Suppr超能文献

轻度人类糖尿病性神经病变中的神经内膜毛细血管异常

Endoneurial capillary abnormalities in mild human diabetic neuropathy.

作者信息

Malik R A, Veves A, Masson E A, Sharma A K, Ah-See A K, Schady W, Lye R H, Boulton A J

机构信息

Department of Anatomy, Aberdeen Royal Infirmary.

出版信息

J Neurol Neurosurg Psychiatry. 1992 Jul;55(7):557-61. doi: 10.1136/jnnp.55.7.557.

Abstract

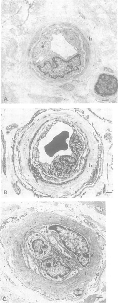
Microvascular factors have been implicated in the pathogenesis of human diabetic neuropathy. The extent of microangiopathy was assessed in 15 diabetic patients with clinically mild neuropathy and compared with eight age matched control subjects. Endoneurial capillary density was reduced (p less than 0.04) and correlated significantly with reduced myelinated fibre density (p less than 0.01). Both basement membrane area (p less than 0.0001) and endothelial cell profile number per capillary (p less than 0.002) were significantly increased in diabetic patients and correlated significantly with both neurophysiological and neuropathological measures of neuropathic severity. There was no evidence of endothelial cell hypertrophy as assessed by either cross sectional endothelial cell area or a reduction in luminal size. Furthermore, the percentage of closed vessels did not differ between diabetic patients and control subjects and failed to relate to measures of neuropathic severity. It was concluded that microvascular abnormalities are prominent in patients with clinically mild human diabetic neuropathy, and that these data provide further support for the role of endoneurial capillary disease in the development of this condition.

摘要

微血管因素与人类糖尿病性神经病变的发病机制有关。对15例临床症状较轻的糖尿病性神经病变患者的微血管病变程度进行了评估,并与8名年龄匹配的对照受试者进行了比较。神经内膜毛细血管密度降低(p<0.04),且与有髓纤维密度降低显著相关(p<0.01)。糖尿病患者的基底膜面积(p<0.0001)和每根毛细血管的内皮细胞轮廓数(p<0.002)均显著增加,且与神经病变严重程度的神经生理学和神经病理学指标均显著相关。通过横断面内皮细胞面积或管腔大小减小评估,均未发现内皮细胞肥大的证据。此外,糖尿病患者和对照受试者之间闭合血管的百分比没有差异,且与神经病变严重程度指标无关。得出的结论是,微血管异常在临床症状较轻的人类糖尿病性神经病变患者中很突出,并且这些数据为神经内膜毛细血管疾病在这种疾病发展中的作用提供了进一步的支持。

https://cdn.ncbi.nlm.nih.gov/pmc/blobs/ecb7/489165/134bd6345d3e/jnnpsyc00492-0032-a.jpg

文献检索

告别复杂PubMed语法,用中文像聊天一样搜索,搜遍4000万医学文献。AI智能推荐,让科研检索更轻松。

立即免费搜索

文件翻译

保留排版,准确专业,支持PDF/Word/PPT等文件格式,支持 12+语言互译。

免费翻译文档

深度研究

AI帮你快速写综述,25分钟生成高质量综述,智能提取关键信息,辅助科研写作。

立即免费体验