• 文献检索
  • 文档翻译
  • 深度研究
  • 学术资讯
  • Suppr Zotero 插件Zotero 插件
  • 邀请有礼
  • 套餐&价格
  • 历史记录
应用&插件
Suppr Zotero 插件Zotero 插件浏览器插件Mac 客户端Windows 客户端微信小程序
定价
高级版会员购买积分包购买API积分包
服务
文献检索文档翻译深度研究API 文档MCP 服务
关于我们
关于 Suppr公司介绍联系我们用户协议隐私条款
关注我们

Suppr 超能文献

核心技术专利:CN118964589B侵权必究
粤ICP备2023148730 号-1Suppr @ 2026

文献检索

告别复杂PubMed语法,用中文像聊天一样搜索,搜遍4000万医学文献。AI智能推荐,让科研检索更轻松。

立即免费搜索

文件翻译

保留排版,准确专业,支持PDF/Word/PPT等文件格式,支持 12+语言互译。

免费翻译文档

深度研究

AI帮你快速写综述,25分钟生成高质量综述,智能提取关键信息,辅助科研写作。

立即免费体验

伴有嗜酸性粒细胞增多综合征及胸腔积液的外周T细胞淋巴瘤,非特指型(PTCL-U)

Peripheral T-cell lymphoma-unspecified (PTCL-U) presenting with hypereosinophilic syndrome and pleural effusions.

作者信息

Choi Won, Park Yeon Hee, Paik Kwang Hyun, Chang Yoon Hwan, Lee Seung-Sook, Ryoo Baek-Yeol, Yang Sung Hyun

机构信息

Department of Internal Medicine, Korea Institute of Radiological and Medical Sciences, Seoul, Korea.

出版信息

Korean J Intern Med. 2006 Mar;21(1):57-61. doi: 10.3904/kjim.2006.21.1.57.

DOI:10.3904/kjim.2006.21.1.57
PMID:16646567
原文链接:https://pmc.ncbi.nlm.nih.gov/articles/PMC3891066/
Abstract

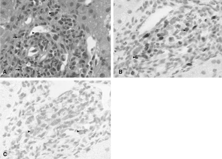
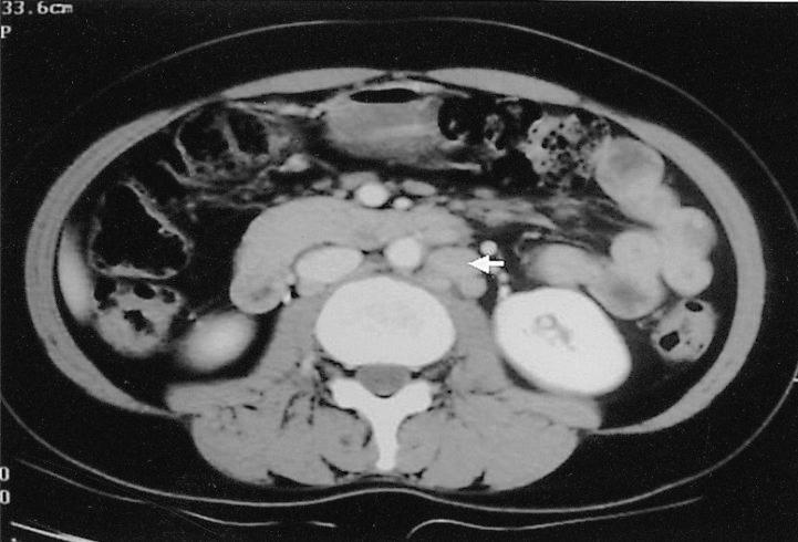
Hypereosinophilic syndrome (HES) is a clinical disorder characterized by persistent eosinophilia and systemic involvement, in which a specific causative factor for the eosinophilia cannot be verified during a certain period of time. There have been only a few reported cases of this syndrome associated with malignant lymphoma. We report a case of peripheral T-cell lymphoma-unspecified with hypereosinophilic syndrome. The patient was a 42-year-old woman with an uncontrolled fever and a sore throat. Eosinophilia was observed on the peripheral blood smear. We confirmed the diagnosis by bone marrow and liver biopsies:. A bone marrow aspiration demonstrated markedly increased eosinophils (24.8%), and a liver biopsy demonstrated infiltration by scattered eosinophils and atypical lymphoid cells, which were confirmed to be T-cell lymphoma cells. This case was a distinctive presentation of peripheral T-cell lymphoma with hypereosinophilic syndrome, probably due to a paraneoplastic condition.

摘要

高嗜酸性粒细胞综合征(HES)是一种以持续性嗜酸性粒细胞增多和全身受累为特征的临床疾病,在一定时期内无法证实嗜酸性粒细胞增多的特定致病因素。与恶性淋巴瘤相关的该综合征报告病例仅有少数。我们报告一例伴有高嗜酸性粒细胞综合征的外周T细胞淋巴瘤(非特指型)。患者为一名42岁女性,有持续发热和咽痛症状。外周血涂片可见嗜酸性粒细胞增多。我们通过骨髓和肝脏活检确诊:骨髓穿刺显示嗜酸性粒细胞显著增多(24.8%),肝脏活检显示有散在嗜酸性粒细胞和非典型淋巴细胞浸润,经证实为T细胞淋巴瘤细胞。该病例是外周T细胞淋巴瘤伴高嗜酸性粒细胞综合征的一种独特表现,可能是由于副肿瘤状态所致。

https://cdn.ncbi.nlm.nih.gov/pmc/blobs/c35a/3891066/304566932433/kjim-21-57-g007.jpg
https://cdn.ncbi.nlm.nih.gov/pmc/blobs/c35a/3891066/cfc71b505411/kjim-21-57-g001.jpg
https://cdn.ncbi.nlm.nih.gov/pmc/blobs/c35a/3891066/1ccda94d8626/kjim-21-57-g002.jpg
https://cdn.ncbi.nlm.nih.gov/pmc/blobs/c35a/3891066/e50701f930dd/kjim-21-57-g003.jpg
https://cdn.ncbi.nlm.nih.gov/pmc/blobs/c35a/3891066/e64db4340b72/kjim-21-57-g004.jpg
https://cdn.ncbi.nlm.nih.gov/pmc/blobs/c35a/3891066/ada93b6fa4f5/kjim-21-57-g005.jpg
https://cdn.ncbi.nlm.nih.gov/pmc/blobs/c35a/3891066/8e5d3d9fd927/kjim-21-57-g006.jpg
https://cdn.ncbi.nlm.nih.gov/pmc/blobs/c35a/3891066/304566932433/kjim-21-57-g007.jpg
https://cdn.ncbi.nlm.nih.gov/pmc/blobs/c35a/3891066/cfc71b505411/kjim-21-57-g001.jpg
https://cdn.ncbi.nlm.nih.gov/pmc/blobs/c35a/3891066/1ccda94d8626/kjim-21-57-g002.jpg
https://cdn.ncbi.nlm.nih.gov/pmc/blobs/c35a/3891066/e50701f930dd/kjim-21-57-g003.jpg
https://cdn.ncbi.nlm.nih.gov/pmc/blobs/c35a/3891066/e64db4340b72/kjim-21-57-g004.jpg
https://cdn.ncbi.nlm.nih.gov/pmc/blobs/c35a/3891066/ada93b6fa4f5/kjim-21-57-g005.jpg
https://cdn.ncbi.nlm.nih.gov/pmc/blobs/c35a/3891066/8e5d3d9fd927/kjim-21-57-g006.jpg
https://cdn.ncbi.nlm.nih.gov/pmc/blobs/c35a/3891066/304566932433/kjim-21-57-g007.jpg

相似文献

1
Peripheral T-cell lymphoma-unspecified (PTCL-U) presenting with hypereosinophilic syndrome and pleural effusions.伴有嗜酸性粒细胞增多综合征及胸腔积液的外周T细胞淋巴瘤,非特指型(PTCL-U)
Korean J Intern Med. 2006 Mar;21(1):57-61. doi: 10.3904/kjim.2006.21.1.57.
2
Eosinophilic Fasciitis with Hypereosinophilia as the Initial Clinical Manifestation of Peripheral T-Cell Lymphoma, Not Otherwise Specified.以嗜酸性粒细胞增多为首发表现的未特指外周 T 细胞淋巴瘤伴嗜酸性筋膜炎。
Intern Med. 2022 Nov 15;61(22):3425-3429. doi: 10.2169/internalmedicine.9300-21. Epub 2022 Apr 30.
3
Peripheral T-cell lymphoma not otherwise specified (PTCL-NOS) in a patient with hypereosinophilic syndrome showing multiple nodules on chest computed tomography.高嗜酸性粒细胞综合征患者的外周T细胞淋巴瘤,非特殊类型(PTCL-NOS),胸部计算机断层扫描显示多个结节。
Intern Med. 2011;50(20):2417-21. doi: 10.2169/internalmedicine.50.5936. Epub 2011 Oct 15.
4
[Hypereosinophilic syndrome as paraneoplastic presentation in an adolescent].[青少年嗜酸性粒细胞增多综合征作为副肿瘤性表现]
Rev Alerg Mex. 2013 Oct-Dec;60(4):193-7.
5
Changing clinical manifestations of a T-peripheral lymphoma: from hypereosinophilic syndrome to questionable Kimura's disease resulting in parotid mass.
Leuk Lymphoma. 2006 Feb;47(2):357-60. doi: 10.1080/10428190500275443.
6
Eosinophilic pleural effusion as the first presentation of angioimmunoblastic T cell lymphoma.嗜酸性胸腔积液作为血管免疫母细胞性T细胞淋巴瘤的首发表现
J Formos Med Assoc. 2007 Feb;106(2):156-60. doi: 10.1016/S0929-6646(09)60232-1.
7
Peripheral T-cell lymphoma associated consecutively with hemophagocytic lymphohistiocytosis and hypereosinophilic syndrome.外周T细胞淋巴瘤先后与噬血细胞性淋巴组织细胞增生症和高嗜酸性粒细胞综合征相关。
Eur J Haematol. 2003 Oct;71(4):303-6. doi: 10.1034/j.1600-0609.2003.00051.x.
8
[Pulmonary involvement, pleural effusion, and electrocardiographic abnormality in hypereosinophilic syndrome].[高嗜酸性粒细胞综合征中的肺部受累、胸腔积液及心电图异常]
Nihon Kokyuki Gakkai Zasshi. 2001 Nov;39(11):862-7.
9
Evaluation and Differential Diagnosis of Persistent Marked Eosinophilia.持续性显著嗜酸性粒细胞增多症的评估与鉴别诊断
Immunol Allergy Clin North Am. 2015 Aug;35(3):387-402. doi: 10.1016/j.iac.2015.04.001. Epub 2015 Jun 23.
10
Pericardial Effusion and Progressive Bilateral Effusion as Rare Presentations of Idiopathic Hypereosinophilic Syndrome.心包积液和进行性双侧胸腔积液作为特发性嗜酸性粒细胞增多综合征的罕见表现
Cureus. 2023 Aug 31;15(8):e44495. doi: 10.7759/cureus.44495. eCollection 2023 Aug.

引用本文的文献

1
Angioimmunoblastic T-cell lymphoma and hypereosinophilic syndrome with FIP1L1/PDGFRA fusion gene effectively treated with imatinib: A case report.伊马替尼有效治疗伴FIP1L1/PDGFRA融合基因的血管免疫母细胞性T细胞淋巴瘤和高嗜酸性粒细胞综合征:一例报告
Medicine (Baltimore). 2017 Sep;96(36):e8001. doi: 10.1097/MD.0000000000008001.
2
Synchronous malignant B-cell lymphoma and gastric tubular adenocarcinoma associated with paraneoplastic cutaneous vasculitis: hypereosinophilic syndrome with mixed cryoglobulinemia is an important sign of paraneoplastic syndrome.同步性恶性B细胞淋巴瘤和胃管状腺癌伴副肿瘤性皮肤血管炎:嗜酸性粒细胞增多综合征伴混合性冷球蛋白血症是副肿瘤综合征的重要征象。
Rare Tumors. 2009 Dec 28;1(2):e42. doi: 10.4081/rt.2009.e42.
3

本文引用的文献

1
Peripheral T-cell lymphoma associated consecutively with hemophagocytic lymphohistiocytosis and hypereosinophilic syndrome.外周T细胞淋巴瘤先后与噬血细胞性淋巴组织细胞增生症和高嗜酸性粒细胞综合征相关。
Eur J Haematol. 2003 Oct;71(4):303-6. doi: 10.1034/j.1600-0609.2003.00051.x.
2
New diagnostic tool for differentiation of idiopathic hypereosinophilic syndrome (HES) and secondary eosinophilic states.用于鉴别特发性嗜酸性粒细胞增多综合征(HES)和继发性嗜酸性粒细胞增多状态的新型诊断工具。
Pathol Oncol Res. 2001;7(4):292-7. doi: 10.1007/BF03032386.
3
The idiopathic hypereosinophilic syndrome.
Eosinophilic pleural effusion: a rare manifestation of hypereosinophilic syndrome.
嗜酸性胸腔积液:嗜酸性粒细胞增多综合征的一种罕见表现。
Case Rep Med. 2009;2009:635309. doi: 10.1155/2009/635309. Epub 2010 Jan 12.
特发性嗜酸性粒细胞增多综合征
Eur J Emerg Med. 2001 Dec;8(4):325-30. doi: 10.1097/00063110-200112000-00015.
4
NIH conference. The idiopathic hypereosinophilic syndrome. Clinical, pathophysiologic, and therapeutic considerations.美国国立卫生研究院会议。特发性嗜酸性粒细胞增多综合征。临床、病理生理及治疗方面的考量。
Ann Intern Med. 1982 Jul;97(1):78-92. doi: 10.7326/0003-4819-97-1-78.
5
A case of the hypereosinophilic syndrome complicated by malignant lymphoma.
J Dermatol. 1983 Feb;10(1):75-80. doi: 10.1111/j.1346-8138.1983.tb01107.x.
6
The hypereosinophilic syndromes.高嗜酸性粒细胞综合征
Ann Intern Med. 1968 Jun;68(6):1220-9. doi: 10.7326/0003-4819-68-6-1220.
7
Eosinophilia associated with adult T-cell leukemia/lymphoma.
Cancer. 1988 Oct 15;62(8):1527-30. doi: 10.1002/1097-0142(19881015)62:8<1527::aid-cncr2820620813>3.0.co;2-x.
8
Idiopathic hypereosinophilic syndrome terminating as disseminated T-cell lymphoma.
Cancer. 1991 Feb 15;67(4):1064-9. doi: 10.1002/1097-0142(19910215)67:4<1064::aid-cncr2820670433>3.0.co;2-p.
9
The hypereosinophilic syndrome: analysis of fourteen cases with review of the literature.高嗜酸性粒细胞综合征:14例病例分析并文献复习
Medicine (Baltimore). 1975 Jan;54(1):1-27.