Suppr超能文献

实验性小鼠睾丸畸胎瘤作为神经上皮肿瘤和分化的模型。I. 光镜及组织和器官培养观察

An experimental mouse testicular teratoma as a model for neuroepithelial neoplasia and differentiation. I. Light microscopic and tissue and organ culture observations.

作者信息

VandenBerg S R, Herman M M, Ludwin S K, Bignami A

出版信息

Am J Pathol. 1975 Apr;79(1):147-68.

Abstract

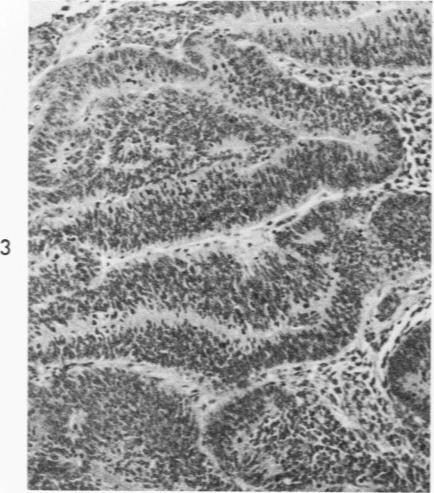
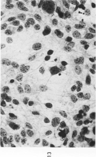
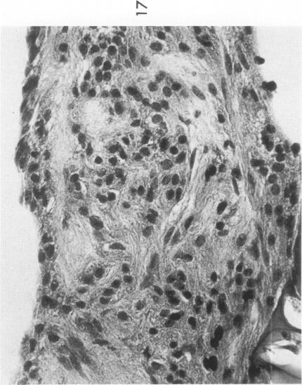
The various stages of divergent neuroepithelial differentiation were studied in the solid transplants of a transplantable mouse testicular teratoma (OTT-6050) maintained in both ascitic and solid forms. They included: a) areas of undifferentiated medullary epithelium corresponding to the rare human medulloepithelioma; b) areas of neuroblastic differentiation corresponding to neuroblastoma, with more mature neuronal differentiation corresponding to ganglioneuroma or, when mixed with glial elements, to ganglioglioma; and c) more mature neuroglial areas resembling astrocytoma, oligodendroglioma or ependymoma, as well as more primitive areas corresponding to ependymoblastoma. In tissue culture using collagen-coated coverslips, astrocytic differentiation was found in the outgrowth zone after 15 days, confirmed by immunofluorescence with antibodies to an astroglia-specific protein. In organ culture systems, glial components, including ependymal structures, were preserved in tumor explants, and astrocytic differentiation, as expressed by glial fiber formation, was increased after 4 to 6 weeks in vitro. No neuronal differentiation was demonstrable, however. The neuroepithelial component of this experimental teratoma may provide a model for the study of neoplastic neuroepithelial differentiation.

摘要

在以腹水和实体形式维持的可移植小鼠睾丸畸胎瘤(OTT - 6050)的实体移植中,研究了神经上皮分化的各个阶段。这些阶段包括:a)与罕见的人类髓上皮瘤相对应的未分化髓上皮区域;b)与神经母细胞瘤相对应的成神经细胞分化区域,与神经节神经瘤相对应的更成熟的神经元分化区域,或者当与神经胶质成分混合时,与神经节胶质瘤相对应的区域;c)更成熟的类似星形细胞瘤、少突胶质细胞瘤或室管膜瘤的神经胶质区域,以及与室管膜母细胞瘤相对应的更原始区域。在使用胶原包被盖玻片的组织培养中,15天后在生长区发现了星形细胞分化,用抗星形胶质细胞特异性蛋白的抗体进行免疫荧光证实。在器官培养系统中,肿瘤外植体中保留了包括室管膜结构在内的神经胶质成分,体外培养4至6周后,以胶质纤维形成为特征的星形细胞分化增加。然而,未发现神经元分化。这种实验性畸胎瘤的神经上皮成分可能为肿瘤性神经上皮分化的研究提供一个模型。

https://cdn.ncbi.nlm.nih.gov/pmc/blobs/93c8/1912641/ed76111c8c7b/amjpathol00461-0172-a.jpg

文献检索

告别复杂PubMed语法,用中文像聊天一样搜索,搜遍4000万医学文献。AI智能推荐,让科研检索更轻松。

立即免费搜索

文件翻译

保留排版,准确专业,支持PDF/Word/PPT等文件格式,支持 12+语言互译。

免费翻译文档

深度研究

AI帮你快速写综述,25分钟生成高质量综述,智能提取关键信息,辅助科研写作。

立即免费体验