• 文献检索
  • 文档翻译
  • 深度研究
  • 学术资讯
  • Suppr Zotero 插件Zotero 插件
  • 邀请有礼
  • 套餐&价格
  • 历史记录
应用&插件
Suppr Zotero 插件Zotero 插件浏览器插件Mac 客户端Windows 客户端微信小程序
定价
高级版会员购买积分包购买API积分包
服务
文献检索文档翻译深度研究API 文档MCP 服务
关于我们
关于 Suppr公司介绍联系我们用户协议隐私条款
关注我们

Suppr 超能文献

核心技术专利:CN118964589B侵权必究
粤ICP备2023148730 号-1Suppr @ 2026

文献检索

告别复杂PubMed语法,用中文像聊天一样搜索,搜遍4000万医学文献。AI智能推荐,让科研检索更轻松。

立即免费搜索

文件翻译

保留排版,准确专业,支持PDF/Word/PPT等文件格式,支持 12+语言互译。

免费翻译文档

深度研究

AI帮你快速写综述,25分钟生成高质量综述,智能提取关键信息,辅助科研写作。

立即免费体验

分子模拟:一种疱疹病毒糖蛋白,其抗原性与巨噬细胞、多形核白细胞和血小板表达的细胞表面糖蛋白相关。

Molecular mimicry: a herpes virus glycoprotein antigenically related to a cell-surface glycoprotein expressed by macrophages, polymorphonuclear leucocytes, and platelets.

作者信息

Fitzpatrick D R, Snider M, McDougall L, Beskorwayne T, Babiuk L A, Zamb T J, Bielefeldt Ohmann H

机构信息

Veterinary Infectious Disease Organization, University of Saskatchewan, Saskatoon, Canada.

出版信息

Immunology. 1990 Aug;70(4):504-12.

PMID:1697564
原文链接:https://pmc.ncbi.nlm.nih.gov/articles/PMC1384256/
Abstract

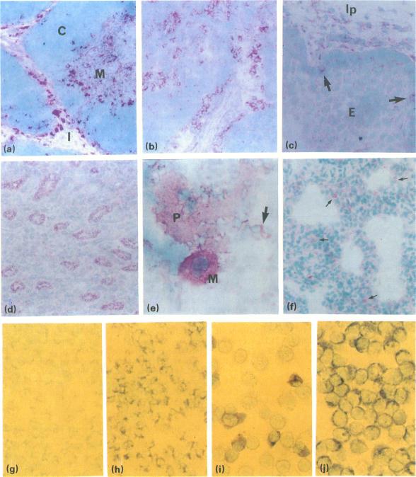
Bovine herpes virus type 1 (BHV-1) gIII is a major virion glycoprotein with homology to the immunoglobulin superfamily. We have investigated the possibility that gIII is related to host molecules and have identified a gIII-specific monoclonal antibody (mAb) that cross-reacts with normal bovine cells. The cross-reactive entity was expressed mainly on monocyte/macrophages (M phi), polymorphonuclear leucocytes (PMN) and platelets, and was identified as a 43,000-63,000 molecular weight (MW) cell-surface glycoprotein. For M phi, the glycoprotein appears to be a general lineage marker, rather than a maturation or activation marker, and may be a functional receptor, as evidenced by its endocytosis via coated pits and its involvement in proliferation of mononuclear cells in vitro. This novel leucocyte marker was also detected on subsets of human, ovine and canine M phi. Competitive binding assays with sera from cattle immunized with BHV-1 or gIII revealed apparent low responsiveness to the cross-reactive epitope. The results suggest that BHV-1 gIII is antigenically related to a novel host leucocyte receptor and that evasion and/or interference with leucocyte function may be a consequence of this molecular mimicry relationship.

摘要

牛疱疹病毒1型(BHV - 1)的糖蛋白III(gIII)是一种主要的病毒体糖蛋白,与免疫球蛋白超家族具有同源性。我们研究了gIII与宿主分子相关的可能性,并鉴定出一种与正常牛细胞发生交叉反应的gIII特异性单克隆抗体(mAb)。这种交叉反应实体主要表达于单核细胞/巨噬细胞(M phi)、多形核白细胞(PMN)和血小板上,并被鉴定为一种分子量为43,000 - 63,000(MW)的细胞表面糖蛋白。对于M phi而言,该糖蛋白似乎是一种通用的谱系标志物,而非成熟或激活标志物,并且可能是一种功能性受体,通过其经有被小窝的内吞作用以及在体外参与单核细胞增殖可证明这一点。在人、绵羊和犬的M phi亚群上也检测到了这种新型白细胞标志物。用BHV - 1或gIII免疫的牛血清进行的竞争性结合试验显示,对交叉反应表位的反应明显较低。结果表明,BHV - 1 gIII在抗原性上与一种新型宿主白细胞受体相关,并且逃避和/或干扰白细胞功能可能是这种分子模拟关系的结果。

https://cdn.ncbi.nlm.nih.gov/pmc/blobs/b07b/1384256/0abeeb51c280/immunology00131-0092-a.jpg
https://cdn.ncbi.nlm.nih.gov/pmc/blobs/b07b/1384256/24ff270b58e7/immunology00131-0088-a.jpg
https://cdn.ncbi.nlm.nih.gov/pmc/blobs/b07b/1384256/926c23f9dfe9/immunology00131-0089-a.jpg
https://cdn.ncbi.nlm.nih.gov/pmc/blobs/b07b/1384256/4187dc6338b3/immunology00131-0091-a.jpg
https://cdn.ncbi.nlm.nih.gov/pmc/blobs/b07b/1384256/0abeeb51c280/immunology00131-0092-a.jpg
https://cdn.ncbi.nlm.nih.gov/pmc/blobs/b07b/1384256/24ff270b58e7/immunology00131-0088-a.jpg
https://cdn.ncbi.nlm.nih.gov/pmc/blobs/b07b/1384256/926c23f9dfe9/immunology00131-0089-a.jpg
https://cdn.ncbi.nlm.nih.gov/pmc/blobs/b07b/1384256/4187dc6338b3/immunology00131-0091-a.jpg
https://cdn.ncbi.nlm.nih.gov/pmc/blobs/b07b/1384256/0abeeb51c280/immunology00131-0092-a.jpg

相似文献

1
Molecular mimicry: a herpes virus glycoprotein antigenically related to a cell-surface glycoprotein expressed by macrophages, polymorphonuclear leucocytes, and platelets.分子模拟:一种疱疹病毒糖蛋白,其抗原性与巨噬细胞、多形核白细胞和血小板表达的细胞表面糖蛋白相关。
Immunology. 1990 Aug;70(4):504-12.
2
A monoclonal antibody detects macrophage maturation antigen which appears independently of class II antigen expression. Reactivity of monoclonal EBM11 with bovine macrophages.一种单克隆抗体可检测巨噬细胞成熟抗原,该抗原独立于II类抗原表达而出现。单克隆抗体EBM11与牛巨噬细胞的反应性。
J Immunol. 1988 Apr 1;140(7):2201-9.
3
Analysis of the binding of monoclonal and polyclonal antibodies to the glycoproteins of antigenic variants of human respiratory syncytial virus by surface plasmon resonance.通过表面等离子体共振分析单克隆抗体和多克隆抗体与人类呼吸道合胞病毒抗原变异体糖蛋白的结合情况。
J Immunol Methods. 2005 Feb;297(1-2):143-52. doi: 10.1016/j.jim.2004.12.017.
4
Human natural killer cell recognition of herpes simplex virus type 1 glycoproteins: specificity analysis with the use of monoclonal antibodies and antigenic variants.人类自然杀伤细胞对1型单纯疱疹病毒糖蛋白的识别:使用单克隆抗体和抗原变体进行特异性分析。
J Immunol. 1984 Oct;133(4):2206-14.
5
A human cell-surface glycoprotein that carries Cromer-related blood group antigens on erythrocytes and is also expressed on leucocytes and platelets.一种人类细胞表面糖蛋白,在红细胞上携带与克罗马血型相关的血型抗原,也在白细胞和血小板上表达。
Immunology. 1987 Oct;62(2):307-13.
6
Glycoprotein D homologs in herpes simplex virus type 1, pseudorabies virus, and bovine herpes virus type 1 bind directly to human HveC(nectin-1) with different affinities.单纯疱疹病毒1型、伪狂犬病病毒和牛疱疹病毒1型中的糖蛋白D同源物以不同亲和力直接与人HveC(nectin-1)结合。
Virology. 2001 Feb 1;280(1):7-18. doi: 10.1006/viro.2000.0747.
7
Antigenic differences between the major glycoproteins of bovine herpesvirus type 1.1 and bovine encephalitis herpesvirus type 1.3.牛疱疹病毒1.1型和牛脑炎疱疹病毒1.3型主要糖蛋白之间的抗原差异。
J Gen Virol. 1993 Aug;74 ( Pt 8):1509-17. doi: 10.1099/0022-1317-74-8-1509.
8
Identification of different target glycoproteins for bovine herpes virus type 1-specific cytotoxic T lymphocytes depending on the method of in vitro stimulation.根据体外刺激方法鉴定1型牛疱疹病毒特异性细胞毒性T淋巴细胞的不同靶糖蛋白。
Immunology. 1993 Jan;78(1):7-13.
9
Bovine monoclonal antibodies specific for bovine herpesvirus-1 glycoprotein gIII.
Am J Vet Res. 1990 Apr;51(4):543-5.
10
Human herpesvirus-6 glycoprotein H and L homologs are components of the gp100 complex and the gH external domain is the target for neutralizing monoclonal antibodies.人类疱疹病毒6型糖蛋白H和L同源物是gp100复合体的组成成分,且gH胞外结构域是中和性单克隆抗体的作用靶点。
Virology. 1993 Nov;197(1):12-22. doi: 10.1006/viro.1993.1562.

引用本文的文献

1
Antibody Responses to Bovine Alphaherpesvirus 1 (BoHV-1) in Passively Immunized Calves.牛α疱疹病毒 1(BoHV-1)被动免疫小牛的抗体反应。
Viruses. 2019 Jan 2;11(1):23. doi: 10.3390/v11010023.
2
Neonatal immune development in the calf and its impact on vaccine response.犊牛的新生免疫发育及其对疫苗反应的影响。
Vet Clin North Am Food Anim Pract. 2008 Mar;24(1):87-104. doi: 10.1016/j.cvfa.2007.11.001.
3
Integration of clinical data, pathology, and cDNA microarrays in influenza virus-infected pigtailed macaques (Macaca nemestrina).

本文引用的文献

1
Interactions of monoclonal antibodies and bovine herpesvirus type 1 (BHV-1) glycoproteins: characterization of their biochemical and immunological properties.单克隆抗体与牛疱疹病毒1型(BHV-1)糖蛋白的相互作用:其生化和免疫学特性的表征
Virology. 1984 Jun;135(2):466-79. doi: 10.1016/0042-6822(84)90201-0.
2
Effect of infectious bovine rhinotracheitis virus infection on bovine alveolar macrophage function.牛传染性鼻气管炎病毒感染对牛肺泡巨噬细胞功能的影响。
Infect Immun. 1982 Mar;35(3):1041-7. doi: 10.1128/iai.35.3.1041-1047.1982.
3
Proteins Specified by bovine herpesvirus 1 (infectious bovine rhinotracheitis virus).
临床数据、病理学与cDNA微阵列在感染流感病毒的豚尾猕猴(食蟹猕猴)中的整合
J Virol. 2004 Oct;78(19):10420-32. doi: 10.1128/JVI.78.19.10420-10432.2004.
4
Divergent evolution may link human immunodeficiency virus GP41 to human CD4.趋异进化可能将人类免疫缺陷病毒糖蛋白41与人类CD4联系起来。
J Mol Evol. 1993 May;36(5):448-57. doi: 10.1007/BF02406721.
由牛疱疹病毒1型(传染性牛鼻气管炎病毒)指定的蛋白质
J Virol. 1981 Nov;40(2):367-78. doi: 10.1128/JVI.40.2.367-378.1981.
4
A simple, non-chromatographic procedure to purify immunoglobulins from serum and ascites fluid.一种从血清和腹水中纯化免疫球蛋白的简单非色谱方法。
J Immunol Methods. 1987 Feb 11;96(2):271-8. doi: 10.1016/0022-1759(87)90324-3.
5
Biochemistry and expression of myelomonocytic antigens.骨髓单核细胞抗原的生物化学与表达
J Immunol. 1986 Dec 15;137(12):3909-14.
6
A monoclonal antibody detects macrophage maturation antigen which appears independently of class II antigen expression. Reactivity of monoclonal EBM11 with bovine macrophages.一种单克隆抗体可检测巨噬细胞成熟抗原,该抗原独立于II类抗原表达而出现。单克隆抗体EBM11与牛巨噬细胞的反应性。
J Immunol. 1988 Apr 1;140(7):2201-9.
7
Viral-bacterial synergistic interaction in respiratory disease.呼吸道疾病中的病毒-细菌协同相互作用。
Adv Virus Res. 1988;35:219-49. doi: 10.1016/s0065-3527(08)60713-7.
8
Induction of MHC class II antigens on bovine cells of nonlymphoid origin by recombinant bovine interferon-gamma and tumor necrosis factor-alpha.
J Interferon Res. 1988 Aug;8(4):451-62. doi: 10.1089/jir.1988.8.451.
9
The development and analysis of species specific and cross reactive monoclonal antibodies to leukocyte differentiation antigens and antigens of the major histocompatibility complex for use in the study of the immune system in cattle and other species.用于牛及其他物种免疫系统研究的、针对白细胞分化抗原和主要组织相容性复合体抗原的物种特异性及交叉反应性单克隆抗体的开发与分析。
Vet Immunol Immunopathol. 1987 Jul;15(4):337-76. doi: 10.1016/0165-2427(87)90005-5.
10
Surface proteins and glycoproteins of human leucocytes.人类白细胞的表面蛋白和糖蛋白。
Biochem J. 1988 Jul 1;253(1):1-26. doi: 10.1042/bj2530001.