• 文献检索
  • 文档翻译
  • 深度研究
  • 学术资讯
  • Suppr Zotero 插件Zotero 插件
  • 邀请有礼
  • 套餐&价格
  • 历史记录
应用&插件
Suppr Zotero 插件Zotero 插件浏览器插件Mac 客户端Windows 客户端微信小程序
定价
高级版会员购买积分包购买API积分包
服务
文献检索文档翻译深度研究API 文档MCP 服务
关于我们
关于 Suppr公司介绍联系我们用户协议隐私条款
关注我们

Suppr 超能文献

核心技术专利:CN118964589B侵权必究
粤ICP备2023148730 号-1Suppr @ 2026

文献检索

告别复杂PubMed语法,用中文像聊天一样搜索,搜遍4000万医学文献。AI智能推荐,让科研检索更轻松。

立即免费搜索

文件翻译

保留排版,准确专业,支持PDF/Word/PPT等文件格式,支持 12+语言互译。

免费翻译文档

深度研究

AI帮你快速写综述,25分钟生成高质量综述,智能提取关键信息,辅助科研写作。

立即免费体验

蛙皮素对胰腺腺泡细胞顶端细胞骨架的影响。

Effects of caerulein on the apical cytoskeleton of the pancreatic acinar cell.

作者信息

O'Konski M S, Pandol S J

机构信息

Department of Medicine, Veterans Administration Medical Center, San Diego, California 92161.

出版信息

J Clin Invest. 1990 Nov;86(5):1649-57. doi: 10.1172/JCI114887.

DOI:10.1172/JCI114887
PMID:1700797
原文链接:https://pmc.ncbi.nlm.nih.gov/articles/PMC296915/
Abstract

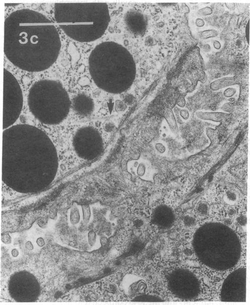
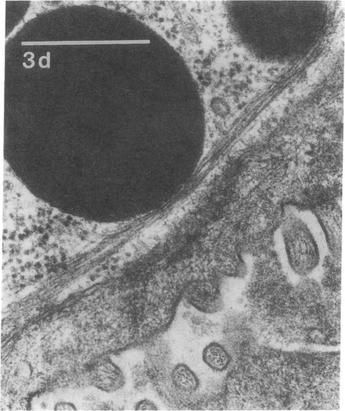
In this study experiments were performed to correlate the rate of digestive enzyme secretion to morphologic observations of the apical cytoskeleton using dispersed rat pancreatic acini with various concentrations of caerulein. Caerulein at concentrations of 10 pM to 0.1 nM stimulated increasing rates of secretion of amylase, a digestive enzyme. Greater concentrations of caerulein caused progressively less amylase secretion. Transmission electron microscopy demonstrated several characteristics of the apical cytoskeleton in untreated acini that were altered with the "inhibitory" concentrations of caerulein. In control acini and acini stimulated with concentrations of caerulein up to 0.1 nM, the micrographs reveal an apical actin network extending into microvilli, an intermediate filament band, and electron-dense structures contained in both the actin filament network and the intermediate filament band. With concentrations of caerulein greater than 0.1 nM, these structures were progressively ablated. The findings with respect to the actin filament network were confirmed with light microscopic observations of dispersed acini stained with rhodamine-phalloidin. These results indicate that caerulein has marked morphologic effects on the pancreatic acinar cell cytoskeleton and that the cytoskeletal changes may modulate the secretory response.

摘要

在本研究中,利用不同浓度的蛙皮素处理分散的大鼠胰腺腺泡,进行实验以关联消化酶分泌速率与顶端细胞骨架的形态学观察结果。浓度为10 pM至0.1 nM的蛙皮素刺激淀粉酶(一种消化酶)的分泌速率不断增加。更高浓度的蛙皮素导致淀粉酶分泌逐渐减少。透射电子显微镜显示,未处理的腺泡中顶端细胞骨架的几个特征在蛙皮素的“抑制性”浓度下发生了改变。在对照腺泡和用高达0.1 nM浓度的蛙皮素刺激的腺泡中,显微照片显示顶端肌动蛋白网络延伸至微绒毛、一条中间丝带以及包含在肌动蛋白丝网络和中间丝带中的电子致密结构。当蛙皮素浓度大于0.1 nM时,这些结构逐渐消失。用罗丹明 - 鬼笔环肽染色的分散腺泡的光学显微镜观察结果证实了关于肌动蛋白丝网络的发现。这些结果表明,蛙皮素对胰腺腺泡细胞骨架具有显著的形态学影响,并且细胞骨架的变化可能调节分泌反应。

https://cdn.ncbi.nlm.nih.gov/pmc/blobs/7746/296915/062a47bd4f2c/jcinvest00077-0283-b.jpg
https://cdn.ncbi.nlm.nih.gov/pmc/blobs/7746/296915/7d455aa5ba19/jcinvest00077-0279-a.jpg
https://cdn.ncbi.nlm.nih.gov/pmc/blobs/7746/296915/74fb85bdac5a/jcinvest00077-0279-b.jpg
https://cdn.ncbi.nlm.nih.gov/pmc/blobs/7746/296915/e4ce28a18d67/jcinvest00077-0279-c.jpg
https://cdn.ncbi.nlm.nih.gov/pmc/blobs/7746/296915/e8e07ba791f0/jcinvest00077-0279-d.jpg
https://cdn.ncbi.nlm.nih.gov/pmc/blobs/7746/296915/aa333ec6ca14/jcinvest00077-0281-a.jpg
https://cdn.ncbi.nlm.nih.gov/pmc/blobs/7746/296915/ed35edb38691/jcinvest00077-0281-b.jpg
https://cdn.ncbi.nlm.nih.gov/pmc/blobs/7746/296915/d2f66964eb27/jcinvest00077-0281-c.jpg
https://cdn.ncbi.nlm.nih.gov/pmc/blobs/7746/296915/7cd1288677a2/jcinvest00077-0281-d.jpg
https://cdn.ncbi.nlm.nih.gov/pmc/blobs/7746/296915/de2e1c2c2db5/jcinvest00077-0282-a.jpg
https://cdn.ncbi.nlm.nih.gov/pmc/blobs/7746/296915/99d620f0704c/jcinvest00077-0282-b.jpg
https://cdn.ncbi.nlm.nih.gov/pmc/blobs/7746/296915/ae3f7a4bfa75/jcinvest00077-0282-c.jpg
https://cdn.ncbi.nlm.nih.gov/pmc/blobs/7746/296915/446d5853e29b/jcinvest00077-0282-d.jpg
https://cdn.ncbi.nlm.nih.gov/pmc/blobs/7746/296915/8c2d35e06b60/jcinvest00077-0283-a.jpg
https://cdn.ncbi.nlm.nih.gov/pmc/blobs/7746/296915/062a47bd4f2c/jcinvest00077-0283-b.jpg
https://cdn.ncbi.nlm.nih.gov/pmc/blobs/7746/296915/7d455aa5ba19/jcinvest00077-0279-a.jpg
https://cdn.ncbi.nlm.nih.gov/pmc/blobs/7746/296915/74fb85bdac5a/jcinvest00077-0279-b.jpg
https://cdn.ncbi.nlm.nih.gov/pmc/blobs/7746/296915/e4ce28a18d67/jcinvest00077-0279-c.jpg
https://cdn.ncbi.nlm.nih.gov/pmc/blobs/7746/296915/e8e07ba791f0/jcinvest00077-0279-d.jpg
https://cdn.ncbi.nlm.nih.gov/pmc/blobs/7746/296915/aa333ec6ca14/jcinvest00077-0281-a.jpg
https://cdn.ncbi.nlm.nih.gov/pmc/blobs/7746/296915/ed35edb38691/jcinvest00077-0281-b.jpg
https://cdn.ncbi.nlm.nih.gov/pmc/blobs/7746/296915/d2f66964eb27/jcinvest00077-0281-c.jpg
https://cdn.ncbi.nlm.nih.gov/pmc/blobs/7746/296915/7cd1288677a2/jcinvest00077-0281-d.jpg
https://cdn.ncbi.nlm.nih.gov/pmc/blobs/7746/296915/de2e1c2c2db5/jcinvest00077-0282-a.jpg
https://cdn.ncbi.nlm.nih.gov/pmc/blobs/7746/296915/99d620f0704c/jcinvest00077-0282-b.jpg
https://cdn.ncbi.nlm.nih.gov/pmc/blobs/7746/296915/ae3f7a4bfa75/jcinvest00077-0282-c.jpg
https://cdn.ncbi.nlm.nih.gov/pmc/blobs/7746/296915/446d5853e29b/jcinvest00077-0282-d.jpg
https://cdn.ncbi.nlm.nih.gov/pmc/blobs/7746/296915/8c2d35e06b60/jcinvest00077-0283-a.jpg
https://cdn.ncbi.nlm.nih.gov/pmc/blobs/7746/296915/062a47bd4f2c/jcinvest00077-0283-b.jpg

相似文献

1
Effects of caerulein on the apical cytoskeleton of the pancreatic acinar cell.蛙皮素对胰腺腺泡细胞顶端细胞骨架的影响。
J Clin Invest. 1990 Nov;86(5):1649-57. doi: 10.1172/JCI114887.
2
Cholecystokinin JMV-180 and caerulein effects on the pancreatic acinar cell cytoskeleton.
Pancreas. 1993 Sep;8(5):638-46. doi: 10.1097/00006676-199309000-00018.
3
The effects of ammonia on pancreatic enzyme secretion in vivo and in vitro.氨对体内和体外胰腺酶分泌的影响。
J Physiol Pharmacol. 2000 Jun;51(2):315-32.
4
Caerulein in supramaximal doses fails to stimulate pancreatic growth, but it forces secretory granulopoiesis.
Acta Physiol Hung. 1988;71(1):99-106.
5
Pancreatic acinar cell changes induced by caerulein, vinblastine, deuterium oxide, and cytochalasin B in vitro.
Lab Invest. 1978 Feb;38(2):157-64.
6
Epidermal growth factor inhibits rat pancreatic cell proliferation, causes acinar cell hypertrophy, and prevents caerulein-induced desensitization of amylase release.
Endocrinology. 1989 Jun;124(6):2693-8. doi: 10.1210/endo-124-6-2693.
7
Caspase 8-mediated cleavage of plectin precedes F-actin breakdown in acinar cells during pancreatitis.在胰腺炎期间,腺泡细胞中半胱天冬酶8介导的网蛋白裂解先于F-肌动蛋白分解。
Am J Physiol Gastrointest Liver Physiol. 2002 Mar;282(3):G450-60. doi: 10.1152/ajpgi.00042.2001.
8
Stimulatory effect of PG-KII, an NK3 tachykinin receptor agonist, on isolated pancreatic acini: species-related differences.NK3速激肽受体激动剂PG-KII对离体胰腺腺泡的刺激作用:种属相关差异
Peptides. 2004 Jan;25(1):45-51. doi: 10.1016/j.peptides.2003.11.007.
9
Agonist-induced changes in cell shape during regulated secretion in rat pancreatic acini.大鼠胰腺腺泡在调节性分泌过程中激动剂诱导的细胞形态变化。
J Cell Physiol. 2000 Mar;182(3):438-47. doi: 10.1002/(SICI)1097-4652(200003)182:3<438::AID-JCP15>3.0.CO;2-N.
10
Stimulation of inositol trisphosphate accumulation and amylase secretion by caerulein in pancreatic acini.蛙皮素对胰腺腺泡中肌醇三磷酸积累和淀粉酶分泌的刺激作用。
J Pharmacol Exp Ther. 1984 Dec;231(3):623-7.

引用本文的文献

1
Acute pancreatitis: pathogenesis and emerging therapies.急性胰腺炎:发病机制与新兴疗法
J Pancreatol. 2024 Mar;7(1):10-20. doi: 10.1097/JP9.0000000000000168. Epub 2024 Jan 2.
2
Assessment of exocrine pancreatic function in children and adolescents with direct and indirect testing.通过直接和间接检测评估儿童和青少年的胰腺外分泌功能。
Front Pediatr. 2022 Nov 14;10:908542. doi: 10.3389/fped.2022.908542. eCollection 2022.
3
Identification and Validation of Hub Genes in Acute Pancreatitis and Hypertriglyceridemia.急性胰腺炎和高甘油三酯血症中核心基因的鉴定与验证

本文引用的文献

1
Phosphoinositides and protein secretion in pancreas slices.胰腺切片中的磷酸肌醇与蛋白质分泌
J Biol Chem. 1958 Oct;233(4):805-10.
2
Effects of acetylcholine on phospholipides in the pancreas.乙酰胆碱对胰腺中磷脂的作用。
J Biol Chem. 1954 Aug;209(2):549-58.
3
Enzyme secretion and the incorporation of P32 into phospholipides of pancreas slices.酶分泌以及胰腺切片磷脂中P32的掺入。
Diabetes Metab Syndr Obes. 2022 Feb 24;15:559-577. doi: 10.2147/DMSO.S349528. eCollection 2022.
4
Critical thresholds: key to unlocking the door to the prevention and specific treatments for acute pancreatitis.关键阈值:打开急性胰腺炎预防和特效治疗之门的钥匙。
Gut. 2021 Jan;70(1):194-203. doi: 10.1136/gutjnl-2020-322163. Epub 2020 Sep 24.
5
Protective effects of urocortin 2 against caerulein-induced acute pancreatitis.乌司他丁 2 对胆囊收缩素诱导的急性胰腺炎的保护作用。
PLoS One. 2019 May 17;14(5):e0217065. doi: 10.1371/journal.pone.0217065. eCollection 2019.
6
Multimodal Transgastric Local Pancreatic Hypothermia Reduces Severity of Acute Pancreatitis in Rats and Increases Survival.经胃多模态局部胰腺低温治疗可减轻大鼠急性胰腺炎严重程度并提高存活率。
Gastroenterology. 2019 Feb;156(3):735-747.e10. doi: 10.1053/j.gastro.2018.10.034. Epub 2018 Oct 25.
7
Human Pancreatic Acinar Cells: Proteomic Characterization, Physiologic Responses, and Organellar Disorders in ex Vivo Pancreatitis.人胰腺腺泡细胞:体外胰腺炎中的蛋白质组学特征、生理反应及细胞器紊乱
Am J Pathol. 2017 Dec;187(12):2726-2743. doi: 10.1016/j.ajpath.2017.08.017. Epub 2017 Sep 19.
8
Do Animal Models of Acute Pancreatitis Reproduce Human Disease?急性胰腺炎动物模型能复制人类疾病吗?
Cell Mol Gastroenterol Hepatol. 2017 Jun 10;4(2):251-262. doi: 10.1016/j.jcmgh.2017.05.007. eCollection 2017 Sep.
9
Involvement of Membrane Blebbing in Immunological Disorders and Cancer.膜泡形成在免疫紊乱和癌症中的作用
Med Princ Pract. 2016;25 Suppl 2(Suppl 2):18-27. doi: 10.1159/000441848. Epub 2015 Nov 26.
10
p120 Catenin is required for normal tubulogenesis but not epithelial integrity in developing mouse pancreas.p120连环蛋白是发育中的小鼠胰腺正常肾小管形成所必需的,但对上皮完整性并非必需。
Dev Biol. 2015 Mar 1;399(1):41-53. doi: 10.1016/j.ydbio.2014.12.010. Epub 2014 Dec 16.
J Biol Chem. 1953 Aug;203(2):967-77.
4
Distribution of actin and the actin-associated proteins myosin, tropomyosin, alpha-actinin, vinculin, and villin in rat and bovine exocrine glands.肌动蛋白以及与肌动蛋白相关的蛋白质肌球蛋白、原肌球蛋白、α-辅肌动蛋白、纽蛋白和绒毛蛋白在大鼠和牛外分泌腺中的分布。
Eur J Cell Biol. 1983 May;30(2):167-76.
5
Morphological changes in rat pancreatic slices associated with inhibition of enzyme secretion by high concentrations of secretagogues.高浓度促分泌剂抑制酶分泌相关的大鼠胰腺切片形态学变化。
J Cell Biol. 1978 Feb;76(2):467-82. doi: 10.1083/jcb.76.2.467.
6
Phospholipid turnover in isolated rat pancreatic acini. Consideration of the relative roles of phospholipase A2 and phospholipase C.分离的大鼠胰腺腺泡中的磷脂周转。对磷脂酶A2和磷脂酶C相对作用的考量。
Biochem J. 1982 Dec 15;208(3):713-21. doi: 10.1042/bj2080713.
7
Organization of actin in the leading edge of cultured cells: influence of osmium tetroxide and dehydration on the ultrastructure of actin meshworks.培养细胞前沿肌动蛋白的组织:四氧化锇和脱水对肌动蛋白网络超微结构的影响。
J Cell Biol. 1981 Dec;91(3 Pt 1):695-705. doi: 10.1083/jcb.91.3.695.
8
Supramaximal caerulein stimulation and ultrastructure of rat pancreatic acinar cell: early morphological changes during development of experimental pancreatitis.大鼠胰腺腺泡细胞的超最大剂量蛙皮素刺激与超微结构:实验性胰腺炎发展过程中的早期形态学变化
Am J Physiol. 1984 Apr;246(4 Pt 1):G457-67. doi: 10.1152/ajpgi.1984.246.4.G457.
9
Secretagogue-induced formation of inositol phosphates in rat exocrine pancreas. Implications for a messenger role for inositol trisphosphate.促分泌素诱导大鼠外分泌胰腺中肌醇磷酸的形成。对肌醇三磷酸信使作用的启示。
Biochem J. 1984 Apr 15;219(2):655-9. doi: 10.1042/bj2190655.
10
Release of Ca2+ from a nonmitochondrial intracellular store in pancreatic acinar cells by inositol-1,4,5-trisphosphate.1,4,5-三磷酸肌醇促使胰腺腺泡细胞非线粒体胞内钙库释放钙离子。
Nature. 1983;306(5938):67-9. doi: 10.1038/306067a0.