Chang Jung Min, Lee Hyun Ju, Goo Jin Mo, Lee Ho-Young, Lee Jong Jin, Chung June-Key, Im Jung-Gi
Department of Radiology, Seoul National University Hospital, Seoul, Korea.
Korean J Radiol. 2006 Jan-Mar;7(1):57-69. doi: 10.3348/kjr.2006.7.1.57.
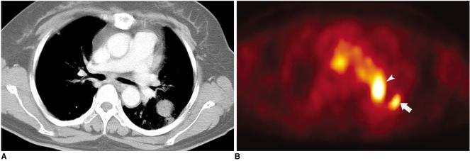
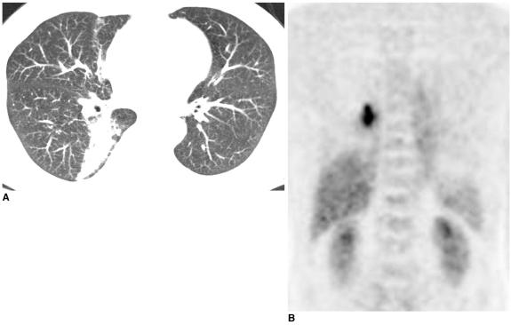
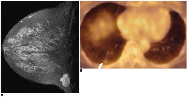
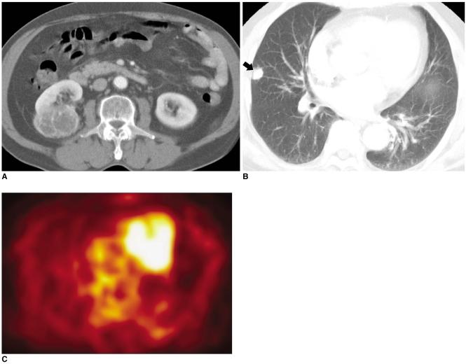
Fluorodeoxyglucose (FDG)-positron emission tomography (PET) is being used more and more to differentiate benign from malignant focal lesions and it has been shown to be more efficacious than conventional chest computed tomography (CT). However, FDG is not a cancer-specific agent, and false positive findings in benign diseases have been reported. Infectious diseases (mycobacterial, fungal, bacterial infection), sarcoidosis, radiation pneumonitis and post-operative surgical conditions have shown intense uptake on PET scan. On the other hand, tumors with low glycolytic activity such as adenomas, bronchioloalveolar carcinomas, carcinoid tumors, low grade lymphomas and small sized tumors have revealed false negative findings on PET scan. Furthermore, in diseases located near the physiologic uptake sites (heart, bladder, kidney, and liver), FDG-PET should be complemented with other imaging modalities to confirm results and to minimize false negative findings. Familiarity with these false positive and negative findings will help radiologists interpret PET scans more accurately and also will help to determine the significance of the findings. In this review, we illustrate false positive and negative findings of PET scan in a variety of diseases.
氟脱氧葡萄糖(FDG)-正电子发射断层扫描(PET)越来越多地用于鉴别局灶性病变的良恶性,并且已证明其比传统的胸部计算机断层扫描(CT)更有效。然而,FDG并非癌症特异性药物,已有报道称在良性疾病中会出现假阳性结果。传染病(分枝杆菌、真菌、细菌感染)、结节病、放射性肺炎和术后手术情况在PET扫描中显示出强烈摄取。另一方面,糖酵解活性低的肿瘤,如腺瘤、细支气管肺泡癌、类癌肿瘤、低级别淋巴瘤和小尺寸肿瘤,在PET扫描中显示出假阴性结果。此外,在靠近生理性摄取部位(心脏、膀胱、肾脏和肝脏)的疾病中,FDG-PET应与其他成像方式相结合以确认结果并尽量减少假阴性结果。熟悉这些假阳性和阴性结果将有助于放射科医生更准确地解读PET扫描,也有助于确定检查结果的意义。在本综述中,我们阐述了PET扫描在各种疾病中的假阳性和阴性结果。