Suppr超能文献

放射性诱导血管肉瘤是保乳手术后乳腺癌放疗的后遗症。

Radiation induced angiosarcoma a sequela of radiotherapy for breast cancer following conservative surgery.

作者信息

Tahir M, Hendry P, Baird L, Qureshi N A, Ritchie D, Whitford P

机构信息

Department of Surgery, Crosshouse Hospital, Kilmarnock, UK.

出版信息

Int Semin Surg Oncol. 2006 Sep 11;3:26. doi: 10.1186/1477-7800-3-26.

Abstract

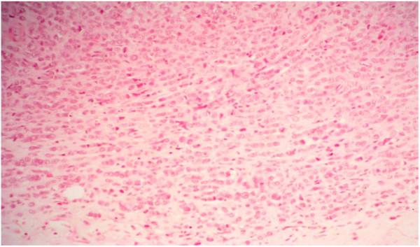
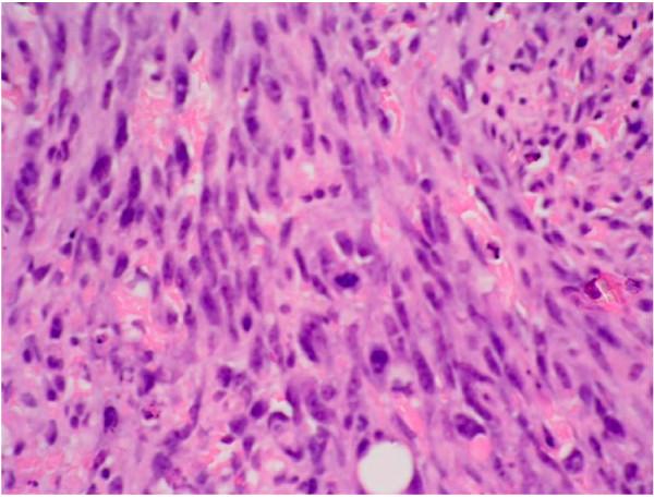
Radiation induced angiosarcomas (RIA) can affect breast cancer patients who had radiotherapy following conservative breast surgery. They are very rare tumors and often their diagnosis is delayed due to their benign appearance and difficulty in differentiation from radiation induced skin changes. Therefore it is very important that clinicians are aware of their existence. We report here a case of RIA followed by discussion and review of literature.

摘要

放射性诱导血管肉瘤(RIA)可发生于保乳手术后接受放疗的乳腺癌患者。它们是非常罕见的肿瘤,由于其外观良性且难以与放射性皮肤改变相鉴别,其诊断常常被延误。因此,临床医生了解它们的存在非常重要。我们在此报告一例放射性诱导血管肉瘤病例,并进行讨论及文献复习。

https://cdn.ncbi.nlm.nih.gov/pmc/blobs/52ca/1570350/1543edcb9d81/1477-7800-3-26-1.jpg

文献检索

告别复杂PubMed语法,用中文像聊天一样搜索,搜遍4000万医学文献。AI智能推荐,让科研检索更轻松。

立即免费搜索

文件翻译

保留排版,准确专业,支持PDF/Word/PPT等文件格式,支持 12+语言互译。

免费翻译文档

深度研究

AI帮你快速写综述,25分钟生成高质量综述,智能提取关键信息,辅助科研写作。

立即免费体验