• 文献检索
  • 文档翻译
  • 深度研究
  • 学术资讯
  • Suppr Zotero 插件Zotero 插件
  • 邀请有礼
  • 套餐&价格
  • 历史记录
应用&插件
Suppr Zotero 插件Zotero 插件浏览器插件Mac 客户端Windows 客户端微信小程序
定价
高级版会员购买积分包购买API积分包
服务
文献检索文档翻译深度研究API 文档MCP 服务
关于我们
关于 Suppr公司介绍联系我们用户协议隐私条款
关注我们

Suppr 超能文献

核心技术专利:CN118964589B侵权必究
粤ICP备2023148730 号-1Suppr @ 2026

文献检索

告别复杂PubMed语法,用中文像聊天一样搜索,搜遍4000万医学文献。AI智能推荐,让科研检索更轻松。

立即免费搜索

文件翻译

保留排版,准确专业,支持PDF/Word/PPT等文件格式,支持 12+语言互译。

免费翻译文档

深度研究

AI帮你快速写综述,25分钟生成高质量综述,智能提取关键信息,辅助科研写作。

立即免费体验

中性粒细胞弹性蛋白酶是肺气肿和肺纤维化之间缺失的环节吗?来自两种小鼠模型的证据。

Is neutrophil elastase the missing link between emphysema and fibrosis? Evidence from two mouse models.

作者信息

Lucattelli Monica, Bartalesi Barbara, Cavarra Eleonora, Fineschi Silvia, Lunghi Benedetta, Martorana Piero A, Lungarella Giuseppe

机构信息

Department of Physiopathology and Experimental Medicine, University of Siena, 53100 Siena, Italy.

出版信息

Respir Res. 2005 Jul 26;6(1):83. doi: 10.1186/1465-9921-6-83.

DOI:10.1186/1465-9921-6-83
PMID:16045796
原文链接:https://pmc.ncbi.nlm.nih.gov/articles/PMC1184102/
Abstract

BACKGROUND

The separation of emphysema from fibrosis is not as clear-cut as it was thought in early studies. These two pathologies may be present at the same time in human lungs and in mice either instilled with elastolytic enzymes or bleomycin or exposed to cigarette-smoke. According to a current view, emphysema originates from a protease/antiprotease imbalance, and a role for antiproteases has also been suggested in the modulation of the fibrotic process. In this study we investigate in experimental animal models of emphysema and fibrosis whether neutrophil elastase may constitute a pathogenic link between these two pathologies.

METHODS

This study was done in two animal models in which emphysema and fibrosis were induced either by bleomycin (BLM) or by chronic exposure to cigarette-smoke. In order to assess the protease-dependence of the BLM-induced lesion, a group mice was treated with 4-(2-aminoethyl)-benzenesulfonyl fluoride hydrochloride, a serine proteinase inhibitor active toward neutrophil elastase. Lungs from each experimental group were used for the immunohistochemical assessment of transforming growth factor-beta (TGF-beta) and transforming growth factor-alpha (TGF-alpha) and for determination of the mean linear intercept as well as the percent volume densities of fibrosis and of emphysematous changes. Additionally, the lungs were also assessed for desmosine content and for the determination of elastase levels in the pulmonary interstitium by means of immunoelectron microscopy.

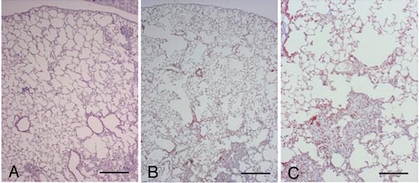
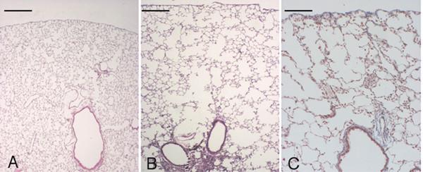
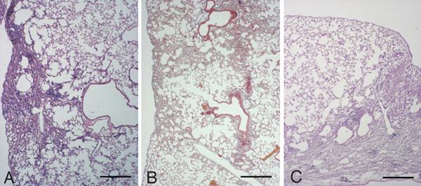
RESULTS

We demonstrate that in BLM-treated mice (i) the development of elastolytic emphysema precedes that of fibrosis; (ii) significant amount of elastase in alveolar interstitium is associated with an increased expression of TGF-beta and TGF-alpha; and finally, (iii) emphysematous and fibrotic lesions can be significantly attenuated by using a protease inhibitor active against neutrophil elastase. Also, in a strain of mice that develop both emphysema and fibrosis after chronic cigarette-smoke exposure, the presence of elastase in alveolar structures is associated with a positive immunohistochemical reaction for reaction for both TGF-beta and TGF-alpha.

CONCLUSION

The results of the present study strongly suggest that neutrophil elastase may represent a common pathogenic link between emphysema and fibrosis. Proteases and in particular neutrophil elastase could act as regulatory factors in the generation of soluble cytokines with mitogenic activity for mesenchymal cells resulting either in emphysema or in fibrosis or both.

摘要

背景

肺气肿与纤维化的区分并不像早期研究所认为的那样清晰。在人类肺部以及用弹性蛋白酶或博来霉素处理过的或暴露于香烟烟雾中的小鼠肺部,这两种病理状况可能同时存在。根据目前的观点,肺气肿源于蛋白酶/抗蛋白酶失衡,并且抗蛋白酶在纤维化过程的调节中也被认为发挥了作用。在本研究中,我们在肺气肿和纤维化的实验动物模型中探究中性粒细胞弹性蛋白酶是否可能构成这两种病理状况之间的致病联系。

方法

本研究在两种动物模型中进行,其中肺气肿和纤维化分别通过博来霉素(BLM)或长期暴露于香烟烟雾诱导。为了评估BLM诱导损伤对蛋白酶的依赖性,一组小鼠用4-(2-氨基乙基)-苯磺酰氟盐酸盐处理,这是一种对中性粒细胞弹性蛋白酶有活性的丝氨酸蛋白酶抑制剂。每个实验组的肺用于转化生长因子-β(TGF-β)和转化生长因子-α(TGF-α)的免疫组织化学评估,以及测定平均线性截距以及纤维化和肺气肿性改变的体积密度百分比。此外,还通过免疫电子显微镜评估肺中的锁链素含量并测定肺间质中的弹性蛋白酶水平。

结果

我们证明,在BLM处理的小鼠中,(i)弹性蛋白酶性肺气肿的发展先于纤维化;(ii)肺泡间质中大量的弹性蛋白酶与TGF-β和TGF-α表达增加相关;最后,(iii)使用对中性粒细胞弹性蛋白酶有活性的蛋白酶抑制剂可显著减轻肺气肿和纤维化病变。同样,在一组长期暴露于香烟烟雾后同时发生肺气肿和纤维化的小鼠中,肺泡结构中弹性蛋白酶的存在与TGF-β和TGF-α的阳性免疫组织化学反应相关。

结论

本研究结果强烈表明,中性粒细胞弹性蛋白酶可能代表肺气肿和纤维化之间的共同致病联系。蛋白酶,尤其是中性粒细胞弹性蛋白酶,可能作为可溶性细胞因子生成的调节因子,这些细胞因子对间充质细胞具有促有丝分裂活性,从而导致肺气肿或纤维化或两者皆有。

https://cdn.ncbi.nlm.nih.gov/pmc/blobs/64fb/1184102/a943e013ecd8/1465-9921-6-83-12.jpg
https://cdn.ncbi.nlm.nih.gov/pmc/blobs/64fb/1184102/18bc7baf0484/1465-9921-6-83-1.jpg
https://cdn.ncbi.nlm.nih.gov/pmc/blobs/64fb/1184102/2f221b75d45a/1465-9921-6-83-2.jpg
https://cdn.ncbi.nlm.nih.gov/pmc/blobs/64fb/1184102/2b26b3151a37/1465-9921-6-83-3.jpg
https://cdn.ncbi.nlm.nih.gov/pmc/blobs/64fb/1184102/bfe9c30053cc/1465-9921-6-83-4.jpg
https://cdn.ncbi.nlm.nih.gov/pmc/blobs/64fb/1184102/f8534f50ab61/1465-9921-6-83-5.jpg
https://cdn.ncbi.nlm.nih.gov/pmc/blobs/64fb/1184102/070881b82d28/1465-9921-6-83-6.jpg
https://cdn.ncbi.nlm.nih.gov/pmc/blobs/64fb/1184102/ef5da103adcd/1465-9921-6-83-7.jpg
https://cdn.ncbi.nlm.nih.gov/pmc/blobs/64fb/1184102/08bda88a4b92/1465-9921-6-83-8.jpg
https://cdn.ncbi.nlm.nih.gov/pmc/blobs/64fb/1184102/a4f8d8b07d5c/1465-9921-6-83-9.jpg
https://cdn.ncbi.nlm.nih.gov/pmc/blobs/64fb/1184102/4cda5c8f0c8c/1465-9921-6-83-10.jpg
https://cdn.ncbi.nlm.nih.gov/pmc/blobs/64fb/1184102/7a869404cb2c/1465-9921-6-83-11.jpg
https://cdn.ncbi.nlm.nih.gov/pmc/blobs/64fb/1184102/a943e013ecd8/1465-9921-6-83-12.jpg
https://cdn.ncbi.nlm.nih.gov/pmc/blobs/64fb/1184102/18bc7baf0484/1465-9921-6-83-1.jpg
https://cdn.ncbi.nlm.nih.gov/pmc/blobs/64fb/1184102/2f221b75d45a/1465-9921-6-83-2.jpg
https://cdn.ncbi.nlm.nih.gov/pmc/blobs/64fb/1184102/2b26b3151a37/1465-9921-6-83-3.jpg
https://cdn.ncbi.nlm.nih.gov/pmc/blobs/64fb/1184102/bfe9c30053cc/1465-9921-6-83-4.jpg
https://cdn.ncbi.nlm.nih.gov/pmc/blobs/64fb/1184102/f8534f50ab61/1465-9921-6-83-5.jpg
https://cdn.ncbi.nlm.nih.gov/pmc/blobs/64fb/1184102/070881b82d28/1465-9921-6-83-6.jpg
https://cdn.ncbi.nlm.nih.gov/pmc/blobs/64fb/1184102/ef5da103adcd/1465-9921-6-83-7.jpg
https://cdn.ncbi.nlm.nih.gov/pmc/blobs/64fb/1184102/08bda88a4b92/1465-9921-6-83-8.jpg
https://cdn.ncbi.nlm.nih.gov/pmc/blobs/64fb/1184102/a4f8d8b07d5c/1465-9921-6-83-9.jpg
https://cdn.ncbi.nlm.nih.gov/pmc/blobs/64fb/1184102/4cda5c8f0c8c/1465-9921-6-83-10.jpg
https://cdn.ncbi.nlm.nih.gov/pmc/blobs/64fb/1184102/7a869404cb2c/1465-9921-6-83-11.jpg
https://cdn.ncbi.nlm.nih.gov/pmc/blobs/64fb/1184102/a943e013ecd8/1465-9921-6-83-12.jpg

相似文献

1
Is neutrophil elastase the missing link between emphysema and fibrosis? Evidence from two mouse models.中性粒细胞弹性蛋白酶是肺气肿和肺纤维化之间缺失的环节吗?来自两种小鼠模型的证据。
Respir Res. 2005 Jul 26;6(1):83. doi: 10.1186/1465-9921-6-83.
2
Neutrophil influx into the lungs of beige mice is followed by elastolytic damage and emphysema.嗜中性粒细胞流入米色小鼠肺部后,会出现弹性蛋白酶损伤和肺气肿。
Am J Respir Cell Mol Biol. 1999 Feb;20(2):264-9. doi: 10.1165/ajrcmb.20.2.3235.
3
Pallid mice with genetic emphysema. Neutrophil elastase burden and elastin loss occur without alteration in the bronchoalveolar lavage cell population.患有遗传性肺气肿的苍白小鼠。中性粒细胞弹性蛋白酶负荷和弹性蛋白损失在支气管肺泡灌洗细胞群体无改变的情况下发生。
Lab Invest. 1995 Jul;73(1):40-7.
4
A neutrophil elastase inhibitor prevents bleomycin-induced pulmonary fibrosis in mice.一种中性粒细胞弹性蛋白酶抑制剂可预防博来霉素诱导的小鼠肺纤维化。
Eur Respir J. 2012 Dec;40(6):1475-82. doi: 10.1183/09031936.00127011. Epub 2012 Mar 22.
5
Mice lacking neutrophil elastase are resistant to bleomycin-induced pulmonary fibrosis.缺乏中性粒细胞弹性蛋白酶的小鼠对博来霉素诱导的肺纤维化具有抗性。
Am J Pathol. 2007 Jan;170(1):65-74. doi: 10.2353/ajpath.2007.060352.
6
Administration of a specific inhibitor of neutrophil elastase attenuates pulmonary fibrosis after acute lung injury in mice.给予中性粒细胞弹性蛋白酶的特异性抑制剂可减轻小鼠急性肺损伤后的肺纤维化。
Exp Lung Res. 2012 Feb;38(1):28-36. doi: 10.3109/01902148.2011.633306. Epub 2011 Dec 8.
7
High cathepsin B activity in alveolar macrophages occurs with elastase-induced emphysema but not with bleomycin-induced pulmonary fibrosis in hamsters.在仓鼠中,肺泡巨噬细胞中组织蛋白酶B活性升高与弹性蛋白酶诱导的肺气肿有关,但与博来霉素诱导的肺纤维化无关。
Am J Pathol. 1988 Apr;131(1):92-101.
8
Synthetic serine elastase inhibitor reduces cigarette smoke-induced emphysema in guinea pigs.合成丝氨酸弹性蛋白酶抑制剂可减轻香烟烟雾诱导的豚鼠肺气肿。
Am J Respir Crit Care Med. 2002 Oct 1;166(7):954-60. doi: 10.1164/rccm.200202-098OC.
9
Neutrophil recruitment into the lungs is associated with increased lung elastase burden, decreased lung elastin, and emphysema in alpha 1 proteinase inhibitor-deficient mice.在α1抗胰蛋白酶缺乏的小鼠中,中性粒细胞向肺内募集与肺弹性蛋白酶负荷增加、肺弹性蛋白减少以及肺气肿有关。
Lab Invest. 1996 Aug;75(2):273-80.
10
Pathogenesis of COPD. Part I. The role of protease-antiprotease imbalance in emphysema.慢性阻塞性肺疾病的发病机制。第一部分。蛋白酶-抗蛋白酶失衡在肺气肿中的作用。
Int J Tuberc Lung Dis. 2008 Apr;12(4):361-7.

引用本文的文献

1
Immunohistochemical Study of Airways Fibrous Remodeling in Smoking Mice.吸烟小鼠气道纤维化重塑的免疫组织化学研究。
J Histochem Cytochem. 2023 Nov;71(11):577-599. doi: 10.1369/00221554231204926. Epub 2023 Oct 11.
2
Proteolysis and Deficiency of α1-Proteinase Inhibitor in SARS-CoV-2 Infection.新型冠状病毒肺炎感染中的α1-蛋白酶抑制剂的蛋白水解作用与缺乏
Biochem Mosc Suppl B Biomed Chem. 2022;16(4):271-291. doi: 10.1134/S1990750822040035. Epub 2022 Nov 16.
3
Combined Pulmonary Fibrosis Emphysema: Role of Cigarette Smoking and Pulmonary Hypertension in a Rural Cohort.

本文引用的文献

1
Different lung responses to cigarette smoke in two strains of mice sensitive to oxidants.对氧化剂敏感的两种品系小鼠对香烟烟雾的不同肺部反应。
Eur Respir J. 2005 Jan;25(1):15-22. doi: 10.1183/09031936.04.00067204.
2
Human leukocyte elastase induces keratinocyte proliferation by epidermal growth factor receptor activation.人类白细胞弹性蛋白酶通过激活表皮生长因子受体诱导角质形成细胞增殖。
J Invest Dermatol. 2004 Aug;123(2):338-45. doi: 10.1111/j.0022-202X.2004.23202.x.
3
Elastase mediates the release of growth factors from lung in vivo.
合并性肺纤维化肺气肿:农村队列中吸烟和肺动脉高压的作用。
Int J Chron Obstruct Pulmon Dis. 2021 Jun 21;16:1873-1885. doi: 10.2147/COPD.S307192. eCollection 2021.
4
Innate Immunity and Cell Surface Receptors in the Pathogenesis of COPD: Insights from Mouse Smoking Models.先天免疫和细胞表面受体在 COPD 发病机制中的作用:来自小鼠吸烟模型的见解。
Int J Chron Obstruct Pulmon Dis. 2020 May 20;15:1143-1154. doi: 10.2147/COPD.S246219. eCollection 2020.
5
Functional contribution of sphingosine-1-phosphate to airway pathology in cigarette smoke-exposed mice.鞘氨醇-1-磷酸对香烟暴露小鼠气道病理学的功能贡献。
Br J Pharmacol. 2020 Jan;177(2):267-281. doi: 10.1111/bph.14861. Epub 2019 Nov 6.
6
Inflammatory signature in lung tissues in patients with combined pulmonary fibrosis and emphysema.肺纤维化合并肺气肿患者肺组织中的炎症特征。
Biomarkers. 2019 May;24(3):232-239. doi: 10.1080/1354750X.2018.1542458. Epub 2018 Nov 19.
7
Interstital lung disease in ANCA vasculitis.抗中性粒细胞胞浆抗体血管炎相关间质性肺疾病
Autoimmun Rev. 2017 Jul;16(7):722-729. doi: 10.1016/j.autrev.2017.05.008. Epub 2017 May 4.
8
Cigarette Smoke Enhances the Expression of Profibrotic Molecules in Alveolar Epithelial Cells.香烟烟雾增强肺泡上皮细胞中促纤维化分子的表达。
PLoS One. 2016 Mar 2;11(3):e0150383. doi: 10.1371/journal.pone.0150383. eCollection 2016.
9
Combined pulmonary fibrosis and emphysema (CPFE): an entity different from emphysema or pulmonary fibrosis alone.合并性肺纤维化和肺气肿(CPFE):一种不同于单纯肺气肿或肺纤维化的病症。
J Thorac Dis. 2015 Apr;7(4):767-79. doi: 10.3978/j.issn.2072-1439.2015.04.17.
10
Laninamivir octanoate and artificial surfactant combination therapy significantly increases survival of mice infected with lethal influenza H1N1 Virus.八氮杂环壬烷羧酸酯和人工表面活性剂联合治疗显著提高感染致死性流感 H1N1 病毒小鼠的存活率。
PLoS One. 2012;7(8):e42419. doi: 10.1371/journal.pone.0042419. Epub 2012 Aug 1.
弹性蛋白酶在体内介导肺中生长因子的释放。
Am J Respir Cell Mol Biol. 2004 Sep;31(3):344-50. doi: 10.1165/rcmb.2003-0420OC. Epub 2004 Jun 10.
4
Collagen phagocytosis by lung alveolar macrophages in animal models of emphysema.肺气肿动物模型中肺肺泡巨噬细胞对胶原蛋白的吞噬作用。
Eur Respir J. 2003 Nov;22(5):728-34. doi: 10.1183/09031936.03.00047603.
5
Fibroblast phenotypes in pulmonary fibrosis.肺纤维化中的成纤维细胞表型
Am J Respir Cell Mol Biol. 2003 Sep;29(3 Suppl):S87-92.
6
The role of heme oxygenase-1 in pulmonary fibrosis.血红素加氧酶-1在肺纤维化中的作用。
Am J Respir Cell Mol Biol. 2003 Sep;29(3 Suppl):S82-6.
7
Idiopathic pulmonary fibrosis. New insights into classification and pathogenesis usher in a new era therapeutic approaches.特发性肺纤维化。分类和发病机制的新见解开启了治疗方法的新时代。
Am J Respir Cell Mol Biol. 2003 Sep;29(3 Suppl):S27-31.
8
Loss of integrin alpha(v)beta6-mediated TGF-beta activation causes Mmp12-dependent emphysema.整合素α(v)β6介导的转化生长因子-β激活缺失导致依赖基质金属蛋白酶12的肺气肿。
Nature. 2003 Mar 13;422(6928):169-73. doi: 10.1038/nature01413.
9
Cytokines in the pathogenesis of chronic obstructive pulmonary disease.细胞因子在慢性阻塞性肺疾病发病机制中的作用
Curr Pharm Des. 2003;9(1):25-38. doi: 10.2174/1381612033392440.
10
Urinary desmosine excretion is inversely correlated with the extent of emphysema in patients with chronic obstructive pulmonary disease.在慢性阻塞性肺疾病患者中,尿中锁链素排泄量与肺气肿程度呈负相关。
Int J Biochem Cell Biol. 2002 Jun;34(6):594-604. doi: 10.1016/s1357-2725(02)00015-8.