Suppr超能文献

黄单胞菌菌株的外膜蛋白和脂多糖。

Outer Membrane Proteins and Lipopolysaccharides in Pathovars of Xanthomonas campestris.

机构信息

Department of General Microbiology, University of Helsinki, P.O. Box 41 (Mannerheimintie 172), SF-00014 Helsinki, and Department of Molecular Bacteriology, National Public Health Institute, SF-00300 Helsinki, Finland.

出版信息

Appl Environ Microbiol. 1993 Dec;59(12):4143-51. doi: 10.1128/aem.59.12.4143-4151.1993.

Abstract

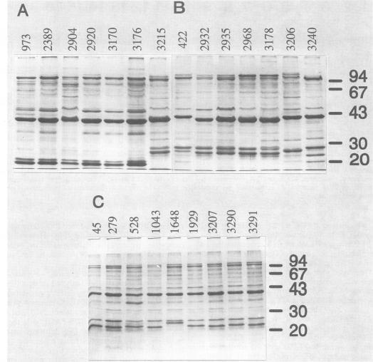
Variations in the outer membrane proteins (OMPs) and lipopolysaccharides (LPSs) of 54 isolates belonging to 16 different pathovars of Xanthomonas campestris were characterized. OMP samples prepared by sarcosyl extraction of cell walls and LPS samples prepared by proteinase K treatment of sonicated cells were analyzed by sodium dodecyl sulfate-polyacrylamide gel electrophoresis in the presence of 4 M urea. In general, the OMP and LPS profiles within each pathovar were very similar but different from the profiles of other pathovars. Heterogeneity in OMP and LPS profiles was observed within X. campestris pv. campestris, X. campestris pv. translucens, and X. campestris pv. vesicatoria. LPSs were isolated from six X. campestris pathovars, which fell into two major groups on the basis of O antigenicity. The O antigens of X. campestris pv. begoniae, X. campestris pv. graminis, and X. campestris pv. translucens cross-reacted with each other; the other group consisted of X. campestris pv. campestris, X. campestris pv. pelargonii, and X. campestris pv. vesicatoria. A chemical analysis revealed a significant difference between the compositions of the neutral sugars of the LPSs of those two groups; the LPSs of the first group contained xylose and a 6-deoxy-3-O-methyl hexose, whereas the LPSs of the other group lacked both sugars.

摘要

对属于 16 个不同致病变种的 54 个黄单胞菌分离株的外膜蛋白(OMPs)和脂多糖(LPSs)的变异进行了特征描述。通过用十二烷基硫酸钠-聚丙烯酰胺凝胶电泳在 4 M 尿素存在下对细胞壁的肌氨酸提取制备 OMP 样品,并用超声处理细胞的蛋白酶 K 处理制备 LPS 样品。一般来说,每个致病变种内的 OMP 和 LPS 图谱非常相似,但与其他致病变种的图谱不同。在野油菜黄单胞菌 pv. campestris、野油菜黄单胞菌 pv. translucens 和野油菜黄单胞菌 pv. vesicatoria 中观察到 OMP 和 LPS 图谱的异质性。从六个黄单胞菌致病变种中分离出 LPS,根据 O 抗原性分为两个主要组。野油菜黄单胞菌 pv. begoniae、野油菜黄单胞菌 pv. graminis 和野油菜黄单胞菌 pv. translucens 的 O 抗原相互交叉反应;另一组由野油菜黄单胞菌 pv. campestris、野油菜黄单胞菌 pv. pelargonii 和野油菜黄单胞菌 pv. vesicatoria 组成。化学分析表明,这两组 LPS 中性糖的组成存在显著差异;第一组 LPS 含有木糖和 6-去氧-3-O-甲基己糖,而另一组 LPS 则缺乏这两种糖。

https://cdn.ncbi.nlm.nih.gov/pmc/blobs/d1cc/195878/9def19fdcd9d/aem00041-0177-a.jpg

文献AI研究员

20分钟写一篇综述,助力文献阅读效率提升50倍。

立即体验

用中文搜PubMed

大模型驱动的PubMed中文搜索引擎

马上搜索

文档翻译

学术文献翻译模型,支持多种主流文档格式。

立即体验