Suppr超能文献

ELAV RNA 稳定性因子 HuR 结合人类 IGF-IR 转录本的 5' 非翻译区,并差异性地抑制帽依赖性和内部核糖体进入位点(IRES)介导的翻译。

The ELAV RNA-stability factor HuR binds the 5'-untranslated region of the human IGF-IR transcript and differentially represses cap-dependent and IRES-mediated translation.

作者信息

Meng Zheng, King Peter H, Nabors L Burt, Jackson Nateka L, Chen Ching-Yi, Emanuel Peter D, Blume Scott W

机构信息

Department of Biochemistry and Molecular Genetics, University of Alabama at Birmingham Birmingham, AL 35294, USA.

出版信息

Nucleic Acids Res. 2005 May 24;33(9):2962-79. doi: 10.1093/nar/gki603. Print 2005.

Abstract

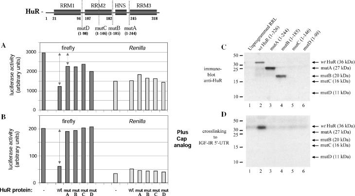
The type I insulin-like growth factor receptor (IGF-IR) is an integral component in the control of cell proliferation, differentiation and apoptosis. The IGF-IR mRNA contains an extraordinarily long (1038 nt) 5'-untranslated region (5'-UTR), and we have characterized a diverse series of proteins interacting with this RNA sequence which may provide for intricate regulation of IGF-IR gene expression at the translational level. Here, we report the purification and identification of one of these IGF-IR 5'-UTR-binding proteins as HuR, using a novel RNA crosslinking/RNase elution strategy. Because HuR has been predominantly characterized as a 3'-UTR-binding protein, enhancing mRNA stability and generally increasing gene expression, we sought to determine whether HuR might serve a different function in the context of its binding the IGF-IR 5'-UTR. We found that HuR consistently repressed translation initiation through the IGF-IR 5'-UTR. The inhibition of translation by HuR was concentration dependent, and could be reversed in trans by addition of a fragment of the IGF-IR 5'-UTR containing the HuR binding sites as a specific competitor, or abrogated by deletion of the third RNA recognition motif of HuR. We determined that HuR repressed translation initiation through the IGF-IR 5'-UTR in cells as well, and that siRNA knockdown of HuR markedly increased IGF-IR protein levels. Interestingly, we also found that HuR potently inhibited IGF-IR translation mediated through internal ribosome entry. Kinetic assays were performed to investigate the mechanism of translation repression by HuR and the dynamic interplay between HuR and the translation apparatus. We found that HuR, occupying a cap-distal position, significantly delayed translation initiation mediated by cap-dependent scanning, but was eventually displaced from its binding site, directly or indirectly, as a consequence of ribosomal scanning. However, HuR perpetually blocked the activity of the IGF-IR IRES, apparently arresting the IRES-associated translation pre-initiation complex in an inactive state. This function of HuR as a 5'-UTR-binding protein and dual-purpose translation repressor may be critical for the precise regulation of IGF-IR expression essential to normal cellular homeostasis.

摘要

I型胰岛素样生长因子受体(IGF-IR)是控制细胞增殖、分化和凋亡的一个不可或缺的组成部分。IGF-IR信使核糖核酸(mRNA)包含一个特别长(1038个核苷酸)的5'非翻译区(5'-UTR),并且我们已经鉴定出一系列与该RNA序列相互作用的不同蛋白质,这些蛋白质可能在翻译水平上对IGF-IR基因表达进行复杂的调控。在此,我们使用一种新颖的RNA交联/核糖核酸酶洗脱策略,报告了其中一种IGF-IR 5'-UTR结合蛋白即HuR的纯化和鉴定。由于HuR主要被表征为一种3'-UTR结合蛋白,可增强mRNA稳定性并通常增加基因表达,我们试图确定HuR在结合IGF-IR 5'-UTR的情况下是否可能发挥不同的功能。我们发现HuR持续抑制通过IGF-IR 5'-UTR的翻译起始。HuR对翻译的抑制作用呈浓度依赖性,并且通过添加包含HuR结合位点的IGF-IR 5'-UTR片段作为特异性竞争剂可在反式中逆转,或者通过缺失HuR的第三个RNA识别基序而消除。我们确定HuR在细胞中也通过IGF-IR 5'-UTR抑制翻译起始,并且HuR的小干扰RNA(siRNA)敲低显著增加了IGF-IR蛋白水平。有趣的是,我们还发现HuR强烈抑制通过内部核糖体进入介导的IGF-IR翻译。进行动力学分析以研究HuR抑制翻译的机制以及HuR与翻译装置之间的动态相互作用。我们发现,占据帽远端位置的HuR显著延迟了由帽依赖性扫描介导的翻译起始,但最终由于核糖体扫描而直接或间接地从其结合位点被取代。然而,HuR持续阻断IGF-IR内部核糖体进入位点(IRES)的活性,显然使IRES相关的翻译起始前复合物停滞在无活性状态。HuR作为5'-UTR结合蛋白和两用翻译抑制因子的这种功能可能对正常细胞稳态所必需的IGF-IR表达的精确调控至关重要。

https://cdn.ncbi.nlm.nih.gov/pmc/blobs/200e/1140080/9776594fcf84/gki603f1.jpg

文献AI研究员

20分钟写一篇综述,助力文献阅读效率提升50倍。

立即体验

用中文搜PubMed

大模型驱动的PubMed中文搜索引擎

马上搜索

文档翻译

学术文献翻译模型,支持多种主流文档格式。

立即体验