Suppr超能文献

Neogenin的表达可能与人类乳腺癌的致瘤性呈负相关。

Neogenin expression may be inversely correlated to the tumorigenicity of human breast cancer.

作者信息

Lee Jeong Eon, Kim Hee Joung, Bae Ji Yeon, Kim Seok Won, Park Joon-Suk, Shin Hyuk Jai, Han Wonshik, Kim Sung-Won, Kang Kyung-Sun, Noh Dong-Young

机构信息

Department of Surgery, Seoul National University College of Medicine, 28 Yongon-dong, Seoul 110-744, Korea.

出版信息

BMC Cancer. 2005 Dec 3;5:154. doi: 10.1186/1471-2407-5-154.

Abstract

BACKGROUND

Neogenin is expressed in cap cells that have been suggested to be mammary stem or precursor cells. Neogenin is known to play an important role in mammary morphogenesis; however its relationship to tumorigenesis remains to be elucidated.

METHODS

To compare the expression levels of neogenin in cells with different tumorigenicity, the expression levels in M13SV1, M13SV1R2 and M13SV1R2N1 cells, which are immortalized derivatives of type I human breast epithelial cells, were evaluated. Then we measured the expression level of neogenin in paired normal and cancer tissues from eight breast cancer patients. Tissue array analysis was performed for 54 human breast tissue samples with different histology, and the results were divided into four categories (none, weak, moderate, strong) by a single well-trained blinded pathologist and statistically analyzed.

RESULTS

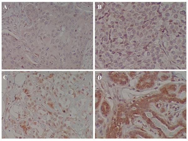
The nontumorigenic M13SV1 cells and normal tissues showed stronger expression of neogenin than the M13SV1R2N1 cells and the paired cancer tissues. In the tissue array, all (8/8) of the normal breast tissues showed strong neogenin expression, while 93.5% (43/46) of breast cancer tissues had either no expression or only moderate levels of neogenin expression. There was a significant difference, in the expression level of neogenin, in comparisons between normal and infiltrating ductal carcinoma (p < 0.001).

CONCLUSION

Neogenin may play a role in mammary carcinogenesis as well as morphogenesis, and the expression may be inversely correlated with mammary carcinogenicity. The value of neogenin as a potential prognostic factor needs further evaluation.

摘要

背景

Neogenin在被认为是乳腺干细胞或前体细胞的帽细胞中表达。已知Neogenin在乳腺形态发生中起重要作用;然而,其与肿瘤发生的关系仍有待阐明。

方法

为了比较具有不同致瘤性的细胞中Neogenin的表达水平,评估了I型人乳腺上皮细胞的永生化衍生物M13SV1、M13SV1R2和M13SV1R2N1细胞中的表达水平。然后我们测量了8例乳腺癌患者配对的正常组织和癌组织中Neogenin的表达水平。对54份具有不同组织学类型的人乳腺组织样本进行组织芯片分析,结果由一位训练有素的单盲病理学家分为四类(无、弱、中度、强)并进行统计学分析。

结果

非致瘤性M13SV1细胞和正常组织中Neogenin的表达强于M13SV1R2N1细胞和配对的癌组织。在组织芯片中,所有(8/8)正常乳腺组织均显示Neogenin强表达,而93.5%(43/46)的乳腺癌组织无表达或仅为中度Neogenin表达水平。正常组织与浸润性导管癌之间Neogenin表达水平存在显著差异(p < 0.001)。

结论

Neogenin可能在乳腺致癌作用以及形态发生中起作用,其表达可能与乳腺致癌性呈负相关。Neogenin作为潜在预后因素的价值需要进一步评估。

https://cdn.ncbi.nlm.nih.gov/pmc/blobs/0810/1322231/fed4ba7e3d14/1471-2407-5-154-1.jpg

文献AI研究员

20分钟写一篇综述,助力文献阅读效率提升50倍。

立即体验

用中文搜PubMed

大模型驱动的PubMed中文搜索引擎

马上搜索

文档翻译

学术文献翻译模型,支持多种主流文档格式。

立即体验