Gaither Kecia, Ardite Andrea, Mason Tina C
Department of Ob/Gyn, Brookdale University Hospital and Medical Center, Brooklyn, NY 11212, USA.
J Natl Med Assoc. 2005 Oct;97(10):1411-3.
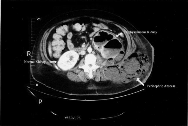
Emphysematous pyonephrosis is a rare, rapidly progressive infection characterized by the presence of exudative material and fermentative gases within a dilated renal collecting system. This unusual clinical entity is noted almost exclusively in diabetic patients, often in conjunction with chronic urinary tract infection and obstruction. In most instances, E. coli is the etiologic agent; however other enterobacteriaceae may be isolated. High fever, leukocytosis, renal parenchymal necrosis and the accumulation of gases in the kidney and perinephric tissues are the hallmark of this condition. Surgical resection of the involved tissue and systemic antibiotic administration are among the primary mainstays of therapy. We present a unique case of a pregnant patient with fulminant emphysematous pyonephrosis and the successful treatment rendered.