Suppr超能文献

特发性快速进展性肾小球肾炎(IRPGN)的预后预测因素。

Predictors of outcome in idiopathic rapidly progressive glomerulonephritis (IRPGN).

作者信息

Alexopoulos Efstathios, Gionanlis Lazaros, Papayianni Ekaterini, Kokolina Elizabeth, Leontsini Maria, Memmos Dimitrios

机构信息

Department of Nephrology, Papanikolaou General Hospital, Exohi, Thessaloniki, Greece.

出版信息

BMC Nephrol. 2006 Nov 1;7:16. doi: 10.1186/1471-2369-7-16.

Abstract

BACKGROUND

Small vessel vasculitides are known to follow a devastating course towards end-stage renal disease, unless treated with immunosuppressive regiments. We investigated the value of clinical, histological and immunohistochemical parameters as predictors of outcome at diagnosis in patients with pauci immune necrotizing glomerulonephritis.

METHODS

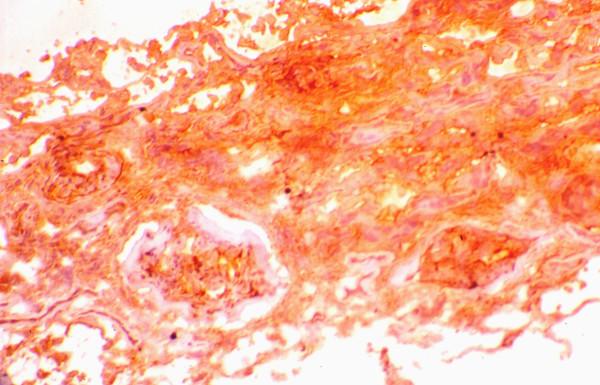
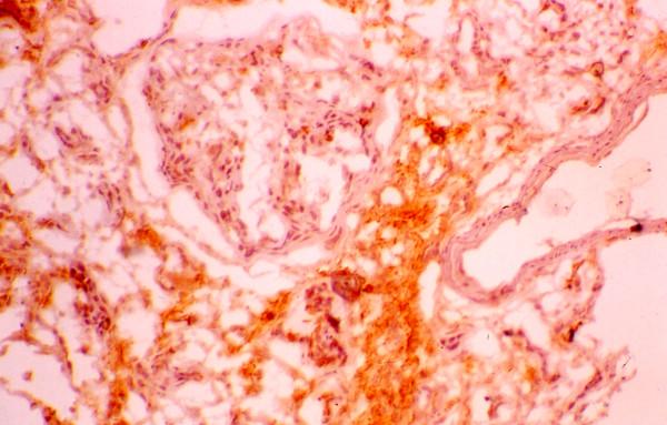
In 34 patients the percentage and evolution stage of crescents, the presence of glomerular necrosis, the degree or severity of arteriosclerosis, as well as the extent of tubulointerstitial infiltration, interstial fibrosis and tubular atrophy were assessed. Monoclonal antibodies were used to identify infiltrating macrophages, alpha-SMA(+) and PCNA(+) cells, the expression of integrins alpha3beta1 and LFA-1beta, the adhesion molecule ICAM-1, the growth factor TGF-beta1 and the terminal complement component C5b-9.

RESULTS

24 pts (70.6%) showed a complete or partial response to the treatment. The follow-up period was 20 +/- 22 months. At multivariate analysis, serum CRP (p = 0.024), the intensity of tubular expression of C5b-9 (p < 0.0001) as well as the extent of glomerular and tubular expression of alpha3beta1 integrin (p = 0.001 and 0.008 respectively) independently predicted the response to treatment. The response rate was better in ANCA(+) pts (p = 0.008). The extent of interstitial infiltrate (p < 0.0001), the severity of tubulointerstitial fibrosis (p < 0.0001) and the severity of tubular TGF-beta1 expression (p < 0.0001) were independent predictors of long term outcome of renal function.

CONCLUSION

Patients with ANCA-associated renal vasculitis seem to respond better to the treatment. Acute phase reactants, such as CRP, implying a more intense parenchymal inflammatory reaction, as well as the intensity of the de novo expression of C5b-9 and the glomerular and tubular expression of alpha3beta1 integrin predict the response to therapy. The severity of TIN lesions and of the tubulo-interstitial TGF-beta1 and C5b-9 expression predict an unfavourable outcome.

摘要

背景

已知小血管炎若不采用免疫抑制方案治疗,会朝着终末期肾病发展,病情严重。我们研究了临床、组织学和免疫组化参数作为寡免疫坏死性肾小球肾炎患者诊断时预后预测指标的价值。

方法

对34例患者评估新月体的百分比和演变阶段、肾小球坏死的存在情况、动脉硬化的程度或严重程度,以及肾小管间质浸润、间质纤维化和肾小管萎缩的程度。使用单克隆抗体识别浸润的巨噬细胞、α-SMA(+)和PCNA(+)细胞、整合素α3β1和LFA-1β的表达、黏附分子ICAM-1、生长因子TGF-β1和末端补体成分C5b-9。

结果

24例患者(70.6%)对治疗表现出完全或部分缓解。随访期为20±22个月。多因素分析显示,血清CRP(p = 0.024)、C5b-9在肾小管的表达强度(p < 0.0001)以及α3β1整合素在肾小球和肾小管的表达程度(分别为p = 0.001和0.008)可独立预测治疗反应。ANCA(+)患者的缓解率更高(p = 0.008)。肾小管间质浸润程度(p < 0.0001)、肾小管间质纤维化严重程度(p < 0.0001)和肾小管TGF-β1表达严重程度(p < 0.0001)是肾功能长期预后的独立预测指标。

结论

ANCA相关性肾血管炎患者似乎对治疗反应更好。急性期反应物,如CRP,提示实质炎症反应更强烈,以及C5b-9的新生表达强度和α3β1整合素在肾小球和肾小管的表达可预测治疗反应。肾小管间质病变的严重程度以及肾小管间质TGF-β1和C5b-9的表达提示预后不良。

https://cdn.ncbi.nlm.nih.gov/pmc/blobs/dbf0/1660564/6f945aecffe2/1471-2369-7-16-1.jpg

文献AI研究员

20分钟写一篇综述,助力文献阅读效率提升50倍。

立即体验

用中文搜PubMed

大模型驱动的PubMed中文搜索引擎

马上搜索

文档翻译

学术文献翻译模型,支持多种主流文档格式。

立即体验