• 文献检索
  • 文档翻译
  • 深度研究
  • 学术资讯
  • Suppr Zotero 插件Zotero 插件
  • 邀请有礼
  • 套餐&价格
  • 历史记录
应用&插件
Suppr Zotero 插件Zotero 插件浏览器插件Mac 客户端Windows 客户端微信小程序
定价
高级版会员购买积分包购买API积分包
服务
文献检索文档翻译深度研究API 文档MCP 服务
关于我们
关于 Suppr公司介绍联系我们用户协议隐私条款
关注我们

Suppr 超能文献

核心技术专利:CN118964589B侵权必究
粤ICP备2023148730 号-1Suppr @ 2026

文献检索

告别复杂PubMed语法,用中文像聊天一样搜索,搜遍4000万医学文献。AI智能推荐,让科研检索更轻松。

立即免费搜索

文件翻译

保留排版,准确专业,支持PDF/Word/PPT等文件格式,支持 12+语言互译。

免费翻译文档

深度研究

AI帮你快速写综述,25分钟生成高质量综述,智能提取关键信息,辅助科研写作。

立即免费体验

使用扩散加权和灌注加权磁共振成像评估超急性卒中的组织活力

Assessment of tissue viability using diffusion- and perfusion-weighted MRI in hyperacute stroke.

作者信息

Moon Won-Jin, Na Dong Gyu, Ryoo Jae Wook, Roh Hong Gee, Byun Hong Sik, Chon Yong Hwan, Chung Eun Chul

机构信息

Department of Radiology and Center for Imaging Science, Samsung Medical Center, Sungkyunkwan University School of Medicine, Seoul, Korea.

出版信息

Korean J Radiol. 2005 Apr-Jun;6(2):75-81. doi: 10.3348/kjr.2005.6.2.75.

DOI:10.3348/kjr.2005.6.2.75
PMID:15968145
原文链接:https://pmc.ncbi.nlm.nih.gov/articles/PMC2686423/
Abstract

OBJECTIVE

The aim of this study was to investigate the relationship between the diffusion and perfusion parameters in hyperacute infarction, and we wanted to determine the viability threshold for the ischemic penumbra using diffusion- and perfusion-weighted imaging (DWI and PWI, respectively).

MATERIALS AND METHODS

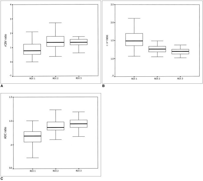
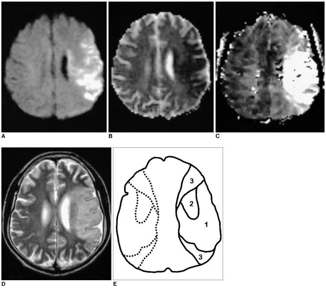
Both DWI and PWI were performed within six hours from the onset of symptoms for 12 patients who had suffered from acute stroke. Three regions of interest (ROIs) were identified: ROI 1 was the initial lesion on DWI; ROI 2 was the DWI/PWI mismatch area (the penumbra) that progressed onward to the infarct; and ROI 3 was the mismatch area that recovered to normal on the follow-up scans. The ratios of apparent diffusion coefficient (ADC), the relative cerebral blood volume (rCBV), and the time to peak (TTP) were calculated as the lesions' ROIs divided by the contralateral mirror ROIs, and these values were then correlated with each other. The viability threshold was determined by using the receiver operating characteristic (ROC) curves.

RESULTS

For all three ROIs, the ADC ratios had significant linear correlation with the TTP ratios (p < 0.001), but not with the rCBV ratios (p = 0.280). There was no significant difference for the ADC and rCBV ratios within the ROIs. The mean TTP ratio/TTP delay between the penumbras' two ROIs showed a significant statistical difference (p < 0.001). The cutoff value between ROI 2 and ROI 3, as the viability threshold, was a TTP ratio of 1.29 (with a sensitivity and specificity of 86% and 73%, respectively) and a TTP delay of 7.8 sec (with a sensitivity and specificity of 84% and 72%, respectively).

CONCLUSION

Determining the viability thresholds for the TTP ratio/delay on the PWI may be helpful for selecting those patients who would benefit from the various therapeutic interventions that can be used during the acute phase of ischemic stroke.

摘要

目的

本研究旨在探讨超急性梗死中扩散与灌注参数之间的关系,并使用扩散加权成像(DWI)和灌注加权成像(PWI)分别确定缺血半暗带的存活阈值。

材料与方法

对12例急性脑卒中患者在症状发作后6小时内进行DWI和PWI检查。确定了三个感兴趣区域(ROI):ROI 1是DWI上的初始病变;ROI 2是DWI/PWI不匹配区域(半暗带),该区域随后进展为梗死;ROI 3是在随访扫描中恢复正常的不匹配区域。表观扩散系数(ADC)、相对脑血容量(rCBV)和达峰时间(TTP)的比值通过将病变的ROI除以对侧镜像ROI来计算,然后将这些值相互关联。使用受试者操作特征(ROC)曲线确定存活阈值。

结果

对于所有三个ROI,ADC比值与TTP比值具有显著的线性相关性(p < 0.001),但与rCBV比值无相关性(p = 0.280)。ROI内的ADC和rCBV比值无显著差异。两个半暗带ROI之间的平均TTP比值/TTP延迟显示出显著的统计学差异(p < 0.001)。作为存活阈值,ROI 2和ROI 3之间的临界值为TTP比值1.29(敏感性和特异性分别为86%和73%)和TTP延迟7.8秒(敏感性和特异性分别为84%和72%)。

结论

确定PWI上TTP比值/延迟的存活阈值可能有助于选择那些在缺血性脑卒中急性期可从各种治疗干预中获益的患者。

https://cdn.ncbi.nlm.nih.gov/pmc/blobs/0758/2686423/0c998be8e823/kjr-6-75-g003.jpg
https://cdn.ncbi.nlm.nih.gov/pmc/blobs/0758/2686423/5da1ad87e562/kjr-6-75-g001.jpg
https://cdn.ncbi.nlm.nih.gov/pmc/blobs/0758/2686423/dc3d9397be90/kjr-6-75-g002.jpg
https://cdn.ncbi.nlm.nih.gov/pmc/blobs/0758/2686423/0c998be8e823/kjr-6-75-g003.jpg
https://cdn.ncbi.nlm.nih.gov/pmc/blobs/0758/2686423/5da1ad87e562/kjr-6-75-g001.jpg
https://cdn.ncbi.nlm.nih.gov/pmc/blobs/0758/2686423/dc3d9397be90/kjr-6-75-g002.jpg
https://cdn.ncbi.nlm.nih.gov/pmc/blobs/0758/2686423/0c998be8e823/kjr-6-75-g003.jpg

相似文献

1
Assessment of tissue viability using diffusion- and perfusion-weighted MRI in hyperacute stroke.使用扩散加权和灌注加权磁共振成像评估超急性卒中的组织活力
Korean J Radiol. 2005 Apr-Jun;6(2):75-81. doi: 10.3348/kjr.2005.6.2.75.
2
Viability thresholds of ischemic penumbra of hyperacute stroke defined by perfusion-weighted MRI and apparent diffusion coefficient.通过灌注加权磁共振成像和表观扩散系数定义的超急性卒中缺血半暗带的存活阈值
Stroke. 2001 May;32(5):1140-6. doi: 10.1161/01.str.32.5.1140.
3
[Application of diffusion-weighted and perfusion magnetic resonance imaging in definition of the ischemic penumbra in hyperacute cerebral infarction].[弥散加权和灌注磁共振成像在超急性脑梗死缺血半暗带定义中的应用]
Zhonghua Yi Xue Za Zhi. 2003 Jun 10;83(11):952-7.
4
Diagnostic performance of PWI/DWI MRI parameters in discriminating hyperacute versus acute ischaemic stroke: finding the best thresholds.PWI/DWI MRI 参数在鉴别超急性期与急性期缺血性卒中中的诊断性能:寻找最佳阈值。
Clin Radiol. 2012 Mar;67(3):250-7. doi: 10.1016/j.crad.2011.08.020. Epub 2011 Oct 21.
5
Diffusion- and perfusion-weighted MRI. The DWI/PWI mismatch region in acute stroke.扩散加权磁共振成像和灌注加权磁共振成像。急性卒中中的弥散加权成像/灌注加权成像不匹配区域。
Stroke. 1999 Aug;30(8):1591-7. doi: 10.1161/01.str.30.8.1591.
6
Identifying thresholds for penumbra and irreversible tissue damage.确定半暗带和不可逆组织损伤的阈值。
Stroke. 2004 Nov;35(11 Suppl 1):2671-4. doi: 10.1161/01.STR.0000143329.81997.8a. Epub 2004 Sep 30.
7
Comparison of perfusion computed tomography and computed tomography angiography source images with perfusion-weighted imaging and diffusion-weighted imaging in patients with acute stroke of less than 6 hours' duration.发病时间小于6小时的急性卒中患者中灌注计算机断层扫描与计算机断层扫描血管造影源图像与灌注加权成像和扩散加权成像的比较。
Stroke. 2004 Jul;35(7):1652-8. doi: 10.1161/01.STR.0000131271.54098.22. Epub 2004 May 20.
8
Penumbra quantification from MR SWI-DWI mismatch and its comparison with MR ASL PWI-DWI mismatch in patients with acute ischemic stroke.从 MR SWI-DWI 不匹配中进行半影量化,并与急性缺血性脑卒中患者的 MR ASL PWI-DWI 不匹配进行比较。
NMR Biomed. 2021 Jul;34(7):e4526. doi: 10.1002/nbm.4526. Epub 2021 Apr 20.
9
SB 234551 selective ET(A) receptor antagonism: perfusion/diffusion MRI used to define treatable stroke model, time to treatment and mechanism of protection.SB 234551选择性内皮素A(ET(A))受体拮抗作用:灌注/扩散磁共振成像用于定义可治疗性中风模型、治疗时间及保护机制。
Exp Neurol. 2008 Jul;212(1):53-62. doi: 10.1016/j.expneurol.2008.03.011. Epub 2008 Mar 25.
10
Significance of 99mTc-ECD SPECT in acute and subacute ischemic stroke: comparison with MR images including diffusion and perfusion weighted images.99mTc-ECD单光子发射计算机断层扫描在急性和亚急性缺血性卒中中的意义:与包括弥散加权成像和灌注加权成像在内的磁共振图像比较
Yonsei Med J. 2002 Apr;43(2):211-22. doi: 10.3349/ymj.2002.43.2.211.

引用本文的文献

1
Estimating the volume of penumbra in rodents using DTI and stack-based ensemble machine learning framework.使用 DTI 和基于堆叠的集成机器学习框架估计啮齿动物的半影体积。
Eur Radiol Exp. 2024 May 15;8(1):59. doi: 10.1186/s41747-024-00455-z.

本文引用的文献

1
Assessing tissue viability with MR diffusion and perfusion imaging.利用磁共振扩散和灌注成像评估组织活力。
AJNR Am J Neuroradiol. 2003 Mar;24(3):436-43.
2
Which MR-derived perfusion parameters are the best predictors of infarct growth in hyperacute stroke? Comparative study between relative and quantitative measurements.哪些磁共振衍生的灌注参数是超急性卒中梗死灶扩大的最佳预测指标?相对测量与定量测量的比较研究。
Radiology. 2002 May;223(2):361-70. doi: 10.1148/radiol.2232010673.
3
Magnetic resonance perfusion-weighted imaging of acute cerebral infarction: effect of the calculation methods and underlying vasculopathy.
急性脑梗死的磁共振灌注加权成像:计算方法及潜在血管病变的影响
Stroke. 2002 Jan;33(1):87-94. doi: 10.1161/hs0102.101893.
4
Is there an apparent diffusion coefficient threshold in predicting tissue viability in hyperacute stroke?
Stroke. 2001 Nov;32(11):2486-91. doi: 10.1161/hs1101.098331.
5
The value of apparent diffusion coefficient maps in early cerebral ischemia.表观扩散系数图在早期脑缺血中的价值。
AJNR Am J Neuroradiol. 2001 Aug;22(7):1260-7.
6
Usefulness of magnetic resonance-derived quantitative measurements of cerebral blood flow and volume in prediction of infarct growth in hyperacute stroke.磁共振衍生的脑血流量和脑血容量定量测量在超急性卒中梗死灶生长预测中的应用价值
Stroke. 2001 May;32(5):1147-53. doi: 10.1161/01.str.32.5.1147.
7
Viability thresholds of ischemic penumbra of hyperacute stroke defined by perfusion-weighted MRI and apparent diffusion coefficient.通过灌注加权磁共振成像和表观扩散系数定义的超急性卒中缺血半暗带的存活阈值
Stroke. 2001 May;32(5):1140-6. doi: 10.1161/01.str.32.5.1140.
8
Cerebral hemodynamics in human acute ischemic stroke: a study with diffusion- and perfusion-weighted magnetic resonance imaging and SPECT.人类急性缺血性卒中的脑血流动力学:一项采用扩散加权磁共振成像、灌注加权磁共振成像和单光子发射计算机断层扫描的研究
J Cereb Blood Flow Metab. 2000 Jun;20(6):910-20. doi: 10.1097/00004647-200006000-00003.
9
Diffusion- and perfusion-weighted MRI: influence of severe carotid artery stenosis on the DWI/PWI mismatch in acute stroke.扩散加权与灌注加权磁共振成像:重度颈动脉狭窄对急性卒中弥散加权成像/灌注加权成像不匹配的影响
Stroke. 2000 Jun;31(6):1311-7. doi: 10.1161/01.str.31.6.1311.
10
The ischemic penumbra: operationally defined by diffusion and perfusion MRI.缺血半暗带:通过扩散加权磁共振成像和灌注加权磁共振成像进行操作性定义。
Neurology. 1999 Oct 22;53(7):1528-37. doi: 10.1212/wnl.53.7.1528.