• 文献检索
  • 文档翻译
  • 深度研究
  • 学术资讯
  • Suppr Zotero 插件Zotero 插件
  • 邀请有礼
  • 套餐&价格
  • 历史记录
应用&插件
Suppr Zotero 插件Zotero 插件浏览器插件Mac 客户端Windows 客户端微信小程序
定价
高级版会员购买积分包购买API积分包
服务
文献检索文档翻译深度研究API 文档MCP 服务
关于我们
关于 Suppr公司介绍联系我们用户协议隐私条款
关注我们

Suppr 超能文献

核心技术专利:CN118964589B侵权必究
粤ICP备2023148730 号-1Suppr @ 2026

文献检索

告别复杂PubMed语法,用中文像聊天一样搜索,搜遍4000万医学文献。AI智能推荐,让科研检索更轻松。

立即免费搜索

文件翻译

保留排版,准确专业,支持PDF/Word/PPT等文件格式,支持 12+语言互译。

免费翻译文档

深度研究

AI帮你快速写综述,25分钟生成高质量综述,智能提取关键信息,辅助科研写作。

立即免费体验

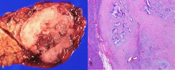
胰腺黏液性囊腺瘤,以形成实性肿瘤的间质为主。

Mucinous cystadenoma of the pancreas with predominant stroma creating a solid tumor.

作者信息

Lee Won Ae

机构信息

Department of Pathology, College of Medicine, Dankook University, Cheonan, Republic of Korea.

出版信息

World J Surg Oncol. 2005 Sep 7;3:59. doi: 10.1186/1477-7819-3-59.

DOI:10.1186/1477-7819-3-59
PMID:16146567
原文链接:https://pmc.ncbi.nlm.nih.gov/articles/PMC1236970/
Abstract

BACKGROUND

Mucinous cystic neoplasm (MCN) of the pancreas is basically cystic epithelial neoplasm, unilocular or multilocular, occurring almost exclusively in women.

CASE PRESENTATION

A 51-year-old female presented with a pancreatic mass incidentally found on the abdominal computed tomography. She underwent distal pancreatectomy. The sectioned surface of the pancreas revealed a circumscribed, whitish gray ovoid firm mass with some cystic spaces. Microscopically, glandular or small cystic structures were scattered in the predominant stroma creating a solid appearance. The subepithelial stromal component was composed of cytologically bland looking spindle cells, which resembled ovarian stroma. The stromal cells were reactive to CD 34, vimentin, progesterone receptor and calretinin. The microscopy was consistent with mucinous cystadenoma of the pancreas.

CONCLUSION

This case of mucinous cystadenoma of the pancreas showed very interesting pathology: It was solid rather than cystic, and accompanied by abundant benign transitional epithelia, which was a very unusual and novel finding in the mucinous cystic neoplasm of the pancreas.

摘要

背景

胰腺黏液性囊性肿瘤(MCN)基本上是一种囊性上皮性肿瘤,单房或多房,几乎仅发生于女性。

病例报告

一名51岁女性因腹部计算机断层扫描偶然发现胰腺肿物。她接受了胰腺远端切除术。胰腺的切面显示有一个边界清楚、灰白色卵圆形坚实肿物,伴有一些囊腔。显微镜下,腺管或小囊状结构散在于主要的间质中,形成实性外观。上皮下间质成分由细胞学表现温和的梭形细胞组成,类似卵巢间质。间质细胞对CD 34、波形蛋白、孕激素受体和钙视网膜蛋白呈阳性反应。显微镜检查结果符合胰腺黏液性囊腺瘤。

结论

该例胰腺黏液性囊腺瘤显示出非常有趣的病理学特征:它是实性而非囊性,并且伴有丰富的良性移行上皮,这在胰腺黏液性囊性肿瘤中是非常不寻常且新颖的发现。

https://cdn.ncbi.nlm.nih.gov/pmc/blobs/ad48/1236970/cf7f50e0170f/1477-7819-3-59-3.jpg
https://cdn.ncbi.nlm.nih.gov/pmc/blobs/ad48/1236970/be7b9ef9a1c8/1477-7819-3-59-1.jpg
https://cdn.ncbi.nlm.nih.gov/pmc/blobs/ad48/1236970/386652a309a2/1477-7819-3-59-2.jpg
https://cdn.ncbi.nlm.nih.gov/pmc/blobs/ad48/1236970/cf7f50e0170f/1477-7819-3-59-3.jpg
https://cdn.ncbi.nlm.nih.gov/pmc/blobs/ad48/1236970/be7b9ef9a1c8/1477-7819-3-59-1.jpg
https://cdn.ncbi.nlm.nih.gov/pmc/blobs/ad48/1236970/386652a309a2/1477-7819-3-59-2.jpg
https://cdn.ncbi.nlm.nih.gov/pmc/blobs/ad48/1236970/cf7f50e0170f/1477-7819-3-59-3.jpg

相似文献

1
Mucinous cystadenoma of the pancreas with predominant stroma creating a solid tumor.胰腺黏液性囊腺瘤,以形成实性肿瘤的间质为主。
World J Surg Oncol. 2005 Sep 7;3:59. doi: 10.1186/1477-7819-3-59.
2
Mucinous cystadenoma of the pancreas 17 years after excision of gallbladder because of a choledochal cyst.因胆总管囊肿行胆囊切除术后17年发生的胰腺黏液性囊腺瘤。
J Gastroenterol. 2004;39(2):181-7. doi: 10.1007/s00535-003-1271-z.
3
Undifferentiated carcinoma with osteoclast-like giant cells arising in a mucinous cystic neoplasm of the pancreas.胰腺黏液性囊性肿瘤中出现的伴有破骨细胞样巨细胞的未分化癌。
Pathol Int. 2008 Jun;58(6):383-9. doi: 10.1111/j.1440-1827.2008.02240.x.
4
Pancreatic, hepatic, splenic, and mesenteric mucinous cystic neoplasms (MCN) are lumped together as extra ovarian MCN.胰腺、肝脏、脾脏和肠系膜黏液性囊性肿瘤(MCN)被统称为卵巢外MCN。
Pathol Int. 2006 Feb;56(2):71-7. doi: 10.1111/j.1440-1827.2006.01926.x.
5
Anaplastic carcinoma of the pancreas associated with a mucinous cystic adenocarcinoma. A case report and review of the literature.胰腺间变性癌合并黏液性囊性腺癌。病例报告及文献复习。
JOP. 2007 Nov 9;8(6):775-82.
6
Unilocular acinar cell cystadenoma of the pancreas an unusual acinar cell tumor.胰腺单房腺泡细胞囊腺瘤——一种罕见的腺泡细胞肿瘤。
Am J Clin Pathol. 2002 Aug;118(2):211-4. doi: 10.1309/JQQ1-06NY-0F3J-PEU9.
7
Mucinous cystic neoplasm of the pancreas: a case report.胰腺黏液性囊性肿瘤:一例病例报告
Chir Ital. 2009 May-Jun;61(3):375-9.
8
[Mucinous cystic tumour of the pancreas. A case report].[胰腺黏液性囊性肿瘤。病例报告]
Chir Ital. 2006 May-Jun;58(3):367-72.
9
Two cases of non-mucinous cystadenomas of the pancreas with pancreatobiliary phenotype and ovarian-like stroma.两例具有胰胆管表型和卵巢样间质的胰腺非黏液性囊腺瘤。
Surg Case Rep. 2019 Jul 23;5(1):117. doi: 10.1186/s40792-019-0673-y.
10
Microcystic stromal tumor of the ovary: report of 16 cases of a hitherto uncharacterized distinctive ovarian neoplasm.卵巢微囊性间质瘤:16例一种迄今未明确特征的独特卵巢肿瘤的报告
Am J Surg Pathol. 2009 Mar;33(3):367-75. doi: 10.1097/PAS.0b013e31818479c3.

引用本文的文献

1
Malignant Transformation of an Epidermoid Cyst in an Intrapancreatic Accessory Spleen: A Case Report.胰腺内副脾表皮样囊肿的恶性转化:一例报告
Nucl Med Mol Imaging. 2020 Feb;54(1):58-60. doi: 10.1007/s13139-019-00631-9. Epub 2019 Dec 21.
2
Pancreatic mucinous cystic tumor in Turner syndrome: How a tumor bends to a genetic disease.特纳综合征中的胰腺黏液性囊性肿瘤:肿瘤如何适应一种遗传性疾病。
Int J Surg Case Rep. 2013;4(11):1028-31. doi: 10.1016/j.ijscr.2013.09.003. Epub 2013 Sep 12.
3
Rapid growth of mucinous cystic adenoma of the pancreas following pregnancy.

本文引用的文献

1
Inhibin expression in ovarian-type stroma in mucinous cystic neoplasms of the pancreas.抑制素在胰腺黏液性囊性肿瘤的卵巢型间质中的表达。
Appl Immunohistochem Mol Morphol. 2004 Jun;12(2):148-52. doi: 10.1097/00129039-200406000-00009.
2
Cystic neoplasm of the pancreas: a Japanese multiinstitutional study of intraductal papillary mucinous tumor and mucinous cystic tumor.胰腺囊性肿瘤:一项关于导管内乳头状黏液性肿瘤和黏液性囊性肿瘤的日本多机构研究。
Pancreas. 2004 Apr;28(3):241-6. doi: 10.1097/00006676-200404000-00005.
3
Stromal tumor of the pancreas with expression of c-kit protein: report of a case.
妊娠后胰腺黏液性囊性腺瘤迅速生长。
Int J Gastrointest Cancer. 2006;37(1):45-8. doi: 10.1385/IJGC:37:1:45.
胰腺间质瘤伴c-kit蛋白表达:一例报告
J Gastroenterol Hepatol. 2004 Apr;19(4):467-70. doi: 10.1111/j.1440-1746.2003.02891.x.
4
Inflammatory myofibroblastic tumor (IMT) of the pancreas.胰腺炎性肌成纤维细胞瘤(IMT)
J Hepatobiliary Pancreat Surg. 2002;9(1):116-9. doi: 10.1007/s005340200013.
5
WHO-classification 2000: exocrine pancreatic tumors.世界卫生组织2000年分类:胰腺外分泌肿瘤。
Verh Dtsch Ges Pathol. 2001;85:219-28.
6
Solid-pseudopapillary tumor of the pancreas: a typically cystic carcinoma of low malignant potential.胰腺实性假乳头状肿瘤:一种典型的低恶性潜能囊性癌。
Semin Diagn Pathol. 2000 Feb;17(1):66-80.
7
Mucinous cystic neoplasms of the pancreas.胰腺黏液性囊性肿瘤
Semin Diagn Pathol. 2000 Feb;17(1):31-42.
8
Pancreatic mucinous cystic neoplasms with sarcomatous stroma: molecular evidence for monoclonal origin with subsequent divergence of the epithelial and sarcomatous components.伴有肉瘤样间质的胰腺黏液性囊性肿瘤:上皮和肉瘤样成分单克隆起源及随后分化的分子证据
Mod Pathol. 2000 Jan;13(1):86-91. doi: 10.1038/modpathol.3880013.
9
Mucinous cystic tumors of the pancreas: clinicopathological features, prognosis, and relationship to other mucinous cystic tumors.胰腺黏液性囊性肿瘤:临床病理特征、预后及与其他黏液性囊性肿瘤的关系
Am J Surg Pathol. 1999 Apr;23(4):410-22. doi: 10.1097/00000478-199904000-00005.
10
Mucinous cystic neoplasm (mucinous cystadenocarcinoma of low-grade malignant potential) of the pancreas: a clinicopathologic study of 130 cases.胰腺黏液性囊性肿瘤(低度恶性潜能黏液性囊腺癌):130例临床病理研究
Am J Surg Pathol. 1999 Jan;23(1):1-16. doi: 10.1097/00000478-199901000-00001.