Suppr超能文献

实验性小鼠睾丸畸胎瘤胚状体的体外星形胶质细胞分化

In vitro astrocytic differentiation from embryoid bodies of an experimental mouse testicular teratoma.

作者信息

VandenBerg S R, Ludwin S K, Herman M M, Bignami A

出版信息

Am J Pathol. 1976 Apr;83(1):197-212.

Abstract

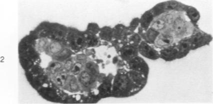
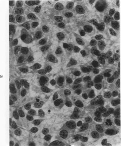
Astrocytic differentiation in monolayer cultures of ascitic embryoid bodies from the experimental teratoma OTT-6050 was studied by conventional light microscopy and by indirect immunofluorescence with antisera to glial fibrillary acidic (GFA) protein, a protein specific for astorcytes. Primitive neuroepithelial cells were identified in 24-hour cultures. Within 72 hours, two cell types diverged. One cell type, with a flattened epithelial morphology in early cultures, demonstrated delicate GFA protein-positive fibrils within 48 hours. In later cultures, this type progressively displayed more typical stellate astrocytic features, with denser, more compact GFA protein-positive fluorescence in the perinuclear cytoplasm and cell processes. As indicated by GFA protein expression, the appearance of astrocytes of typical morphology therefore was preceded by biochemical differentiation. The second cell type, interpreted as neuroblastic, failed to demonstrate GFA protein and had a small perikaryon with slender bipolar processes that were argyrophilic with Bodian's protargol in late cultures. Divergent neuroepithelial differentiation occurred within mitotically active cell populations and proceeded without apparent tissue relationships to other germ layer derivatives.

摘要

利用传统光学显微镜以及针对神经胶质纤维酸性(GFA)蛋白(一种星形胶质细胞特有的蛋白质)的抗血清进行间接免疫荧光,研究了来自实验性畸胎瘤OTT - 6050的腹水胚胎体单层培养物中的星形胶质细胞分化。在24小时的培养物中鉴定出原始神经上皮细胞。在72小时内,两种细胞类型出现分化。一种细胞类型在早期培养物中具有扁平的上皮形态,在48小时内显示出纤细的GFA蛋白阳性纤维。在后期培养物中,这种类型逐渐呈现出更典型的星形胶质细胞特征,核周细胞质和细胞突起中GFA蛋白阳性荧光更密集、更紧凑。因此,正如GFA蛋白表达所示,典型形态的星形胶质细胞的出现之前先有生化分化。第二种细胞类型被解释为成神经细胞,未显示GFA蛋白,并且在后期培养物中有一个小的核周体,带有细长的双极突起,用博迪安原银浸染法染色后呈嗜银性。不同的神经上皮分化发生在有丝分裂活跃的细胞群体中,并且在没有与其他胚层衍生物明显组织关系的情况下进行。

https://cdn.ncbi.nlm.nih.gov/pmc/blobs/5f92/2032439/82ad917d1407/amjpathol00449-0214-a.jpg

文献检索

告别复杂PubMed语法,用中文像聊天一样搜索,搜遍4000万医学文献。AI智能推荐,让科研检索更轻松。

立即免费搜索

文件翻译

保留排版,准确专业,支持PDF/Word/PPT等文件格式,支持 12+语言互译。

免费翻译文档

深度研究

AI帮你快速写综述,25分钟生成高质量综述,智能提取关键信息,辅助科研写作。

立即免费体验