Suppr超能文献

在主要小核核糖核蛋白U1、U2、U4/U6和U5的核心中,存在三种不同的D蛋白的证据,它们与抗Sm自身抗体有不同反应。

Evidence for three distinct D proteins, which react differentially with anti-Sm autoantibodies, in the cores of the major snRNPs U1, U2, U4/U6 and U5.

作者信息

Lehmeier T, Foulaki K, Lührmann R

机构信息

Institut für Molekularbiologie und Tumorforschung, Marburg, FRG.

出版信息

Nucleic Acids Res. 1990 Nov 25;18(22):6475-84. doi: 10.1093/nar/18.22.6475.

Abstract

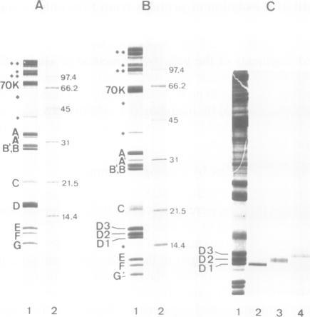
Electrophoresis of the mixture of proteins from purified snRNPs U1, U2, U4/U6 and U5 on SDS-polyacrylamide gels that had been allowed to polymerise in the presence of high TEMED concentrations have revealed the presence of proteins in the snRNPs that previously had eluded detection. The most striking case is that of protein D, heretofore generally observed as a single broad band; in high-TEMED gels, this splits into three clearly-separated bands, identified as three distinct proteins. We have denoted these proteins D1 (16 kDa), D2 (16.5 kDa) and D3 (18 kDa). Chemical and immunological studies have shown that D1 is identical with the common snRNP protein D, whose structure was recently resolved by cDNA cloning (Rokeach et al. (1988), Proc. Natl. Acad. Sci. USA, 85, 4832-4836) and that D2 and D3 are clearly distinct from D1 and very probably from each other. In addition to D1, proteins D2 and D3 are present in purified U1, U2, U4/U6 and U5 snRNPs isolated from HeLa cells, so these also belong to the group of common snRNP proteins. They are also found in snRNPs isolated from mouse cells, indicating that the role of these proteins in the structure and/or function of UsnRNPs has been conserved in evolution. Interestingly, patients with systemic lupus erythematosus produce populations of anti-Sm autoantibodies that react differentially with the D proteins; some recognise all of them and others only a subset. The high-TEMED gels allow improved resolution not only of the D proteins, but also of some of the U5-specific proteins contained in 20S U5 snRNPs, in particular the 15-kDa protein. In addition, under these conditions, the common G protein, previously observed as a single band, appears as a doublet. Whether the additional band represents a distinct common snRNP protein or a post-translationally modified version of G is not yet known.

摘要

在高浓度四甲基乙二胺(TEMED)存在下聚合的十二烷基硫酸钠-聚丙烯酰胺凝胶上,对纯化的U1、U2、U4/U6和U5小核核糖核蛋白(snRNP)的蛋白质混合物进行电泳,结果显示snRNP中存在以前未被检测到的蛋白质。最显著的例子是蛋白质D,此前通常观察到它是一条宽的单带;在高TEMED浓度的凝胶中,它分裂成三条明显分开的带,鉴定为三种不同的蛋白质。我们将这些蛋白质分别命名为D1(16 kDa)、D2(16.5 kDa)和D3(18 kDa)。化学和免疫学研究表明,D1与常见的snRNP蛋白D相同,其结构最近通过cDNA克隆得到解析(Rokeach等人,(1988年),《美国国家科学院院刊》,85卷,4832 - 4836页),并且D2和D3与D1明显不同,很可能彼此也不同。除了D1之外,D2和D3也存在于从HeLa细胞中分离出的纯化U1、U2、U4/U6和U5 snRNP中,所以它们也属于常见snRNP蛋白组。在从小鼠细胞中分离出的snRNP中也发现了它们,这表明这些蛋白质在UsnRNP的结构和/或功能中的作用在进化过程中得以保留。有趣的是,系统性红斑狼疮患者产生的抗Sm自身抗体群体与D蛋白的反应不同;一些能识别所有D蛋白,而另一些只识别其中一部分。高TEMED浓度的凝胶不仅能提高D蛋白的分辨率,还能提高20S U5 snRNP中一些U5特异性蛋白的分辨率,特别是15 kDa的蛋白。此外,在这些条件下,以前观察到的单一谱带的常见G蛋白出现为双峰。额外的谱带是代表一种不同的常见snRNP蛋白还是G蛋白的翻译后修饰形式尚不清楚。

https://cdn.ncbi.nlm.nih.gov/pmc/blobs/6f16/332598/140537b39f05/nar00206-0016-a.jpg

文献检索

告别复杂PubMed语法,用中文像聊天一样搜索,搜遍4000万医学文献。AI智能推荐,让科研检索更轻松。

立即免费搜索

文件翻译

保留排版,准确专业,支持PDF/Word/PPT等文件格式,支持 12+语言互译。

免费翻译文档

深度研究

AI帮你快速写综述,25分钟生成高质量综述,智能提取关键信息,辅助科研写作。

立即免费体验