协议隐私条款
关注我们

Suppr 超能文献

核心技术专利:CN118964589B侵权必究
粤ICP备2023148730 号-1Suppr @ 2026

文献检索

告别复杂PubMed语法,用中文像聊天一样搜索,搜遍4000万医学文献。AI智能推荐,让科研检索更轻松。

立即免费搜索

文件翻译

保留排版,准确专业,支持PDF/Word/PPT等文件格式,支持 12+语言互译。

免费翻译文档

深度研究

AI帮你快速写综述,25分钟生成高质量综述,智能提取关键信息,辅助科研写作。

立即免费体验

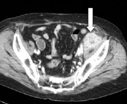
膀胱切除术后20年移行细胞癌转移至下腹壁。

Metastasis of transitional cell carcinoma to the lower abdominal wall 20 years after cystectomy.

作者信息

Ku Ja Hyeon, Yeo Woon Geol, Park Min Young, Lee Eun Sik, Kim Hyeon Hoe

机构信息

Department of Urology, Seoul National University College of Medicine, Seoul National University Hospital, Seoul, Korea.

出版信息

Yonsei Med J. 2005 Feb 28;46(1):181-3. doi: 10.3349/ymj.2005.46.1.181.

DOI:10.3349/ymj.2005.46.1.181
PMID:15744826
原文链接:https://pmc.ncbi.nlm.nih.gov/articles/PMC2823049/
Abstract

Iatrogenic implantation has been the main cause in the majority of cases of transitional call carcinoma (TCC) with metastasis to the abdominal wall. A 66-year-old woman had undergone radical cystectomy 20 years prior to presenting. Radiological investigations revealed one mass in the left lower abdominal wall and one mass in the right inguinal area. She underwent wide excision of the lesions that revealed metastasis of TCC. This report describes this case of a woman with bladder carcinoma who developed a metastasis in the anterior abdominal wall following an apparent disease-free interval of 20 years.

摘要

医源性植入是大多数发生腹壁转移的移行性上皮癌(TCC)病例的主要原因。一名66岁女性在就诊前20年接受了根治性膀胱切除术。影像学检查发现左下腹壁有一个肿块,右腹股沟区有一个肿块。她接受了病变的广泛切除,结果显示为TCC转移。本报告描述了一名膀胱癌女性患者的病例,该患者在经历了20年的无病期后,在前腹壁发生了转移。

https://cdn.ncbi.nlm.nih.gov/pmc/blobs/dd4a/2823049/d2449dd23841/ymj-46-181-g003.jpg
https://cdn.ncbi.nlm.nih.gov/pmc/blobs/dd4a/2823049/70c4e1c96598/ymj-46-181-g001.jpg
https://cdn.ncbi.nlm.nih.gov/pmc/blobs/dd4a/2823049/77e30841ffa8/ymj-46-181-g002.jpg
https://cdn.ncbi.nlm.nih.gov/pmc/blobs/dd4a/2823049/d2449dd23841/ymj-46-181-g003.jpg
https://cdn.ncbi.nlm.nih.gov/pmc/blobs/dd4a/2823049/70c4e1c96598/ymj-46-181-g001.jpg
https://cdn.ncbi.nlm.nih.gov/pmc/blobs/dd4a/2823049/77e30841ffa8/ymj-46-181-g002.jpg
https://cdn.ncbi.nlm.nih.gov/pmc/blobs/dd4a/2823049/d2449dd23841/ymj-46-181-g003.jpg

相似文献

1
Metastasis of transitional cell carcinoma to the lower abdominal wall 20 years after cystectomy.膀胱切除术后20年移行细胞癌转移至下腹壁。
Yonsei Med J. 2005 Feb 28;46(1):181-3. doi: 10.3349/ymj.2005.46.1.181.
2
Ossified cystic metastasis of bladder tumor to abdominal wound after partial cystectomy.
J Urol. 1995 Mar;153(3 Pt 2):1049-50.
3
Urethral recurrence in a woman after continent orthotopic urinary diversion for bladder cancer.一名女性膀胱癌患者在进行可控性原位尿流改道术后出现尿道复发。
Urology. 2008 Apr;71(4):755.e1-2. doi: 10.1016/j.urology.2007.11.068. Epub 2008 Feb 15.
4
[Inguinal lymph node metastasis of bladder carcinoma ten years after cystourethrectomy: a case report].膀胱尿道切除术后十年出现的膀胱癌腹股沟淋巴结转移:一例报告
Hinyokika Kiyo. 2005 Nov;51(11):759-61.
5
[A case of vaginal metastasis of transitional cell carcinoma].[一例移行细胞癌阴道转移病例]
Hinyokika Kiyo. 2004 Apr;50(4):283-6.
6
The frequency of prostatic involvement in radical cystectomy specimens for transitional cell carcinoma of the bladder.膀胱移行细胞癌根治性膀胱切除标本中前列腺受累的频率。
J Pak Med Assoc. 2008 Sep;58(9):479-81.
7
[Brain metastasis of bladder carcinoma after total cystectomy: a case report].
Hinyokika Kiyo. 2000 Nov;46(11):807-9.
8
[Recurrence of transitional cell carcinoma in bilateral upper urinary tracts and ileal conduit with invasion in the abdominal wall around nephrostomy after total cystectomy: a case report].[全膀胱切除术后双侧上尿路移行细胞癌复发及回肠膀胱伴肾造瘘口周围腹壁浸润:1例报告]
Hinyokika Kiyo. 1995 May;41(5):383-6.
9
Testicular metastasis of transitional cell carcinoma of the urinary bladder: an unusual site.膀胱移行细胞癌的睾丸转移:一个不寻常的部位。
Int J Urol. 2006 Aug;13(8):1136-7. doi: 10.1111/j.1442-2042.2006.01507.x.
10
[Asynchronous metastases solely to the bilateral adrenal glands from bladder cancer: a case report].
Hinyokika Kiyo. 1996 Jan;42(1):63-6.

引用本文的文献

1
Early metastasis to anterior abdominal wall following radical cystectomy: A rare presentation.根治性膀胱切除术后早期发生前腹壁转移:一种罕见的表现。
Urol Ann. 2016 Jul-Sep;8(3):394-6. doi: 10.4103/0974-7796.184902.
2
Brain and skin metastasis from urothelial carcinoma of the bladder.膀胱尿路上皮癌的脑转移和皮肤转移
Korean J Urol. 2013 Jan;54(1):66-8. doi: 10.4111/kju.2013.54.1.66. Epub 2013 Jan 18.
3
Low grade papillary transitional cell carcinoma pelvic recurrence masquerading as high grade invasive carcinoma, ten years after radical cystectomy.

本文引用的文献

1
Scrotal metastasis from ureteral cancer.输尿管癌的阴囊转移
J Urol. 2001 May;165(5):1637.
2
Port site metastasis after laparoscopic nephrectomy: unsuspected transitional cell carcinoma within a tuberculous atrophic kidney.
J Urol. 1999 Aug;162(2):486-7. doi: 10.1016/s0022-5347(05)68599-0.
3
Cutaneous metastases from transitional cell carcinomas of the bladder and renal pelvis.膀胱和肾盂移行细胞癌的皮肤转移
Br J Urol. 1997 Feb;79(2):292-3. doi: 10.1046/j.1464-410x.1997.08330.x.
根治性膀胱切除术后十年,低级别乳头状移行细胞癌盆腔复发,表现为高级别浸润性癌。
World J Surg Oncol. 2008 Sep 30;6:103. doi: 10.1186/1477-7819-6-103.
4
Carcinoma erysipelatoides resulting from genitourinary cancer.泌尿生殖系统癌症导致的丹毒样癌
J Am Acad Dermatol. 1996 Dec;35(6):993-5. doi: 10.1016/s0190-9622(96)90131-0.
5
Zosteriform inflammatory metastatic carcinoma from transitional cell carcinoma of the renal pelvis.
J Am Acad Dermatol. 1994 Aug;31(2 Pt 1):284-6. doi: 10.1016/s0190-9622(08)81982-2.
6
Implantation metastasis after laparoscopic biopsy of bladder cancer.膀胱癌腹腔镜活检术后种植转移
J Urol. 1995 Mar;153(3 Pt 2):1047-8.
7
Skin metastases from transitional cell bladder cancer.膀胱移行细胞癌的皮肤转移
Urology. 1987 Feb;29(2):215-7. doi: 10.1016/0090-4295(87)90159-2.