Institut für Biologie III, Universität Freiburg, Schänzlestrasse 1, D-7800 Freiburg, FRG.
EMBO J. 1987 Jun;6(6):1791-7. doi: 10.1002/j.1460-2075.1987.tb02432.x.
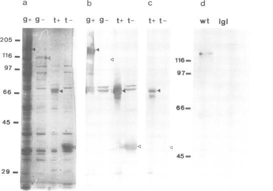
In the fruitfly Drosophila melanogaster the recessive mutation lethal (2) giant larvae affects cell growth and cell adhesion properties of neural and imaginal disc cells during embryonic and larval development. Here we report the nucleotide sequence of a cDNA from one of the two major transcripts of the l (2) gl gene containing a 3.5-kb open reading frame. From the deduced amino acid sequence we predict a 130-kd protein with certain sequence similarities to proteins with cell adhesion properties. We have raised antibodies against bacterial fusion proteins encoded by cDNA subfragments. Affinity-purified specific antibodies recognize a 130-kd protein in wild-type protein extracts and in situ, which is missing in the mutant. Localization of the l (2) gl protein in tissue sections indicates that the l (2) gl protein is associated with cellular membranes and probably involved in cell-cell interaction.
在果蝇黑腹果蝇中,隐性突变致死(2)巨幼虫影响胚胎和幼虫发育过程中神经和 imaginal 盘细胞的细胞生长和细胞黏附特性。在这里,我们报告了 l(2)gl 基因的两个主要转录本之一的 cDNA 的核苷酸序列,该基因包含一个 3.5kb 的开放阅读框。从推导的氨基酸序列中,我们预测了一种 130kD 的蛋白质,它与具有细胞黏附特性的蛋白质具有某些序列相似性。我们已经针对 cDNA 亚片段编码的细菌融合蛋白产生了抗体。亲和纯化的特异性抗体在野生型蛋白提取物中和原位识别 130kD 的蛋白质,而在突变体中则不存在。l(2)gl 蛋白在组织切片中的定位表明,l(2)gl 蛋白与细胞膜相关,可能参与细胞-细胞相互作用。