Suppr超能文献

双心室起搏器房室程控对心力衰竭影响的新见解——病例系列

Novel insights on effect of atrioventricular programming of biventricular pacemaker in heart failure--a case series.

作者信息

Naqvi Tasneem Z, Rafique Asim M

机构信息

Cardiac Non-Invasive Laboratory, Division of Cardiology, Department of Medicine, Cedars-Sinai Medical Center, Los Angeles, California, USA.

出版信息

Cardiovasc Ultrasound. 2006 Oct 16;4:38. doi: 10.1186/1476-7120-4-38.

Abstract

BACKGROUND

Echocardiography plays an integral role in the diagnosis of congestive heart failure including measurement of left heart pressure as well as mechanical dyssynchrony.

METHODS

In this report we describe novel therapeutic uses of echo pulsed wave Doppler in atrioventricular pacemaker optimization in patients who had either not derived significant symptomatic benefit post biventricular pacemaker implantation or deteriorated after deriving initial benefit. In these patients atrioventricular optimization showed novel findings and improved cardiac output and symptoms.

RESULTS

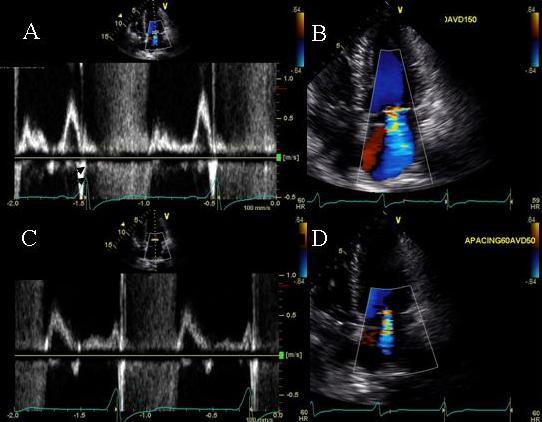
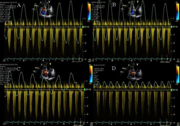
In 3 patients with Cheyne Stokes pattern of respiration echo Doppler showed worsening of mitral regurgitation during hyperpneac phase in one patient, marked E and A fusion in another patient and exaggerated ventricular interdependence in a third patient thus highlighting mechanisms of adverse effects of Cheyne Stokes respiration in patients with heart failure. All 3 patients required a very short atrioventricular delay programming for best cardiac output. In one patient with recurrent congestive heart failure post cardiac resynchronization, mitral inflow pulse wave Doppler showed no A wave until a sensed atrioventricular delay of 190 ms was reached and showed progressive improvement in mitral inflow pattern until an atrioventricular delay of 290 ms. In 2 patients atrioventricular delay as short as 50 ms was required to allow E and A separation and prevent diastolic mitral regurgitation. All patients developed marked improvement in congestive heart failure symptoms post echo-guided biv pacemaker optimization.

CONCLUSION

These findings highlight the value of echo-guided pacemaker optimization in symptomatic patients post cardiac resynchronization treatment.

摘要

背景

超声心动图在充血性心力衰竭的诊断中发挥着不可或缺的作用,包括测量左心压力以及机械性不同步。

方法

在本报告中,我们描述了回声脉冲波多普勒在房室起搏器优化中的新治疗用途,这些患者在双心室起搏器植入后未获得显著的症状改善,或在获得初始益处后病情恶化。在这些患者中,房室优化显示出了新的发现,并改善了心输出量和症状。

结果

在3例患有陈 - 施呼吸模式的患者中,回声多普勒显示,1例患者在呼吸急促阶段二尖瓣反流恶化,另1例患者出现明显的E峰和A峰融合,第3例患者存在过度的心室相互依赖,从而突出了陈 - 施呼吸对心力衰竭患者产生不良影响的机制。所有3例患者都需要非常短的房室延迟程控来获得最佳的心输出量。在1例心脏再同步治疗后反复出现充血性心力衰竭的患者中,二尖瓣流入脉冲波多普勒显示,在感知到的房室延迟达到190毫秒之前没有A波,并且在房室延迟达到290毫秒之前二尖瓣流入模式逐渐改善。在2例患者中,需要短至50毫秒的房室延迟来实现E峰和A峰分离并防止舒张期二尖瓣反流。所有患者在回声引导下进行双心室起搏器优化后,充血性心力衰竭症状均有明显改善。

结论

这些发现突出了回声引导下起搏器优化在心脏再同步治疗后有症状患者中的价值。

https://cdn.ncbi.nlm.nih.gov/pmc/blobs/dc34/1626486/90a3961fc39d/1476-7120-4-38-1.jpg

文献AI研究员

20分钟写一篇综述,助力文献阅读效率提升50倍。

立即体验

用中文搜PubMed

大模型驱动的PubMed中文搜索引擎

马上搜索

文档翻译

学术文献翻译模型,支持多种主流文档格式。

立即体验