Pladys D, Dimitrijevic L, Rigaud J
Laboratoire de Biologie Végétale et Microbiologie, URA Centre National de la Recherche Scientifique 1114, Université de Nice-Sophia Antipolis, Parc Valrose, 06034 Nice Cedex, France.
Plant Physiol. 1991 Nov;97(3):1174-80. doi: 10.1104/pp.97.3.1174.
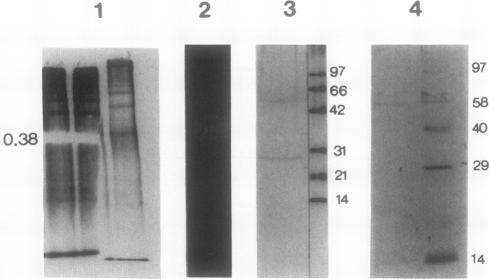
Protoplasts from infected and uninfected cells were isolated from the central nitrogen fixing tissue of French bean (Phaseolus vulgaris L. cv Contender) root nodules. Successive filtrations allowed the separation of the infected cells, whereas the small uninfected cells were isolated on a discontinuous Percoll gradient. Higher yields of intact protoplasts were obtained from young (4-week-old) nodules whereas no protoplasts could be isolated from the oldest nodules. When proteolysis was determined in the cytosolic fraction of both infected and uninfected cells, at pH 5.0 and 8.0, with leghemoglobin or azocasein as substrate, activity was present only in infected cell protoplasts and increased with nodule age. A protease with an acidic pH optimum, mainly responsible for this increasing activity, was highly purified from senescing nodules by electro-elution after nondenaturing polyacrylamide gel electrophoresis and used to produce polyclonal antibodies. Western blots of nodule protein separated by sodium dodecyl sulfate-polyacrylamide gel electrophoresis and probed with purified anti-protease immunoglobulin G showed the molecular mass of the protease to be 58 kilodaltons. Blots also confirmed that protease protein was located in infected cell protoplasts only, regardless of nodule age.
从菜豆(菜豆属普通菜豆品种Contender)根瘤的中央固氮组织中分离出受感染和未受感染细胞的原生质体。连续过滤可分离出受感染细胞,而小的未受感染细胞则通过不连续的 Percoll 梯度进行分离。从年轻(4周龄)的根瘤中可获得更高产量的完整原生质体,而从最老的根瘤中则无法分离出原生质体。当以豆血红蛋白或偶氮酪蛋白为底物,在pH 5.0和8.0条件下测定受感染和未受感染细胞胞质部分的蛋白水解作用时,活性仅存在于受感染细胞的原生质体中,且随根瘤年龄增加而增加。一种最适pH为酸性、主要负责这种活性增加的蛋白酶,在非变性聚丙烯酰胺凝胶电泳后通过电洗脱从衰老根瘤中高度纯化,并用于制备多克隆抗体。用十二烷基硫酸钠-聚丙烯酰胺凝胶电泳分离根瘤蛋白,并用纯化的抗蛋白酶免疫球蛋白G进行检测的蛋白质免疫印迹显示,该蛋白酶的分子量为58千道尔顿。印迹还证实,无论根瘤年龄如何,蛋白酶蛋白仅位于受感染细胞的原生质体中。