Suppr超能文献

原发性肿瘤切除5年后,食管原发性黑色素瘤出现孤立性肺转移。

Solitary pulmonary metastasis from primary melanoma of the oesophagus 5 years after resection of the primary tumor.

作者信息

Dionigi Gianlorenzo, Rovera Francesca, Boni Luigi, Imperatori Andrea, Dionigi Renzo

机构信息

Department of Surgical Sciences, University of Insubria, Varese, Italy.

出版信息

World J Surg Oncol. 2006 Apr 13;4:22. doi: 10.1186/1477-7819-4-22.

Abstract

BACKGROUND

Primary malignant melanoma of the oesophagus (PMME) is an uncommon tumor. PMME has an aggressive biological behavior, similar to melanomas developed elsewhere in the body. Most patients die from distant metastases, and the overall 5 year survival rate is approximately 4%.

CASE PRESENTATION

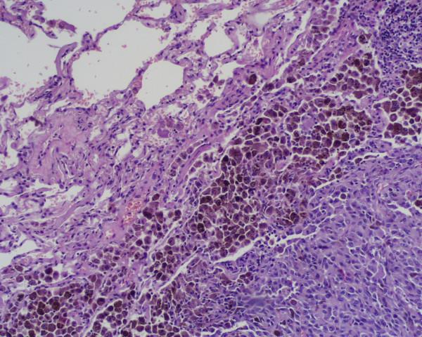
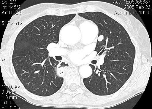
We report a rare case of a solitary pulmonary metastasis found 5 years after curative resection of primary esophageal melanoma. No other sites of metastatic disease were identified. Video-assisted lung wedge resection of the lung nodule was carried out successfully.

CONCLUSION

This supports the concept that patients with primary melanoma of the oesophagus treated should be carefully followed up.

摘要

背景

原发性食管恶性黑色素瘤(PMME)是一种罕见肿瘤。PMME具有侵袭性生物学行为,类似于身体其他部位发生的黑色素瘤。大多数患者死于远处转移,总体5年生存率约为4%。

病例报告

我们报告1例罕见病例,在原发性食管黑色素瘤根治性切除术后5年发现孤立性肺转移。未发现其他转移病灶。成功实施了电视辅助肺楔形切除术切除肺结节。

结论

这支持了应对接受治疗的原发性食管黑色素瘤患者进行密切随访的观点。

https://cdn.ncbi.nlm.nih.gov/pmc/blobs/0c3d/1458342/ba0b08ae21d9/1477-7819-4-22-1.jpg

文献检索

告别复杂PubMed语法,用中文像聊天一样搜索,搜遍4000万医学文献。AI智能推荐,让科研检索更轻松。

立即免费搜索

文件翻译

保留排版,准确专业,支持PDF/Word/PPT等文件格式,支持 12+语言互译。

免费翻译文档

深度研究

AI帮你快速写综述,25分钟生成高质量综述,智能提取关键信息,辅助科研写作。

立即免费体验